英文名称 :connective tissue nevi
结缔组织痣(connective tissue nevi,CTN)是累及皮肤的错构瘤,由结缔组织的不同成分构成,包括胶原纤维、弹力纤维、脂肪和蛋白聚糖。
CTN分型目前未完全统一,多以临床表现和组织病理为根据,常互有重叠。目前根据是否并发其他器官病变分4型:不伴其他器官病变者、伴结节性硬化者、伴脆弱性骨硬化症者和局灶性真皮发育不良。也有学者按皮损表现为丘疹型、结节型、鲨革斑型和其他类型。
Saussine等提出按组织病理分为4类:①胶原瘤型,仅表现为胶原纤维的改变;②弹性瘤型,仅表现为弹力纤维改变;③混合型,组织病理中胶原纤维和弹性纤维均有改变;④除了有胶原纤维和弹力纤维改变外,还有成纤维细胞增多。2012年,Catherine等通过对114例CTN患者的回顾性分析将其重新分为遗传性和获得性,每种类型又分为胶原型、弹力蛋白型和蛋白聚糖型。Pierad等(1985)对Uitto等(1980)提出的分类进行了修正,详见表1。
表1 结缔组织痣的分类

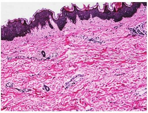
结缔组织痣表现为真皮中、下部胶原纤维增生,呈束状不规则排列;胶原纤维均一化,HE染色可见轻度嗜酸性变性;弹性纤维可正常、增多或减少,也可累及附属器(图1)。
Buschke-Ollendorff综合征的许多皮肤病灶往往就表现为弹力纤维增生,其弹力纤维是正常皮肤的6倍,而未受累皮肤则正常。在许多结缔组织痣中,结缔组织的改变并不是明显就能看出来,需要以周围正常皮肤组织作为参照。

图1 结缔组织痣组织病理 (HE染色)
真皮内弹力纤维和胶原纤维增多 (新疆维吾尔自治区人民医院 普雄明惠赠)。
皮肤镜表现
1. 面部皮损为毛囊周围淡红色和褐色均质区域。
2. 其他部位为多发白色均质区域,周围棕黄色纤细色素网。
文献报道1例成纤维细胞性结缔组织痣的皮肤镜下特征性表现为突出的分支状血管。
CTN的治疗选择取决于亚型、年龄、损害数量和部位以及伴发的综合征。如果为综合征的组成部分,应进行全面评价和相应的处理。如果损害无症状并不影响正常生活,可仅予以监测。也可采取手术切除、皮肤磨削和激光治疗。



