英文名称 :ceruminous adenoma
中文别名 :耵聍瘤
耵聍腺腺瘤(ceruminous adenoma)是来源于耵聍腺的良性肿瘤。
耵聍腺腺瘤(ceruminous adenoma)占全部耵聍腺肿瘤的8.9%~38%,发病年龄分布广泛,40~60岁多见,男性多于女性。其为缓慢生长的外耳道肿物或堵塞伴耳聋,分泌物少见。
1. 肉眼观:肿瘤一般较小,圆形或息肉状灰白色肿物,可有蒂。肿瘤表面被覆皮肤,光滑无溃疡,切面灰白色,可见小囊腔。
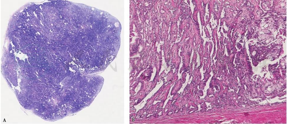
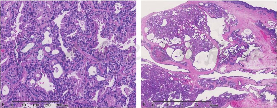
2. 镜下观:肿瘤界限清楚,但无包膜。肿瘤细胞呈腺样或腺管状结构,可有囊性扩张,可伴腔内突起和乳头状增生(图1)。有少量纤维性间质。形态上近似耵聍腺,但缺乏正常耵聍腺的小叶结构。
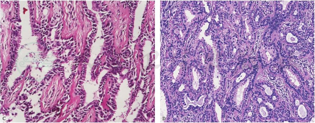
腺上皮由两层细胞构成,内层细胞可见顶浆分泌,耐酸的荧光黄蜡样色素,胞质丰富、呈酸性,核圆,染色质致密。外层肌上皮细胞可增生,但并不是肿瘤所有部分都明显存在肌上皮细胞。
3. 免疫组化染色:内层细胞CK7阳性,外层细胞表达P63、CK5/6、S-100,CD117优先表达于内层细胞。
4. 超微结构:上皮性肿瘤细胞显示顶浆分泌帽,微绒毛、细胞连接、分泌颗粒、空泡、脂滴及铁蛋白体,这些均为顶浆分泌腺的超微结构。




图1耵聍腺腺瘤
A.肿瘤边界清楚,部分区可见薄层包膜;B.可见不规则脉管及囊状、乳头状结构,底部边缘尚规整;C、D.双层细胞结构,腺腔内可见顶浆分泌;E.双层细胞结构,细胞嗜酸性变,内层细胞伴顶浆分泌;F.肿瘤未见包膜,其内部分区可见大小不等的囊腔形成;G.IHC示CK7腔面细胞强阳性;H.IHC示P63肌上皮细胞核强阳性
肿物完全切除可治愈。复发可能与手术切除不完全有关。



