英文名称 :pilomatricoma
中文别名 :钙化上皮瘤;毛囊漏斗部毛母质瘤;毛囊漏斗毛母质囊肿
毛母质瘤,又称为钙化上皮瘤(calcifying epithelioma),毛囊漏斗部毛母质瘤、毛囊漏斗毛母质囊肿,女性发病率较高,可发生于任何年龄。
该瘤是向毛母质方向分化的肿瘤。表皮一般正常,但有时可见经表皮排出现象、皮肤松弛及水疱形成。肿瘤位于真皮内,有时可到皮下脂肪。瘤细胞常聚集成多叶状,有时可被邻近被挤压的结缔组织形成的纤维假包膜包绕。单个肿瘤小叶团块由基底样细胞和影细胞混杂构成,皮损处于发展阶段时以前者为主,成熟的皮损以后者为主。基底样细胞体积小、大小形态一致,核圆、呈空泡状,核仁明显(图1~图3)。
早期皮损显示明显的有丝分裂活性,但无病理性核分裂,表示皮损处于快速生长阶段,而无恶变倾向。随着肿瘤的成熟,基底样细胞转化为影细胞,胞质呈强嗜酸性,核变小,染色质丰富。最后,核仁消失,有片状密集嗜酸性角蛋白碎片残留,其中影细胞轮廓模糊不清,常见巨细胞。
角化主要发生于毛发,但有时可见点状表皮角化灶。某些肿瘤存在另一特征性改变,其基底样细胞及间质内组织细胞内常见黑素颗粒。80%的皮损区域有钙盐沉积,成熟区域中更为常见。病变中常见影细胞的嗜碱性颗粒,偶见钙化大团块,20%的患者会发生骨化现象。

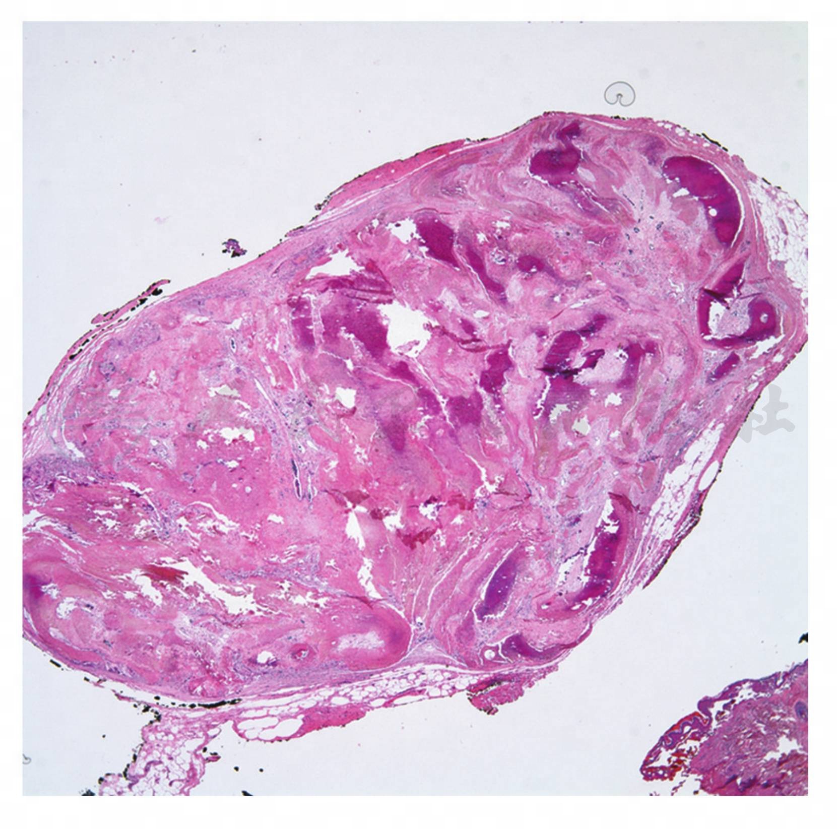
图1毛母质瘤。肿瘤由嗜碱性细胞团及影细胞构成(HE染色,×40)
引自:协和皮肤临床病理学.第1版.ISBN:978-7-117-28737-1.主编:

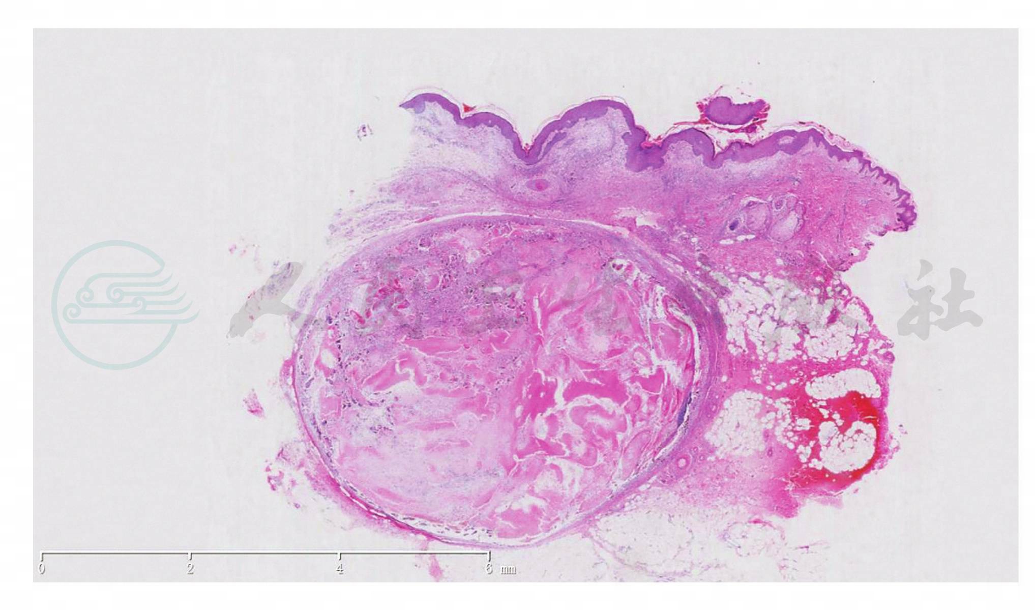
图2毛母质瘤。真皮中下层界限清楚的结节,内含少量嗜碱性小细胞团及大量影细胞(HE染色,×40)
引自:协和皮肤临床病理学.第1版.ISBN:978-7-117-28737-1.主编:

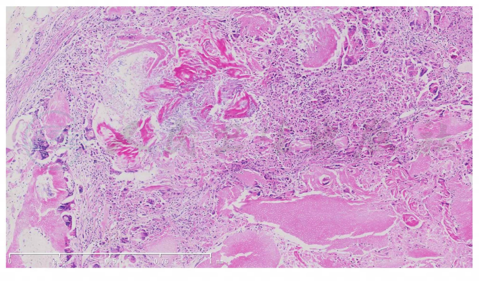
图3毛母质瘤。显示多核巨细胞、影细胞及嗜碱性团块(HE染色,×40)
引自:协和皮肤临床病理学.第1版.ISBN:978-7-117-28737-1.主编:
治疗方法是外科切除。



