英文名称 :pulmonary lymphangiectasia
肺淋巴管扩张症(pulmonary lymphangiectasia)是一种十分罕见的先天畸形,国内外报道甚少,预后极差,半数为死胎,其余多在生后数周或数分钟内因呼吸窘迫而死亡。
病因不明,一般认为肺淋巴管在胎儿期第8周左右首先产生于肺门,第10周出现肺实质并延伸于支气管及肺静脉周围,第16周扩大。之后,随着支气管周围结缔组织的减少,淋巴管也相对减少,如果这种退行性变化发生障碍,则可能成为异常的淋巴管扩张症。也可继发于先天性心脏病伴梗阻性肺静脉高压,阻碍了淋巴而引起肺淋巴管扩张。国内报道8例肺淋巴管扩张症中4例有不同程度的心脏畸形,也可伴随全身淋巴管扩张(主要为软组织和小肠的淋巴管)。有报道同胞发病的现象,应注意本病的发生是否有遗传因素存在。
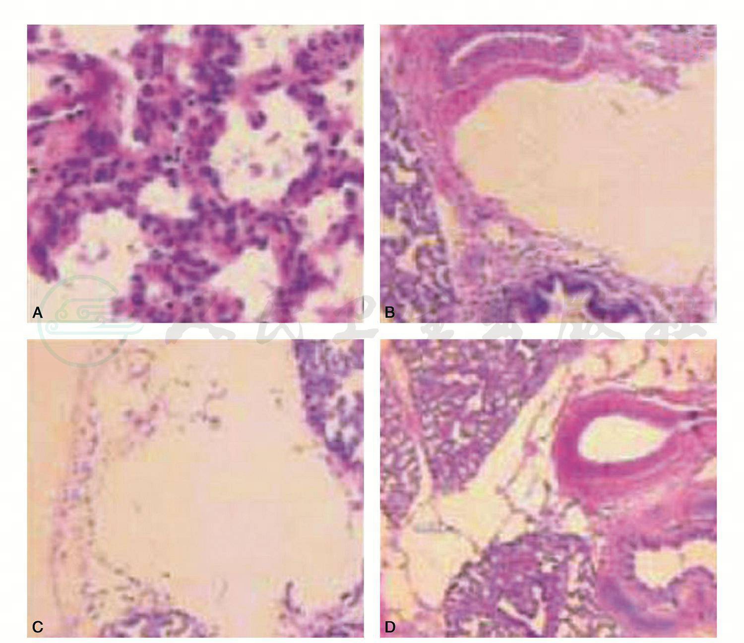
病理上肉眼见肺体积增大,表面有网眼状的微小囊泡样病变,切面上从胸膜下至肺实质可见多数的小囊腔。镜下见胸膜下、小叶间及支气管、血管周围结缔组织内淋巴管数日增多,且有不同程度扩张,其内壁被覆一层扁平上皮,腔内充满淋巴液,周围的肺泡受压(图1)。

图1肺淋巴管扩张症
A.部分肺泡萎陷,肺泡壁互相靠近,以外侧带明显;B.部分肺泡内见角化物等羊水成分;C.肺膜下见大小不一的空泡,空泡被覆单层扁平上皮,为扩张的淋巴管;D.右肺肺间质,血管鞘下见大小不一的空泡,空泡被覆单层扁平上皮,为扩张的淋巴管
引自:小儿呼吸系统疾病学.第2版.ISBN:978-7-117-28846-0.主编:
根据临床表现,影像学检查可初步进行诊断,确诊需要病理诊断。
1.X线
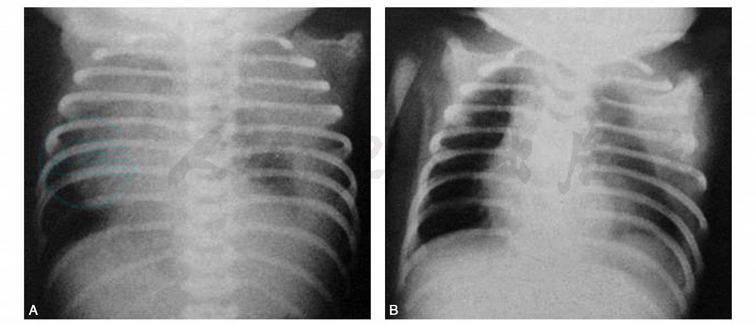
早发型胸片显示两肺透亮度减低,磨玻璃样改变,其内见弥漫性粗网状和/或结节密度增深影,系肺间质内扩张的淋巴管,管腔过度扩张则形成囊状,内有淋巴液淤滞。位于胸膜下间隙内过度扩张的淋巴管常可发生乳糜胸(图2),因此对新生儿期难治性胸水应考虑肺淋巴管扩张症。扩张淋巴管周围的肺泡因受压而有代偿性过度充气。晚发型发病前胸片正常,发病后两肺呈弥漫性间质性病变,可见Kerley B线。

图2乳糜胸
男性,25小时,足月顺产,生后5小时出现气急、发绀。A.胸部正位片示左侧胸腔一片致密,肋间隙增宽,纵隔右移明显;B.抽出约300ml乳糜状胸水后复查,左侧胸壁有条状致密影,左肺内中带有斑片状密度增高影
引自:小儿呼吸系统疾病学.第2版.ISBN:978-7-117-28846-0.主编:
2.CT
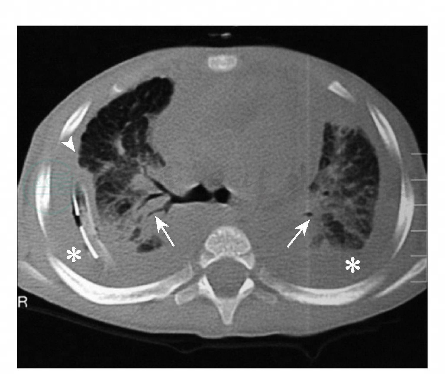
高分辨率CT可清楚显示扩张淋巴管层囊状改变(图3)。

图3肺淋巴管扩张症
女性,17小时,生后6小时出现呼吸困难。CT显示扩张淋巴管层囊状改变
引自:小儿呼吸系统疾病学.第2版.ISBN:978-7-117-28846-0.主编:
因患儿出生后不久即出现呼吸困难,严重缺氧,常早夭;晚发型多见于幼婴儿,有通过手术治愈的病例报道。



