英文名称 :pigmentary purpuric dermatosis
中文别名 :色素性紫癜性皮疹
色素性紫癜性皮肤病( pigmentary purpuric dermatosis),也称色素性紫癜性皮疹( pigmented purpuric eruptions),是一组由毛细血管炎引起的毛细血管扩张、通透性增加所致的红细胞外渗和含铁血黄素沉积,以皮肤淤点样出血为特征的疾病。包括进行性色素性紫癜性皮病、毛细血管扩张性环状紫癜、色素性紫癜性苔藓样皮病。包括进行性色素性紫癜性皮肤病(progressive pigmentary dermatosis)、色素性紫癜性苔藓样皮肤病(purpuric pigmented lichenoid dermatitis)及毛细血管扩张性环状紫癜(purpura annularis telangiectosis)三种疾病,均系原因不明的毛细血管炎,在组织病理和发病机制上有很多相似之处。重力和静脉压升高是重要的局部诱发因素。
病因不明。可能与遗传有关。长期站立和有静脉曲张及服用某些药物(如利尿药、阿司匹林等)可诱发本病。
(一)进行性色素性皮病
本病发生于任何年龄,以男性青年及中年人较多,仅少数有家族史。皮损有瘀点及含铁血黄素沉着斑而被认为毛细血管炎,主要发生于下肢,可能和静脉供血不足有关。有的有利尿药或阿斯司匹林等服药史,有的患者血液中胆固醇水平较高,但未必都是病因。
(二)毛细血管扩张性环状紫癜
患者以青年男性较多,病因不明,可和某种感染或中毒有关。少数患者有神经痛或风湿痛或有心血管性疾病,但大多数的健康状况正常。
(三)紫癜性色素性苔藓样皮炎
患者多半是中年以上男性,没有自觉症状或略觉痒。
本病发病原因不明,可能与长期站立,静脉压增高,回流不畅有关。本病有家族史,有的病人胆固醇高,有长期服用利尿药、阿司匹林等服药史。血管壁通透性增高,红细胞外溢和崩溃以致含铁血黄色素沉着而发病。
(一)进行性色素性皮病
又称进行性色素性紫癜性皮肤病(progressive pigmented purpuric dermatosis)或山伯格病(Schamberg’s disease)。典型皮损是褐黄或褐色斑片,形状不定,往往成群发生(图1)。色素斑中有针头大小的红辣椒色小点,若干时日后,红点在褐色斑片中隐没,但损害逐渐向四周扩展,边界部分有较多的小红点,基本不引起任何自觉症状,有时可有轻痒。皮损数目及大小不定,可只数片,也可很多或相融合,主要发生于下肢特别常见于小腿前侧及踝部,也可出现于足背及股部,偶然发生于手背或腕部等处。病情发展缓慢而持久,往往长期不变,经过数月数年或若干年后才自然痊愈。

图1 进行性色素性紫癜性皮病
(二)毛细血管扩张性环状紫癜
又称马约基病(Majocchi’s disease)。初起皮损是扩张毛细血管所形成的淡红或淡青红色斑点,逐渐扩大,直径达1~3cm左右,中央部分渐渐褪色而呈淡褐色或正常皮色,而边区明显,可有辣椒红色瘀点,因而皮损呈环形或半环形,相邻的可融合成多种形状(图2~3),数目不定,对称出现于下肢,往往由足背或小腿逐渐发展到股部,也可出现于躯干,偶然发生于前臂、臀部或别处,不引起自觉症状,或是只有微痒。仅过数月或1~2年,环状损害逐渐褪色,中央部分可略萎缩,毳毛脱落。有时,某处皮损消退而别处有新皮损出现,终于自然痊愈,但容易复发。

图2 毛细血管扩张性环状紫癜

图3 毛细血管扩张性环状紫癜
(三)紫癜性色素性苔藓样皮炎
又称戈基洛-布勒姆病(Gougerot-Blum’s disease)。皮损是略微隆起的圆形或多边形小丘疹,表面光滑,边缘清楚,直径约1~2mm。这些丘疹因有毛细管扩张、红细胞渗出及含铁血黄素沉着而呈鲜红色、橘色或铁锈色,邻近的丘疹可相融合而成斑块。苔藓样丘疹可以伴有和进行性色素性皮病相似的皮损。一般皮损对称出现于两侧下肢,尤其常见于足背及小腿前侧,也可发生于股部,甚至于扩展到下腹部及臀部,少数患者的上肢或其他部位也有皮损(图4)。患者多半是中年以上男性,没有自觉症状或略觉痒。

图4 色素性紫癜性苔藓样皮炎
(一)进行性色素性皮病
组织变化是真皮浅部有炎性浸润,毛细血管扩张及内皮细胞增生,管壁有透明变性,附近有红细胞渗出及含铁血黄素沉着。
(二)毛细血管扩张性环状紫癜
组织变化显示本病是毛细血管炎。表皮有轻度海绵形成,真皮浅部毛细血管扩张及内皮细胞增生,附近有少量红细胞渗出及轻度淋巴细胞浸润。陈旧损害中红细胞不再或很少渗出,但有含铁血黄素沉着。萎缩处表皮变平,扩张的毛细血管很少,浸润不见,皮肤附件萎缩。
(三)紫癜性色素性苔藓样皮炎
组织变化类似进行性色素性皮病。真皮浅部水肿,毛细血管扩张及内皮细胞增生,红细胞渗出伴有铁血黄素,管壁有透明变性,附近有浸润。
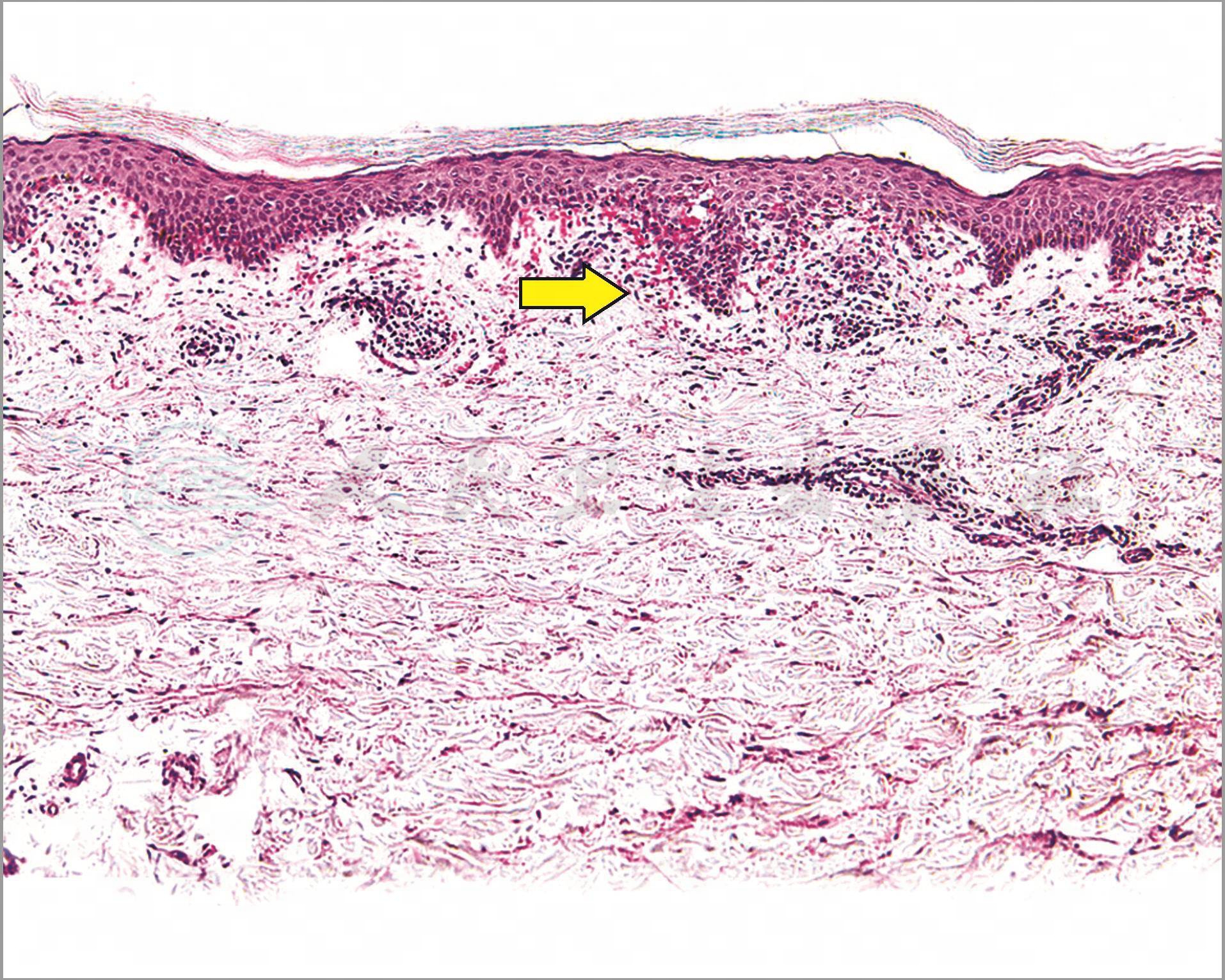
基本病理改变为真皮浅层细小血管周围淋巴细胞浸润。真皮浅层血管内皮细胞肿胀,血管周围中等密度炎细胞浸润,以淋巴细胞、组织细胞为主。真皮乳头水肿,红细胞外溢。陈旧损害炎细胞浸润减轻伴有含铁血黄素沉积(图5~7)。

图5 色素性紫癜性皮病:表皮正常,真皮浅层细小血管周围淋巴细胞浸润伴血管周围中等密度炎细胞浸润,以淋巴细胞、组织细胞为主

图6 色素性紫癜性皮病:继前图示真皮浅层细小血管周围淋巴组织细胞浸润

图7 色素性紫癜性皮病:真皮浅层细小血管周围淋巴细胞浸润伴红细胞外溢
本病通常不需治疗。治疗时积极寻找病因并治疗基础疾病。注意提高患肢,避免较长时间站立,可穿弹力袜。局部外用糖皮质激素有效。系统药物有复方芦丁、维生素C、维生素E、己酮可可碱,皮疹较泛发者可顿服少量糖皮质激素,泼尼松10mg/d,皮疹消退后递减剂量,直至停药。瘙痒时可口服抗组胺药。有使用PUVA治疗成功的报道。



