英文名称 :lateral ventricular meningioma
侧脑室内脑膜瘤(lateral ventricular meningioma)发生于脑室脉络丛的蛛网膜细胞,约占颅内脑膜瘤的4%~5%,左侧略多于右侧,肿瘤多为纤维型,质地较硬,多位于侧脑室三角部,也可向侧脑室体部或向下角生长,偶尔也见向侧脑室额角发展,其血供多来自脉络膜前动脉和脉络膜后动脉。
脑室内脑膜瘤主要起源于脉络丛组织或间质的蛛网膜成纤维细胞团,是胚胎发育时软脑膜向颅内延伸的部分。软脑膜随着脑血管延伸到脑的深部或参与形成脉络丛,导致部分脑膜瘤发生于脑的深部及脑室内。
其发生率占颅内脑膜瘤的4%~5%,绝大多数为纤维型。文献记载位于左侧者居多数,女性发病率较高。
脑室内脑膜瘤主要起源于脉络丛组织或间质的蛛网膜成纤维细胞团,是胚胎发育时软脑膜向颅内延伸的部分。软脑膜随着脑血管延伸到脑的深部或参与形成脉络丛,导致部分脑膜瘤发生于脑的深部及脑室内。
侧脑室脑膜瘤病理类型绝大多数是纤维型。
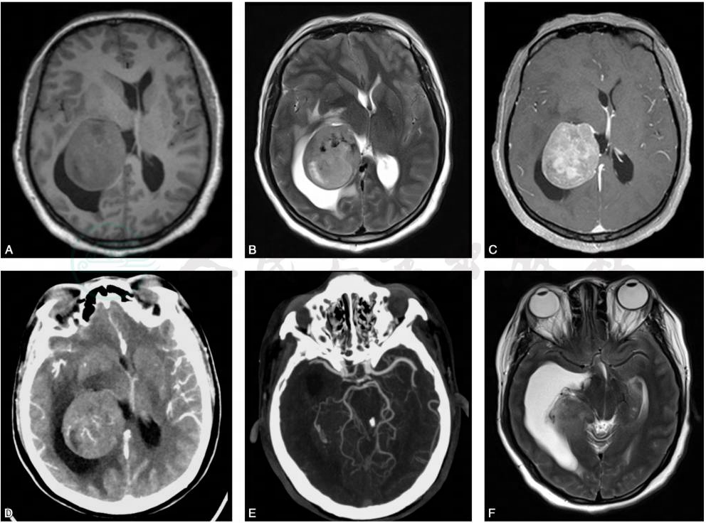
CT和MRI是诊断脑室内脑膜瘤最可靠的方法,血管造影可以显示肿瘤的供血动脉(图2)。侧脑室脑膜瘤的供血动脉为脉络膜前动脉和脉络膜后动脉。CT扫描可以了解肿瘤的大小、位置、与室间孔的关系,以及是否合并脑积水。平扫多可见脑室内均匀一致的稍高于脑组织密度的肿块,无明显钙化。增强后CT扫描表现为中等度强化,有时病灶中心可强化不均。肿瘤还可引起侧脑室局部扩大和脉络丛钙化点的移位。侧脑室脑膜瘤的MRI与其他部位脑膜瘤基本相似,与CT相比能更清楚地显示肿瘤轮廓和周围水肿带,更好地显示肿瘤与室间孔、脑室壁及周围重要脑组织结构的关系。脑血管造影可以显示肿瘤的供血动脉为脉络膜前动脉和脉络膜后动脉,可见动脉增粗迂曲,伴有或不伴有异常新生血管,肿瘤较大时还可见大脑前动脉及大脑中动脉移位。

图2脑室内脑膜瘤的影像表现
A.T1加权MRI平扫见肿瘤位于侧脑室三角区,质地均匀,信号与周围脑组织相当,室间孔堵塞;B.T2加权MRI平扫见肿瘤信号较不均匀,肿瘤周围脑组织受压水肿;C.T1加权MRI增强扫描示肿瘤强化明显,与周围结构界限清晰;D.CT增强检查示肿瘤中等强化;E.CTA检查示肿瘤供血动脉增粗迂曲;F.T2加权MRI平扫见侧脑室颞角积水
侧脑室脑膜瘤好发于侧脑室三角区,多起于侧脑室脉络丛,肿瘤生长缓慢,可充满侧脑室三角区、枕角和颞角。如肿瘤阻塞室间孔会造成颅内压增高。手术全切肿瘤是可能的,而且预后良好,因此手术切除是首选治疗方案。对于无明显症状、体积较小(最大径小于3cm)的脑室内脑膜瘤也可考虑伽马刀等立体定向放射治疗。
侧脑室内脑膜瘤的手术入路较多,如枕叶入路、顶叶入路、颞中回入路、颞枕入路和纵裂入路等,各有优缺点。侧脑室三角区脑膜瘤常采用顶上小叶(顶间沟)入路,位于侧脑室颞角者可采用颞中回入路,但该入路易造成视放射损伤,优势半球手术可导致语言功能障碍,术前可行功能MRI检查,术中可在唤醒麻醉下行语言区定位,以确定皮层造瘘口(图3)。侧脑室前部的肿瘤可采用纵裂胼胝体入路。无论采用哪种入路均应力求在非功能区切开。侧脑室内较小的脑膜瘤一般边界比较清楚,与周围脑组织无粘连,可切断其供血动脉及脉络丛后将肿瘤整块取出。对于较大的肿瘤尤其是肿瘤与脑室内壁粘连紧密时,不可强行分离,应先行包膜内分块大部切除肿瘤,在显微镜下仔细分离和切除剩余的肿瘤组织。术中应注意利用棉片保护室间孔,防止血液流入对侧脑室及第三脑室,手术结束后应将脑室内的血块或血液冲洗干净。

图3术中唤醒麻醉下确定语言区,选择皮层造瘘口切除脑室内肿瘤
1.伤口拆线后,如愈合良好,2周后可洗头,动作轻柔,避免抓破切口,应尽量少去公共场所,以防交叉感染。
2.遵医嘱按时服用抗癫痫药,了解药物的不良反应,有效干预。
3.合理膳食,饮食宜清淡,多吃新鲜蔬菜、水果适当进食鱼肉、鸡肉、蛋和奶制品,以保证足够蛋白质的摄入,如患者既往患有高血压,在饮食上还要控制食盐的摄入,一般每天以5g为宜。
4.适度进行康复锻炼,要循序渐进,持之以恒,鼓励患者在日常生活中做力所能及的事情,不要指责患者,帮助其树立信心。
5.生活规律,避免用脑过度。
6.定期门诊随访,3个月或半年复查头颅MRI、CT等。如出现头痛、肢体运动障碍、语言障碍、癫痫发作等情况时及时随诊。
1.提倡健康的生活习惯,不抽烟,不饮酒或少饮酒,合理科学的膳食结构,尽可能避免与颅内肿瘤发生可能相关的物理、化学、生物学因素。具有遗传倾向或家族聚集性的肿瘤性疾病注意婚前与孕前检查。
2.提高神经科常见疾病的科普宣传,对颅内肿瘤疑似病例做到早期诊断、早期治疗、定期复查。



