英文名称 :gangliocytoma
神经节细胞瘤是一种少见的神经源性肿瘤,与神经母细胞瘤、节细胞性神经母细胞瘤一样同属于神经母细胞源性肿瘤。以往又称节细胞神经瘤或神经节细胞纤维瘤,它主要好发于后纵隔、腹膜后及肾上腺。
病理上节细胞神经瘤主要由成熟的神经节细胞和神经纤维组成,神经节细胞散在分布。在大体形态上常为规则肿块。切片灰白,质地硬,有包膜。肾上腺神经节细胞瘤常与椎管贴近,不易剥离,光镜下由成熟的节细胞组成,胞质较多,基质增生明显,内含大量神经纤维。肿瘤成分包括成熟的神经节细胞、成熟的施万细胞及纤维组织构成,未见核分裂象。少量不成熟成分存在不影响预后。
文献报道约10%~25%左右可以伴有钙化,但钙化不是节细胞神经瘤的特征性改变,且发生率不高,不能凭有无钙化或钙化特点来诊断节细胞神经瘤。病灶可有脂肪变及囊性变,出血坏死少见。另外肿瘤内含有较多的粘液基质。节细胞神经瘤质地较软,张力不高,有沿器官周围间隙生长的特点,并包绕血管呈现浸润性生长方式,虽然血管被包绕其中,但并不侵犯血管,即不造成血管闭塞或狭窄,血管走向自然、平直。
腹膜后神经节细胞瘤主要表现為分叶状或卵圆形软组织肿块,边界清楚,通常不引起骨质改变,少数可沿神经管生长;肾上腺区神经节细胞瘤显示圆形或椭圆形均质肿块,境界清楚,密度低于肾脏。神经节细胞瘤多爬行生长或沿器官间隙呈嵌入方式生长,质地软,容易形成僞足样改变;位于脊柱旁的节细胞神经瘤,可紧贴于椎体,椎旁间隙消失。与大多数实质性肿瘤压迫血管幷引起血管变形不同,神经节细胞瘤一般自身变形,肿瘤可包绕血管生长,但血管形态多正常,不会影响管腔大小。
(一)超声检查
肿瘤多表现為实性的低或等回声团块,內回声均匀或轻度不均,后方回声无衰減或有增強,有时內部可见条索状间隔回声或斑点状、成簇状的钙化,线样包膜回声常见。彩色多普勒超声显示肿瘤內无、少或中等的血流信号。
(二)CT检查
1.CT平扫
神经节细胞瘤常表现為均匀或轻度不均匀的低密度,有时可见不规则的条索状间隔;部分肿瘤亦可呈等密度。一般不发生囊变,约10%~25%的肿瘤可见钙化,钙化呈散在的点状或针尖状。
2.CT增強扫描
增強扫描后肿瘤多表现為均匀或不均匀的渐进性的轻中度強化,黏液变明显的肿瘤可无明显強化;肿瘤內含有分化不成熟的节细胞或神经母细胞成分时,可為团块状、斑片状或条片状的不均匀的较明显強化。动态增強扫描,动脈期肿瘤可无強化或轻微強化;靜脈期或延迟期肿瘤可持续性的轻度-中度強化,有时可见不规则的线样间隔,亦呈延迟強化,強化程度较肿瘤其他区域明显(图1~3)。



图1 神经节细胞瘤
注:A~D.左肾前方可见一56mm×68mm×55mm大小的形态不规则团块,边缘可见分叶,界限清晰,局部经肠系膜上动脈与降主动脈之间伸向右侧,左肾靜脈受压、向前上移位,肾动脈向后上移位,同侧肾盂轻度增宽;A.平扫,肿瘤密度均匀,CT値约30Hu,其內可见不规则的线样间隔,界限欠清;B.增強扫描动脈期,病灶呈均匀的轻度強化,CT値约43Hu,其內间隔显示欠清晰;C、D.靜脈期及延迟期,病灶仍呈轻度強化,CT値约46Hu,其內不规则的条状间隔呈持续性的轻度強化;E.病理(HE染色,10×10)镜下可见神经纤维组织內见神经节细胞。



图2 神经节细胞瘤
注:A~D.左侧腰大肌外前方可见一28mm×45mm×75mm不规则团块,边缘清晰;A.增強扫描动脈期,病灶密度较均匀,CT値约42Hu;B.靜脈期,病灶中心及外周局部可见索带状及结节状強化较明显区域,CT値约80Hu,余部強化程度较低,呈相对的低密度,CT値约50Hu;C、D.延迟期,病灶仍呈不均匀強化,索带状及结节状強化灶仍持续性的強化,范围较前扩大,CT値约90Hu,余部為轻度強化,CT値约64Hu;E.病理(HE染色,10×10)镜下可见神经纤维组织內见神经节细胞。


图3 神经节细胞瘤
注:A.CT平扫,右侧肾上腺区可见一椭圆形软组织团块,密度均匀,边缘光滑,界限清晰,邻近肾上腺受压、向右前方移位;B、C.增強扫描动脈期、靜脈期,病变均匀性的轻度強化,右前外侧可见明显強化的肾上腺。
(三)MRI检查
1.MRI平扫
由于肿瘤细胞內的黏液成分,在T1WI為低信号,T2WI為显著高信号;而胶原纤维在T1WI為稍低信号或等信号,T2WI為等信号或稍高信号。因此,肿瘤的MRI表现与其组成成分、比例和分布明显相关,肿瘤內胶原纤维含量多时,T1WI表现為较均匀的稍低信号,T2WI呈以等或稍高信号為主的高、等混杂信号;肿瘤內胶原纤维含量少时,T1WI表现為较均匀的低信号,T2WI呈以明显高信号為主的高低混杂信号;T2WI上表现為相对均匀的明显的高信号或相对均匀的等/稍低信号的情况较少见。此外,由于肿瘤內节细胞、施万细胞及胶原纤维束相互交错分布,在T2WI常表现為等信号与高信号交错,即為交织征;当三者呈旋涡状排列时,T2WI可见呈旋涡状分布的高信号,即旋涡征(图4、图5)。



图4 神经节细胞瘤
注:A~G.MRI示左侧肾脏上部可见一梭形软组织团块,边缘光滑,界限清晰;A.脂肪抑制T1WI,肿瘤信号欠均匀,以低等信号為主;B.脂肪抑制T2WI,肿瘤信号不均匀,前部為明显高信号、后部為稍高信号;C.脂肪抑制T1WI增強扫描动脈期,病变未见強化;D.脂肪抑制T1WI靜脈期,病变內可见交织的线条状強化影;E~G.脂肪抑制T1WI延迟期,病变內线条状強化影持续性的轻度強化,強化范围稍扩大;H.病理(HE染色,10×10)镜下可见神经纤维组织內见神经节细胞。




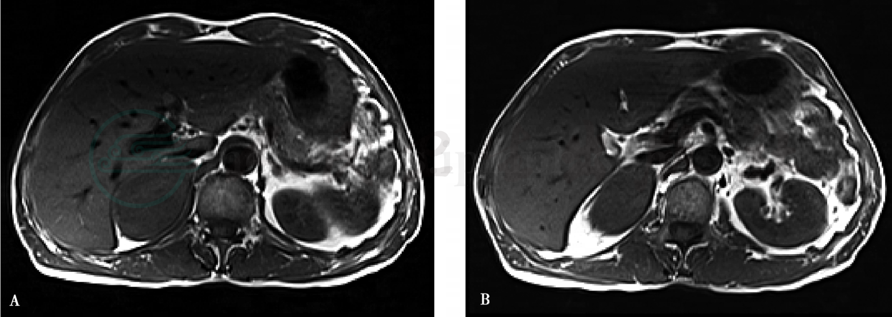
图5 神经节细胞瘤
注:A~G.右侧肾上腺区可见一椭圆形软组织团块,边缘光滑,界限清晰,邻近肾上腺受压向前下方移位,同侧肾脏受压向下移位;A、B. T1WI,病变以等信号為主,內有小片状稍低信号;C.T2WI,病变信号不均匀,以稍高信号為主,外周及內部可见条片状高信号和点条状低信号;D.脂肪抑制T1WI动脈早期,病变外周呈不规则的轻度強化,中心无強化;E、F、G.脂肪抑制T1WI动脈晩期、靜脈期及平衡期,病变持续性強化,強化范围由外周向中心逐渐扩大。
2.MRI增強扫描
由于肿瘤內血管成分较少,MRI动态增強表现為动脈期轻度強化或无強化,靜脈期及延迟期為缓慢的进行性、持续性轻度強化。这种增強方式与肿瘤的组织学成分有关,一般认為早期增強与相对多的血管及高的毛细血管通透性有关;相反,延迟增強是由于对比剂缓慢扩散入血管外间隙的结果。而神经节细胞瘤血供较少、肿瘤细胞细胞质丰富、细胞外间隙较大且有大量的黏液基质,导致对比剂缓慢渗入细胞外间隙幷不断聚集,MRI动态增強表现為进行性的持续性缓慢強化。
由于肿瘤內3种成分的分布形式不同決定了其強化形态的不同,可见交织的线条状強化、斑点状強化、旋涡状強化,其中以交织的线条状強化最常见,以旋涡状強化最有特异性。此外,肿瘤可包绕周围血管,但是血管形态保持正常。
明确诊断或确定肿瘤的范围和位置后应积极准备进行手术。根治性的手术切除是治愈的关键所在。
对发生在肾上腺处肿瘤,位置较深,切口选择要适宜。发现肿瘤后,多数界限较清晰,游离较容易,还可先缝线牵引,牵拉瘤体,以利于操作。其他部位肿瘤如侵及周围组织,手术有一定难度,腹膜后主要与腔静脉、腹主动脉之间关系密切。神经节细胞瘤有沿器官周围间隙生长的特点,并包绕血管呈现浸润性生长方式,虽然血管被包绕其中,但并不侵犯血管,血管走向自然、平直,正是由于这种生长方式,该肿瘤虽为良性,却并非都能切除,肿瘤极易复发,患者要多次进行手术。对肿瘤较大已侵及椎体,延伸至椎间孔内,常有部分肿瘤残留。术中注意,不要盲目处理伸向瘤体内血管,避免误伤腔静脉及腹主动脉。有学者报道24例的治疗经验,手术完整切除19例,5例部分残留。术中损伤以腔静脉破裂多见。术后随访19例,16例正常,3例死亡,其中2例起源于肾上腺。可见尽管为良性肿瘤,但是其诊断、治疗都应引起足够的重视。