英文名称 :benign tumor of bile duct
胆管良性肿瘤相当少见,其中以乳头状瘤为多见,其次为腺瘤和囊腺瘤,纤维瘤、平滑肌瘤、神经鞘瘤等则更罕见。乳头状瘤有可能发生恶变,一般为单发性,少数为多发性,称为乳头状瘤病。
1.胆管腺瘤
胆管腺瘤是最常见的肝外胆管良性肿瘤,占肝外胆管良性肿瘤的75%左右。约2/3为单发,壶腹部为最好发部位,约占47%;胆总管是第二常见的部位,约占总数的27%。
肿瘤大体所见:表面光滑或呈分叶状息肉样改变,直径在1.0cm以上,淡红色,质脆易破碎,向腔内突出。显微镜下:胆管腺瘤被分为3个亚型:管状腺瘤、乳头状腺瘤和管状乳头状腺瘤。
(1)管状腺瘤:最为常见。肿瘤境界清楚,肿瘤由密集排列的小管状腺体构成,表面被覆立方上皮或柱状上皮,多分泌黏液。
(2)乳头状腺瘤:因乳头细长形似绒毛,故又称绒毛状腺瘤。表面呈多级分支的细乳头状,乳头由立方形或柱状上皮细胞构成,胞质内含黏液。
(3)管状乳头状腺瘤:由管状腺体和乳头状结构共同组成。
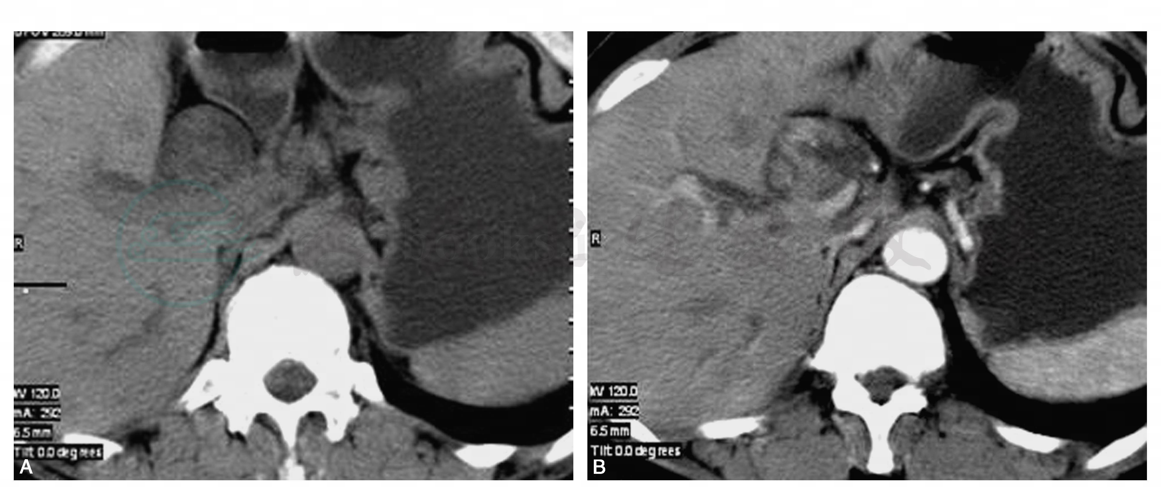
胆管腺瘤具有恶变倾向,尤其是绒毛状腺瘤,其恶变率很高,已有报告在31%~63%之间。我们在临床呈治疗2例胆总管绒毛状腺瘤,其中1例证实为恶变(图1~3)。

图1 胆管腺瘤的CT、M RCP和术中所见

图2 手术切除的胆管腺瘤标本

图3 胆管颗粒细胞瘤的MRCP和病理表现
2.胆管囊腺瘤
胆管囊腺瘤属罕见肿瘤。主要见于中年妇女,约80%~90%的病变发生在肝内,以肝右叶最常见。肝外胆管的囊腺瘤仅见数例报道。
肉眼可见:肝外胆管的囊腺瘤较小,常有蒂,呈球形,有光滑的外膜,且较厚。切面呈多个大小不等的囊腔,腔内含有浅胆汁色的黏液或褐色混浊液体,无细胞成分,偶尔可有胆固醇结晶。
镜下可见:肿瘤囊腔内单层立方细胞或高柱状细胞衬里。上皮细胞无异型,胞质呈嗜伊红染色;核大小一致,较小,圆形或卵圆形;染色质颗粒细小,无核分裂。
肝外胆管的囊腺瘤易复发,具有恶变倾向。1987年,O’shea报道了1例肝总管良性囊腺瘤,曾两次手术,局部切除并搔刮术,术后3年再次复发,行根治切除术。切除标本镜检显示成堆的多形核细胞,核浓染,核分裂,并有血管浸润,诊断为囊腺癌。1977年,Ishak报道在大多数囊腺癌内,可见到良性上皮细胞的存在,该点支持囊腺癌来源于囊腺瘤恶变的观点。
3.乳头状瘤
乳头状瘤是肝外胆管良性肿瘤中最常见的一种。常发生在胆总管远端1/3近壶腹部,也可见于肝管。在组织学上又被进一步分类为:单纯性乳头状瘤、多发乳头状瘤病和囊状乳头状瘤3种。
(1)单纯性乳头状瘤:1962年,Cattell报道了12例,均发生在乏特壶腹部。肿瘤一般较小,偶见肿物较大。
肉眼所见:自胆管壁隆起的分叶状肿物,有蒂或无蒂,突入胆管腔,或硬或软,有上皮覆盖。
组织学特点:肿瘤由较厚的或细软的乳头构成,由纤维组织或疏松组织支持,表面有单层柱状上皮细胞覆盖。有的结缔组织内有较多的血管,有的肿瘤内有黏液样变性。
在部分病例中,可同时伴有胆管炎症或胆结石。Cattell报道的12例中,有1例乳头状瘤内有早期腺癌病灶,另有2例腺癌来源于乳头状瘤。1987年,Gouma追踪观察了1例胆总管乳头状瘤切除术后4年复发,诊断为高分化乳头状腺癌。因此认为,胆管乳头状瘤具有恶变倾向。
(2)多发性乳头状瘤病(multiple biliary papillomatosis,MBPM):肝外胆管的多发性乳头状瘤病更为罕见。胆管乳头状瘤常伴发胆囊乳头状瘤,1959年,Eiss报道了1例胆囊多发乳头状瘤病手术后3个月,发现胆总管多发乳头状瘤病。1962年,Cattell也报告了1例肝总管空肠吻合术后,肝总管和左、右肝管内发生多发乳头状瘤造成胆道梗阻。1974年,Madden报道了3例胆管多发乳头状瘤病,系胆囊切除术后2年发现胆总管乳头状瘤,先后多次手术从胆总管和肝内胆管取出大量乳头样肿瘤组织。1990年,Gertsch报道了1例肝外胆管弥漫性乳头状瘤病,肿瘤细胞有异型改变。
上述报道说明,肝外胆管多发乳头状瘤病可同时伴发胆囊乳头状瘤,且具有易复发、可恶变等特点。组织学特点与单发乳头状瘤相同。
(3)囊性乳头状瘤:囊性乳头状瘤甚罕见。1962年,Cattell报道了1例肝总管囊性乳头状瘤同时伴有肝囊肿。肿瘤剖面呈多发大小不等的囊腔。组织学显示,肿瘤的支持网架由纤维组织构成,囊壁衬以扁平上皮,肿瘤表面由胆道单层柱状上皮覆盖。
4.颗粒细胞瘤(granular cell tumor,GCT)
又被称为颗粒细胞成肌细胞瘤。可发生在人体的任何组织中,本病可多中心性生长。胆道颗粒细胞瘤甚为罕见,首先由Coggins(1952年)描述。普遍认为该种肿瘤来源于神经的外胚层,特别是Schwann细胞,因此,1991年Sanchez又称其为施万细胞瘤。
胆道颗粒细胞瘤多见妇女(占89%),黑人较多(占76%),偶见于黄色人种。世界上已有60余例报道,其中半数发生在胆总管,约37%发生在胆囊管,约11%发生在肝总管。胆管颗粒细胞瘤在我国就更属罕见,文献报告仅有1例。我们在临床上曾治疗过1例肝总管的颗粒细胞瘤,为一位23岁的男性病人。
肉眼所见:胆管颗粒细胞瘤从大体上看为较硬的黄褐色肉样肿物,边界不太清,较小,有人报道可达1.2cm大小,通常小于3cm。切面呈黄色实体肿物。
镜下可见:肿瘤由成束的多角形细胞组成,胞质丰富,呈嗜酸性;胞质颗粒呈PAS强阳性反应;核小而深染,卵圆形,居中;表面由胆道黏膜柱状上皮细胞覆盖。免疫组化显示:S‐100、GFAP和NSE阳性。电镜观察:细胞胞质内含有大量溶菌酶颗粒。
在其他部位的颗粒细胞瘤有恶变的报告,可以发生淋巴和血行转移。但在已有的胆管的颗粒细胞瘤病例报告中,尚未发现有恶变的表现。我们诊治的这例病人术后病理也为良性,经术后随访28个月也没有复发和转移表现。
5.腺肌瘤样增生或腺肌瘤
肝外胆管腺肌瘤样增生或腺肌瘤极罕见。乏特壶腹部的腺肌瘤由M itchell(1942年)首先描述;1980年,铃木!太郎报道了2例;1987年,Ulich报道了1例;1988年,Cook报道了1例胆总管腺肌瘤。
腺肌瘤多发生在胆总管下段或乏特壶腹部。黏膜下肿物向胆管腔内呈息肉样突起,引起局部狭窄。肿物肉眼呈较硬的灰棕色结节。组织学所见,肿物内腺管增生,腺管衬以立方或柱状上皮,同时伴有腺管周围平滑肌及结缔组织增生,平滑肌束呈交织分布或者呈旋涡状排列。腺肌瘤生长慢,表现为良性。
6.血管平滑肌瘤
1976年,Kune和1983年,Pōukā等均曾报道过胆总管的血管平滑肌瘤。患者可有黄疸和疲乏,但无疼痛和消瘦。有些病例无症状,在尸检时发现。肿瘤位于胆总管下段,可引起胆管扩张,局部狭窄,但是黏膜完整。镜下显示肿物由多个血管组成,血管内衬高分化内皮细胞;并有各种平滑肌细胞束,细胞核椭圆形,胞质丰富;还有原纤维丝。治疗可采用局部切除术或者行硬化剂治疗同时行胆道转流术。
7.纤维瘤
肝外胆管的纤维瘤更罕见。可发生于胆总管、肝总管和肝管。一般小于1cm。外观和组织学与发生在其他部位的纤维瘤相同。临床上可表现为间歇性和持续性胆道梗阻,如不及时治疗可引起胆汁淤滞性肝硬化和广泛的肝损害。纤维瘤属良性病变,应行局部切除和胆道重建治疗。
胆管良性肿瘤极为少见,其中较多见者为胆管腺瘤。病理上按照生长方式分为管状、乳头状、管状乳头状(混合型)三类。文献报道乳头状腺瘤最多见,可为单个或多个。胆管乳头状腺瘤的病因尚不清楚,胆管结石和炎症的长期刺激可致胆管上皮增生、组织异位,可进一步引起乳头状增生甚至乳头状瘤。乳头状腺瘤在病理上表现为息肉状肿物附于胆管内膜上,质软,较脆,易脱落,有较多的胶冻状黏液;镜下见肿瘤呈乳头状结构其间伴有纤维血管结缔组织,表面覆盖规则柱状上皮,一般不向胆管壁深层和肝实质浸润。部分病人可见细胞异型增生和恶变,个别文献报道恶变率高达66.7%。本病发病年龄范围很大,多见于成人,女性比男性更多见。主要临床表现为黄疸和胆管炎,反复发作,病程长,所造成的黄疸呈波动性,这些与胆管癌或胰头癌所造成的进行性持续性黄疸和全身情况迅速恶化不同。
CT可显示边界清楚的实质性肿块向肝内外扩张的胆管内延伸,增强扫描肿块可有不规则的强化。在MRI上可见胆管系统的扩张,病变呈树枝状、长条状生长充盈管腔内,在T1WI信号略低于或等于脾脏的信号,T2WI稍高于肝脏的信号,即高于胰腺的信号,部分病例可看到完整的胆管壁,借此往往可以与胆管癌、胰头癌相区别。增强扫描,胆管内病变呈轻度不均匀强化,胆管壁强化稍明显。病灶较小时胆总管可无明显扩张。MRCP上可以看到病变呈弥漫性生长方式充满胆管系统,但管壁尚可见,病变在MRCP和T2WI上呈中等高信号,左右肝管扩张呈高信号,病变可延伸至肝门以上(图4)。


图4 胆管乳头状黏液瘤
A.CT平扫显示左肝管和肝门胆管内见乳头状结节影;B.增强动脉期示病灶不均匀强化;C,D.为门脉期,病灶持续中度强化,胆总管和肝内胆管扩张;E.MRI T2W I显示肝门胆管和左肝管内结节状低信号;F.MRCP显示病灶在胆管内的范围以及胆管扩张的程度
治疗原则应将胆管局部切除,以免术后复发。位于高位胆管者,切除后如胆管重建有困难,可考虑作肝方叶切除,以利肝胆管显露和行胆肠吻合。位于肝、胆总管游离段者,可作胆管端-端吻合、T管支撑引流,或胆管空肠Roux-en-Y吻合。位于壶腹部者,可切开Oddi括约肌作肿瘤局部切除。如肿瘤位于胆总管胰腺段,难以作胆总管局部切除,则只能作胰十二指肠切除术。



