英文名称 :breast fat necrosis
乳腺脂肪坏死(breast fat necrosis)大多发生在脂肪丰富、肥大、下垂型乳腺,常有局部外伤史。
脂肪坏死的病理变化随病期而异。最早表现为一局限出血区,脂肪组织稍变硬。镜下可见脂肪细胞浑浊及脂肪细胞坏死崩解,融合成较大的脂滴。3~4周后形成一圆形硬结,表面呈黄灰色,并有散在暗红区。切面见油囊形成,囊大小不一,其中含油样液或暗褐色的血样液及坏死物质。后期纤维化,病变呈坚实灰黄色肿块,切面为放射状瘢痕样组织,内有含铁血黄素及钙盐沉积。
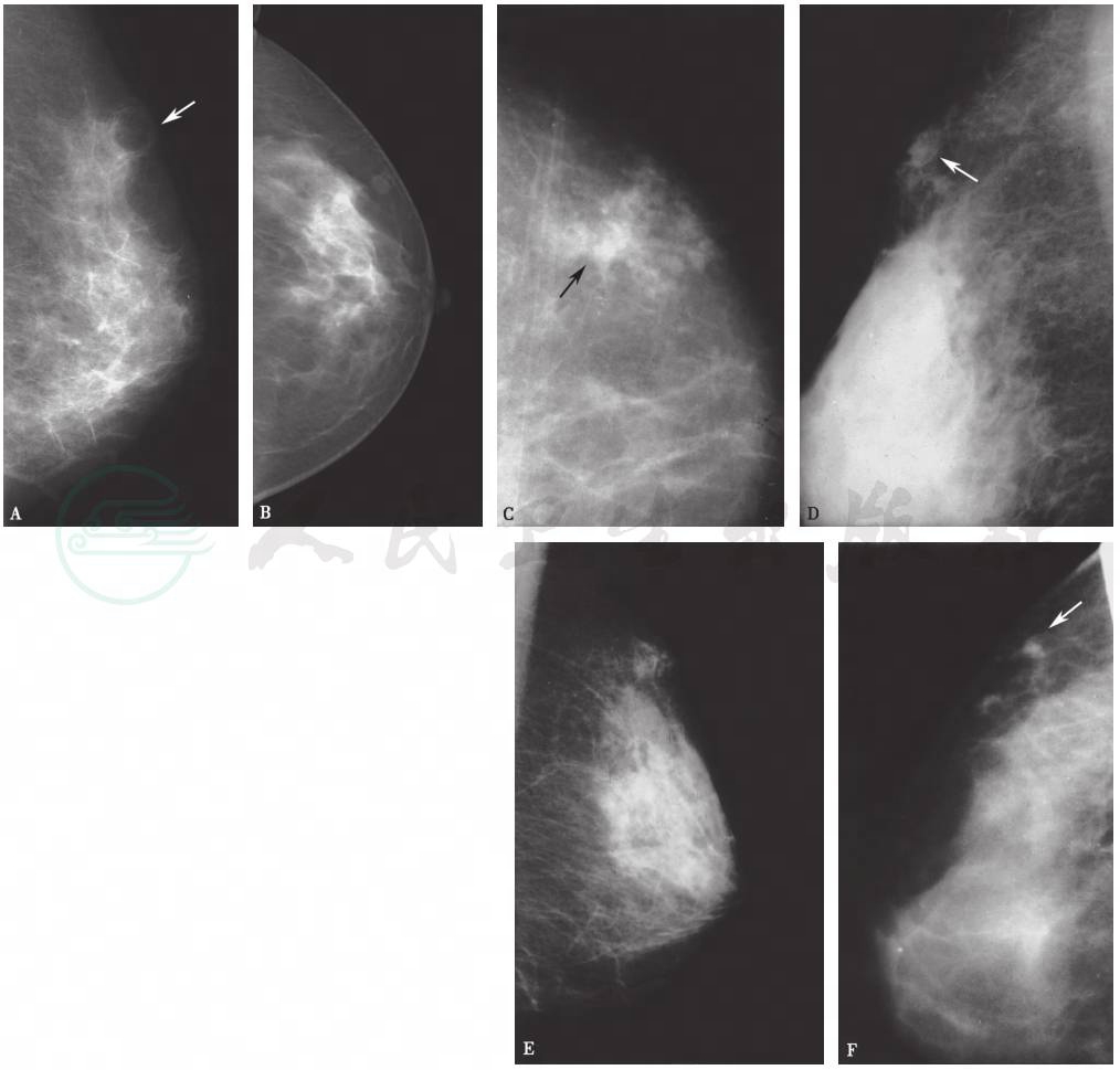
有研究将脂肪坏死分为超急性炎性期、急性炎性期、脂质囊肿期、炎性肉芽肿期,不同时期的病理改变不同,脂肪坏死的X线表现亦不相同(图1)。病变早期,脂肪组织被酯酶溶解液化,表现为孤立的脂肪性小叶(脂性囊肿),病变组织与正常的脂肪组织均表现为低密度,其间尚未形成纤维结缔组织,此时可无异常X线表现。随着病变的发展,液化、坏死的脂肪周围形成结缔组织、钙化,包绕液化坏死的脂肪形成“囊肿”。乳腺X线摄影主要表现为乳后脂肪间隙及腺体周围脂肪层内多发、边缘清晰的薄壁脂肪密度或结节状等密度病灶,密度较均匀。随着病变进展,脂肪坏死X线表现为不规则致密结节和肿块、局限性非对称性致密,病变与邻近的腺体无关;也可以表现为病变处结构扭曲,偶尔可见病变表现为油脂囊肿或伴有脂滴样钙化或斑片状钙化。油脂囊肿(伴或不伴囊壁钙化)是脂肪坏死的唯一特异性X线表现。腺体内型脂肪坏死有时因缺乏特异性的X线表现容易误诊为乳腺癌。在多种X线表现中,皮下脂肪层内索条状、星芒状、网状影与腺体内脂性囊肿属于乳腺脂肪坏死的典型表现。

图1脂肪坏死在乳腺X线摄影上的不同表现
A.脂肪坏死所致脂性囊肿,外上脂肪层可见囊性透亮区,囊壁较厚,边缘清楚锐利;B.结节型脂肪坏死,外侧脂肪层可见边缘光滑结节,周围伴斑片状致密影;C~F.脂肪坏死所致局限性结构不良(星芒状、斑片状、索条影及网状结构)、脂肪层混浊(内见斑片状致密影)
由于外伤引起的脂肪坏死,病变部位常位于腺体内或腺体外的浅表皮下脂肪层,病变切线位投照有利于鉴别诊断。对于其他原因导致的脂肪坏死,病变常位于腺体内及乳后间隙,由于病变与腺体重叠,常不易作出明确诊断。
切除活检是首选的治疗方法。切除的坏死组织切面呈白色。镜检在早期时可见脂肪细胞结构模糊,广泛坏死时可见慢性炎症反应,病变中心有异物巨细胞和淋巴细胞浸润,周围有巨噬细胞和新生结缔组织包围。



