英文名称 :diffuse choriocapillaris atrophy
弥漫性脉络膜毛细血管萎缩(diffuse choriocapillaris atrophy,DCA),萎缩后的脉络膜视网膜变薄,暴露成巩膜颜色,因此误认为脉络膜巩膜化,也有叫弥漫性脉络膜硬化(diffuse choroidal sclerosis)或弥漫性脉络膜血管硬化(diffuse choroidal angiosclerosis)。该病为常染色体显性遗传或极少数常染色体隐性遗传,其临床特点是进行性脉络膜毛细血管层变薄和丢失,视力严重下降。
外周蛋白/RDS基因突变与该病有关,因密码子67至69的第8碱基对插入删除了的第5碱基对,导致两个氨基酸Met67Arg和Gly68His改变。从中年开始进行性脉络膜毛细血管变薄和丧失,晚年视力严重丧失。同一家族的多数发病者眼底表现比较一致,但也有在同一家族中发现既有局限性也有弥漫性毛细血管萎缩的报告,说明这两种疾病相互关联。基本病理改变是脉络膜毛细血管、RPE和外层视网膜缺失,残留内层视网膜和脉络膜中或大血管层。
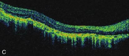
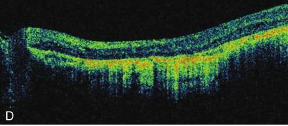
FFA表现RPE萎缩的窗样缺损,脉络膜毛细血管减少或消失,可以见到中等或大的脉络膜血管。最终当RPE和其上的视网膜被累及时,在周边视网膜上出现分散和成团的色素。FAF显示萎缩区低荧光,有高荧光线条围绕,且比眼底检查和彩色照相要敏感。OCT显示萎缩区内视网膜外层、RPE和脉络膜毛细血管缺失(图1)。ERG早期正常,晚期严重异常,甚至无波形。EOG早期就异常。血浆鸟氨酸含量检查无增高。




图1弥漫性脉络膜视网膜萎缩
A和B.双眼脉络膜视网膜萎缩,露出脉络膜大血管,呈黄色或白色;C和D.双眼OCT证实视网膜外层、RPE层和脉络膜全层萎缩
引自:临床眼底病.内科卷.第1版.ISBN:978-7-117-20200-8.主编:
无特效治疗。



