英文名称 :extramedullary plasmacytoma
髓外浆细胞瘤(extramedullary plasmacytoma,EMP)是指原发于骨髓和骨骼以外的浆细胞瘤,病理上以不同阶段的浆细胞髓外浸润和相应的单克隆球蛋白局部组织浸润为特征。其中80%~90%发生在头颈部。临床表现无特异性,诊断主要根据病理结果。治疗上以放疗为主,部分可辅以手术治疗。该病预后较好,但部分可以转化为多发性骨髓瘤。
病因不明。因该病好发于上呼吸道的黏膜,认为与慢性吸入性刺激和病毒感染有关,Wimlewski等认为EMP与感染抗原刺激相关,也有报道器官移植后患者发生EMP;认为与器官移植后免疫抑制剂治疗有关。
所以应尽量减少上呼吸道感染的发生,减少免疫抑制剂的应用。
本病发生率较低,占全部恶性浆细胞病的3%~4%,其发病率与孤立骨浆细胞瘤(solitary bone plasmacytoma,SBP)和MM的比例为1∶2∶40。本病好发于男性和老年人,男∶女为(2~3)∶1,中位发病年龄为55~67岁。在人种方面,黑人发病率最高,其次为白种人,亚洲和太平洋群岛人种发病率最低。
骨髓活检的组织经固定、包埋、染色后不仅可观察造血组织的改变,还可同时观察基质和骨的改变。骨髓活检切片较涂片能更早期、更准确地显示骨髓内瘤细胞的分布及细胞类型,为骨髓瘤诊断必不可少的检测手段和早期诊断多发性骨髓瘤的重要依据。尽管成片和成丛的骨髓瘤细胞对骨髓瘤的诊断有较高的参考价值,但由于骨髓瘤是一种斑块型病变,早期常只能观察到轻度非特异性浆细胞增多,此时进行骨髓活检可提高骨髓瘤的检出率;同时由于恶性浆细胞周围病理性网硬蛋白纤维网络对抽吸产生阻抗的缘故,如单纯依靠骨髓穿刺检查,则可能难以发现肿瘤或低估体内肿瘤负荷,故通过骨髓涂片、活检对髓内瘤细胞、造血组织、基质和骨组织的结构变化同时进行观察,有助于早期发现病灶。
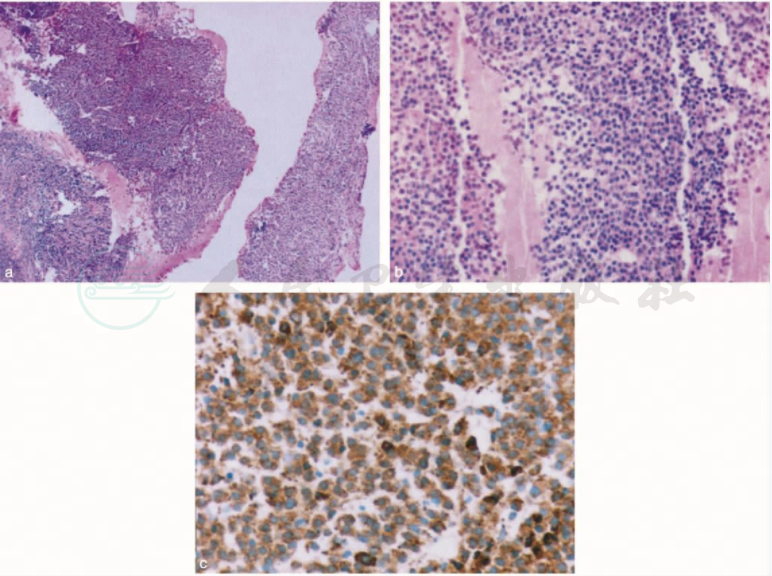
骨髓瘤患者骨髓活检的结果常提示其病变始于红骨髓,有局限的或弥漫性大量骨髓瘤细胞浸润,瘤细胞常常聚集成堆,占骨髓内细胞的5%~90%(彩图1),引起相应部位或全身多部位的骨质疏松或骨质破坏,其中以脊柱、肋骨、颅骨最多见。对多发性骨髓瘤患者进行尸检发现70%的患者同时伴有髓外浸润,其中以肝、脾、肾和淋巴结最为多见,表现为骨髓瘤细胞聚集于脏器与组织间形成实质性肿块。

彩图1彩图1 骨髓活检
造血组织的改变主要体现在浆细胞的增殖模式上,研究发现浆细胞的增殖共有6种类型:①间质型:骨髓瘤细胞呈稀疏散性分布;②簇片-间质型:骨髓瘤细胞呈稀疏散性分布的同时,伴以骨内膜旁或小梁间的瘤细胞不规则簇片形成;③结节-间质型:骨髓瘤细胞呈稀疏散性分布的同时,伴以瘤细胞结节的检出;④结节型:切片内仅检出境界清楚的瘤细胞结节;⑤塞实型:瘤细胞充满全骨髓切片;⑥肉瘤型:切片检出局限性浆细胞瘤块。其中以结节型最常见,其次为塞实型和结节-间质型,肉瘤型最少见。通常,切片内造血组织衰竭与瘤细胞的浸润程度以及严重的骨髓萎缩密切相关。
骨髓基质是指髓内细胞和细胞外组分的一个复合系统,基质能调节髓内造血细胞系的生长和分化。已证明,MM患者骨髓内的非赘生性基质细胞不仅能诱生大量细胞因子IL-6,而且能产生大量的黏附分子和细胞外基质分子;IL-6既能促进恶性浆细胞的生长,又能阻止瘤细胞的凋亡。此外,基质细胞所产生的各种因子的结合增强了恶性浆细胞的相互黏着,这也是导致抽吸涂片内肿瘤细胞负荷较切片被低估的原因之一。由此可见,骨髓基质细胞和骨髓瘤细胞之间的此种密切“共生”(symbiotic)关系,就能导致MM患者髓内肿瘤负荷的明显增加。骨髓基质改变主要体现在约40%的病例基质内网硬蛋白纤维增生明显,且与瘤细胞浸润的结节或塞实区存在密切的局部解剖学关系,其间常伴随粗纤维(Ⅲ型胶原)的形成,而在瘤细胞稀疏区纤维增生就不明显。
另外,MM患者常常有骨骼的破坏,并能引发众多与之相关的并发症。溶骨性损害是肿瘤生长模式的反映,而不表达肿瘤负荷。约60%的MM患者在病程中表现为骨质疏松症的同时,伴或不伴溶骨性损害。凡切片内浆细胞的浸润模式呈间质或塞实型的患者,不仅均伴有全身性骨质疏松症,而且常显示广泛弥漫性骨小梁稀疏状态。如果增殖模式以结节型为主,则患者常以局灶性破骨细胞吸收为特征。已知87%的MM患者切片内骨小梁减少,35%的病例骨样质容量增多,而切片内破骨细胞增多往往与成骨细胞增多相平行,而两类细胞的增多均与瘤细胞的浸润等级成比例。
总之,骨髓活检病理切片的观察不仅能正确反映骨髓内瘤细胞的负荷,识别瘤细胞的定位,而且能全面了解骨髓瘤细胞在骨髓内恶性增殖而导致骨结构的改变,从而能早期发现骨髓瘤,有利于分型,且可避免由于原始、幼稚型浆细胞与基质的黏附过强,及纤维网络阻碍细胞抽吸所造成的骨髓涂片骨髓瘤细胞减少。骨髓活检病理切片的观察较涂片检出率明显提高,能更早期、更准确地显示骨髓内瘤细胞的分布及类型,所以活检切片实属估计肿瘤负荷更为敏感的指标,是诊断多发性骨髓瘤必不可少的检测手段。
EMP是源于B淋巴细胞单克隆性增生的肿瘤,免疫组织化学染色呈轻链限制,即 κ(+)、λ(-)或 λ(+)、κ(-),而重链染色以IgG、IgM阳性多见,而IgA、IgD、IgE阳性较少见。肿瘤细胞CD45RA、CD45RB、CD45、PC、EMA、CD20可为阳性,CD15阴性。少数病例CK、EMA为阳性,而CD45阴性。
与多发性骨髓瘤不同,EMP的血液学检查参考价值不高,多在正常范围内。骨髓检查浆细胞多正常。骨骼X线和(或)MRI检查没有骨骼破坏的表现。仅少于25%的患者在血清或尿中可以发现少量的M蛋白。血液中未累及的免疫球蛋白多不受抑制,在正常范围内。血清游离轻链检测对EMP的诊断有一定的意义,可发现血清中κ和λ轻链比例失衡。
CT和MRI的检查有利于确定病变的范围,但由于EMP进展为MM的比例较低,BCSH/UKMF指南并不推荐对非病变部位做常规的MRI扫描。EMP的影像学检查无特异性,但与实体瘤类似,肿瘤在T1加权像表现为等强度,T2加权像表现为高强度。巨大的肿瘤可以表现为坏死、损伤、浸润或包裹周围结构组织。但影像学本身不能与一些常见的肿瘤如肉瘤、脑膜瘤或转移瘤相鉴别。
确诊主要靠组织学证据。通过病灶组织活检或细针穿刺抽吸检查发现有浆细胞瘤存在。病理检查可发现肿瘤组织中有典型的浆细胞浸润,细胞核多为圆形或椭圆形,偏心,有核周淡染现象,核染色质呈成车轮状。免疫组织化学有助于与其他肿瘤相鉴别,可以发现浆细胞表型,如CD138阳性,κ或λ的单克隆沉积等。CD79a阳性,CD20阴性也支持这一诊断。Susnerwala等首次将Bartal提出的MM分级标准应用于EMP,发现该分级法在评价肿瘤的控制和复发有一定的意义。此后,该分级法逐渐被推广认同。具体分级标准如下:Ⅰ级:即低度恶性,肿瘤细胞与正常浆细胞相似,胞核偏位,可见核旁空晕,染色质呈车轮状,胞质呈嗜碱性,偶见核分裂象。Ⅱ级:即中度恶性,50%的肿瘤细胞核大,核仁明显,可见核旁空晕,胞质丰富,嗜碱性,核质成熟部同步。Ⅲ级:即高度恶性,肿瘤细胞似浆母细胞,胞核巨大,有明显的中位核仁,胞质稀少,核旁空晕不明显或缺如。
1.放疗
治疗首选放疗。髓外浆细胞瘤对放疗敏感,一般认为采用适当剂量的放疗可使局部控制率达80%~100%。但由于发病率低,国内外关于EMP治疗的文献资料基本都是回顾性研究,所以对于放疗的最佳剂量尚无定论。Tsang等人报道在14例EMP中用35Gy局部放疗,13例可以控制局部症状,仅1例局部病灶超过5cm的治疗失败。在绝大多数研究中均采用了35~45Gy的剂量放疗。BCSH/UKMF推荐的放疗方案同孤立性骨骼浆细胞瘤:对病灶小于5cm的选择40Gy,分20次给予;对病灶超过5cm的选择50Gy,分25次给予。
放疗范围为MRI所见肿瘤病灶及其边缘外2cm。对于病灶转移到颈部淋巴结时是否加照受侵部位淋巴结,目前仍有争议。BCSH/UKMF推荐若颈部淋巴结受侵犯时加照受侵部位的淋巴结,若Waldeyer环受侵犯时则为高危状态,放疗范围应包括第一梯队的颈部淋巴结。Weber等人在7例EMP中的5例进行了选择性淋巴结放疗,全部获得了局部症状控制,因而他们推荐在非上颌窦和鼻窦的部位可以选择性的局部淋巴结放疗。
2.手术治疗
对于发生在头颈部的髓外浆细胞瘤,不需手术治疗。若发生在其他部位,可考虑用手术完全切除肿瘤,并对其周边部位予以辅助放疗。Alexiou回顾性的比较了手术、放疗和联合治疗EMP三者间EMP的效果。结果发现在病变发生于上呼吸道和消化道(UAD)的患者中,接受联合治疗的患者总生存期和无复发生存期较长;而在非UAD的EMP患者中,三者的复发风险是相当的。
3.辅助化疗
辅助化疗的作用和疗效目前尚未明确。Susnerwala等人回顾了25例头颈部的EMP,提出根据1987年Bartl等人提出的MM分级标准对EMP进行分级,认为其中高度恶性的可以考虑采用辅助化疗。Tsang等人则提出了病灶超过5cm的患者预后不良。根据这些结果,BCSH/UKMF推荐对高度恶性的肿瘤和病灶超过5cm的患者应采用辅助化疗。另外,对复发、难治的EMP也可以考虑辅助化疗。化疗方案参照MM方案。最近有人提出了用含有硼替唑米的联合化疗方案治疗复发难治EMP,但仅限于个案报道,尚需要进一步研究。



