基本信息
英文名称 :nasopalatine cyst
中文别名 :切牙管囊肿
作者
陈建军;彭云生
英文别名
incisive canal cyst
概述
鼻腭囊肿(nasopalatine cyst)亦称切牙管囊肿(incisive canal cyst),发生于上颌切牙管内或附近,是上颌最常见的先天性囊肿。临床上,病变表现为腭部无痛性肿块。组织学上,囊肿壁主要由复层鳞状上皮构成,有时也可见纤毛柱状上皮。
病理学
囊肿有纤维组织的囊壁,内衬有复层鳞状上皮或假复层纤毛柱状上皮,或两者兼有。起源于鼻腭管近口腔端者,其衬里上皮常为鳞状上皮,起源于鼻腭管近鼻腔端者,其衬里上皮为假复层纤毛柱状上皮,囊壁外层的结缔组织内可含有黏液腺、脂肪组织、血管和神经,偶见炎症细胞浸润。
此内容为收费内容
辅助检查
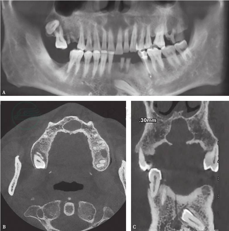
1.X线/CT表现
囊肿呈类圆形低密度影,位于切牙管部位,常延伸入双侧中切牙之间。边缘清楚光滑,周围有骨质硬化带。伴发感染时,病变边缘多不清楚,周围硬化带常不连续(图1)。

图1鼻腭囊肿
上颌骨CBCT,A.CBCT全景重建图;B.CBCT横断位;C.CBCT冠状位。示上颌切牙管异常扩大,呈类圆形囊腔,边缘清楚,周围见骨白线包绕
引自:中华影像医学·头颈部卷.第3版.ISBN:978-7-117-28718-0.主编:
2.MRI表现
囊肿在T1WI上呈低、等信号,T2WI上呈高信号。
此内容为收费内容
此内容为收费内容
来源
头颈部影像学-耳鼻咽喉头颈外科卷,第1版,978-7-117-18090-0,2014.01
中华影像医学·头颈部卷(第3版),第3版,978-7-117-28718-0,2019.10



