楔骨和骰骨单独骨折较为少见,多同时伴有跟骨、舟骨、跖骨基底骨折和跗跖关节脱位。由于楔骨和骰骨有丰富的韧带和关节囊相连,骨折后很少移位。因此,骨折后多不需复位,亦不需手术治疗。
楔骨为上宽下窄的小骨,属足的内侧缘。从胫侧到腓侧分别为第一、第二和第三楔骨,其中第二楔骨较短。每一楔骨两端均为关节面。三个楔骨由丰富而坚韧的韧带连接为一个整体。近端的关节面几乎在一个冠状面上,与其近侧的跗骨构成关节。远端的关节面参差不齐,第一、三楔骨较突出,第二楔骨关节面较凹陷,在冠状面上形成“U”字形的关节面联合体。第二跖骨基底部嵌入这个关节面联合体的穴中,像一个楔子,阻挡第二跖骨的侧移位。
骰骨呈四方形,居脚的外侧缘。近端与跟骨形成跟骰关节,远端与第四、第五跖骨形成关节,内侧与第三楔骨相连,外侧有一骨突,为骰骨粗隆。骰骨粗隆前上方有一浅沟,为腓骨长肌腱沟,腓骨长肌腱通过此沟止于第一跖骨基底。
楔骨和骰骨的血液供应来源于随韧带和关节囊进入骨的血管。
楔骨和骰骨骨折由间接暴力和直接暴力造成。跟骨、距骨、舟骨及五个跖骨与三个楔骨和骰骨之间,彼此有骨间韧带相连,在关节囊外还有韧带增强。故跖跗关节的活动性小,稳定性大。当暴力使距舟、跟骰关节或跗跖关节脱位时,这些韧带常造成楔骨和骰骨的撕脱骨折。
当自高处坠落的重物击中足背,或车轴碾过足背时,亦可造成楔骨和骰骨及其他脚骨的粉碎骨折。
单纯楔骨与骰骨骨折较为少见,一般均合并跗间关节或跗跖关节的脱位,或伴有跟骨或舟骨骨折,在X线片上,有时很难发现,须仔细观察。
图1 第1楔骨骨折
注:第1楔骨内侧缘撕裂骨折(↑),小骨折片向内侧分离移位,邻近软组织肿胀。
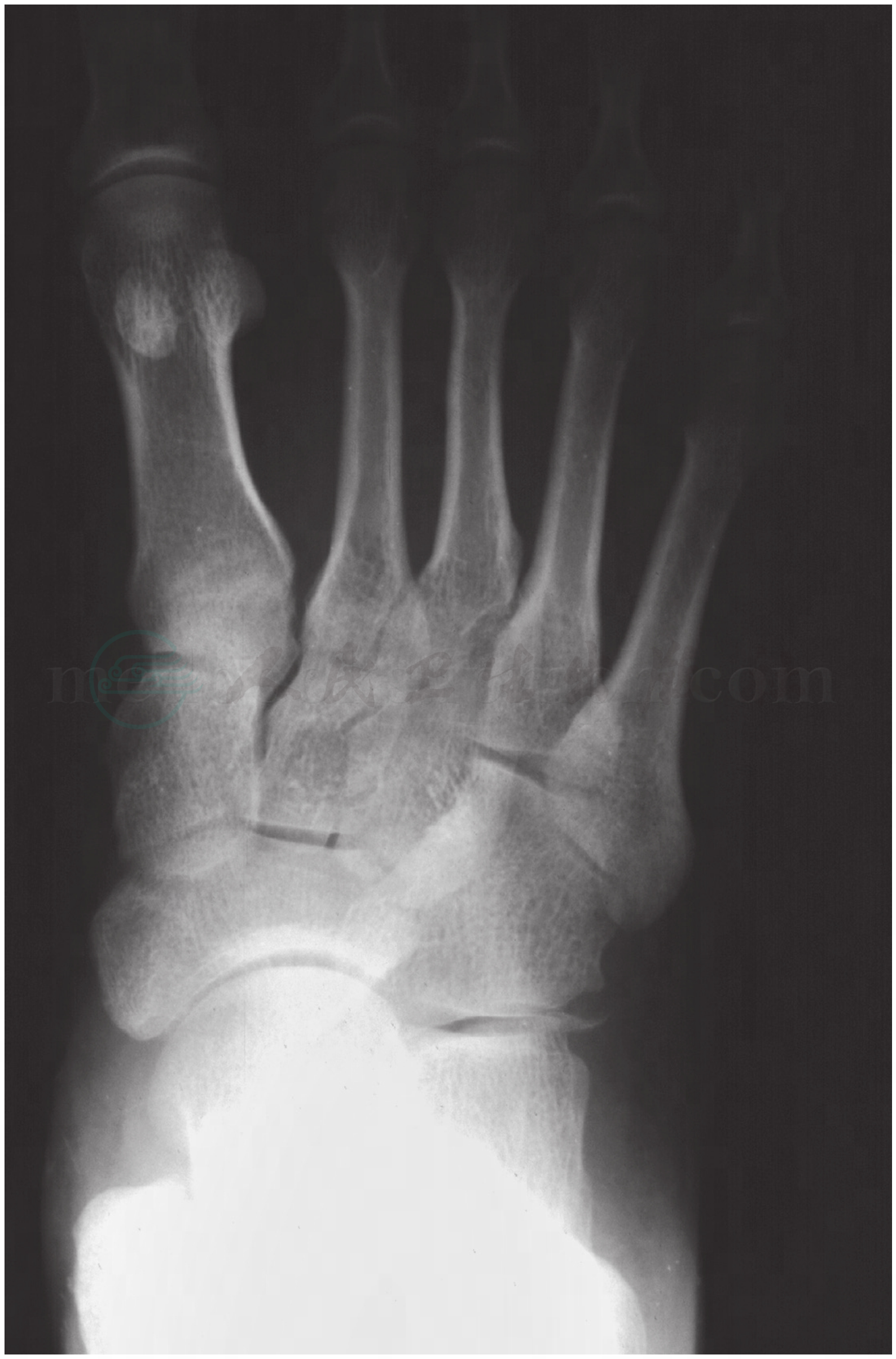
图2 骰骨骨折
注:骰骨前外侧缘显示骨折裂缝(↑),无移位。
图3 骰骨骨折
注:骰骨后缘撕裂骨折(↑),骨折片轻度后移。
图4 骰骨骨折
注:骰骨后外缘撕裂骨折(↑),折处轻微移位。
图5 腓籽骨
注:腓籽骨(↑)属正常变异,位于骰骨外侧,与骰骨外缘平行,边缘光滑,勿误诊为撕裂骨折。
楔骨和骰骨单独的撕脱骨折和粉碎骨折,由于有丰富的韧带及关节囊保护,骨折很少移位,治疗时不需复位,亦不需手术治疗。仅骨折部敷消肿止痛中药,绷带加压包扎,小腿石膏管型固定,4~6周后去固定,用纵弓鞋垫保护行走。
楔骨、骰骨和跟骨、跗中关节脱位同时发生者,应与这些骨折、脱位同时治疗。



