英文名称 :arthrogryposis multiplex congenita
先天性多发性关节挛缩症(arthrogryposis multiplex congenita,AMC)是一组罕见的综合征群,其可为200多种综合征的主要特征表现。典型临床表现为患者出生时至少有2个以上关节持续性、非进展性屈曲挛缩。本病主要影响四肢关节,也可累及脊柱。最常见的多发性关节挛缩类型为肌发育不良(amyoplasia),偶发为特点,又被称为经典先天性多发性关节挛缩症;其次常见类型为远端关节挛缩症(distal arthrogryposis,DA),主要以四肢远端关节挛缩为特征。
先天性多发性关节挛缩症伴发的脊柱侧凸在婴幼儿期即可出现,并迅速进展为僵硬性侧凸,骨骼发育成熟后仍有进展的可能,因此需尽早积极干预。
研究表明,所有的先天性关节挛缩都与胎动减少有关,胎儿运动不足的早期发生与挛缩的严重程度有直接的关系。胎动减少的时间越早,关节挛缩越严重。大多数关节挛缩疾病中,胚胎发育期间关节发育是正常的。但以下因素可能导致胎动减少:①关节周围的结缔组织增加(胶原增生),限制关节运动并加重挛缩;②关节相关肌肉的废用性萎缩;③关节表面异常,可能导致关节活动时其表面轻微骨折。
有学者在动物模型中进行研究,发现如果限制雏鸡和大鼠胚胎发育过程中活动,可导致胚胎宫内生长受限、多发关节挛缩、肢体短缩、肺发育不全、肠道缩短及发育缓慢、颅面部改变(小下颌、腭裂、高鼻根、眼部过度扩张),这些表现合称为“胎儿运动不足继发序列(fetal akinesia sequence)”。在人类中情况则更为复杂,胎儿运动不足的病因可能有:①肌病;②神经病变(包括中枢和外周神经系统);③神经肌接头异常;④结缔组织异常;⑤宫内活动受限;⑥产妇疾病;⑦母体放射或毒物暴露;⑧血供对胎盘/胎儿的损害;⑨代谢紊乱;⑩表观遗传疾病。
有研究报道,约20%~67%的先天性多发性关节挛缩症患者可出现脊柱侧凸。这类患者往往出生时就表现为脊柱畸形,反映出胎儿在母体宫内位置(图4)。在婴儿期脊柱侧凸进展很快,直至儿童后期才趋于稳定。大多数脊柱侧凸在5岁前可发现,对于肌发育不良及综合征型关节挛缩患者来说,胸弯及胸腰弯更多见,腰弯少见。对远端关节挛缩患者来说,胸腰弯更多见,此类患者侧凸进展比其他类型更快(图5)。



图4肌发育不良新生儿临床特征表现
A.显示明显脊柱侧凸,反应宫内胎位情况;B.同一小孩4岁时行平卧位X线提示腰段30°侧凸;C.同一小孩9岁时行平卧位X线提示腰段42°侧凸(引自Komolkin I, et al. Treatment of Scoliosis Associated With Arthrogryposis Multiplex Congenita.J Pediatr Orthop,2017, 37 Suppl 1:S24-S26.)
引自:综合征性脊柱侧凸的诊断与治疗.第1版.ISBN:978-7-117-26420-4.主编:



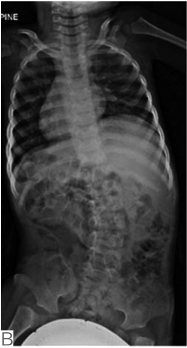
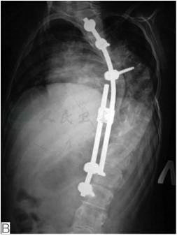
图5远端关节挛缩合并脊柱侧凸患者,6岁,女孩
A.术前全脊柱正位片提示大C型胸弯;B.行单侧可撑开型脊柱内固定手术,术后全脊柱正侧位片提示侧凸部分矫正,躯干平衡尚可;C.术后外观照(引自Komolkin I, et al. Treatment of Scoliosis Associated With Arthrogryposis Multiplex Congenita. J Pediatr Orthop, 2017,37 Suppl 1:S24-S26.)
引自:综合征性脊柱侧凸的诊断与治疗.第1版.ISBN:978-7-117-26420-4.主编:
可分为三种类型:①合并先天性脊柱侧凸,较少见;②主弯为胸腰弯,伴有骨盆倾斜和腰椎前凸增加的脊柱侧凸;侧凸尾侧累及骶骨,头侧至第8或第9胸椎;常合并先天性髋关节畸形;③麻痹性长“C”型弯,通常在患儿两岁时发现,并迅速进展为僵硬型侧凸。
(一)一般治疗
对于四肢畸形以外固定或手术为主,如石膏矫正、软组织松解术、截骨术等,但术后畸形复发率高。治疗目标是增加受累关节运动范围,提高局部肌力,使患儿能独立或在辅助下行走,最大可能改善患儿活动功能及日常生活能力。
(二)脊柱外科治疗
先天性多发性关节挛缩症患者脊柱侧凸发生早,在婴幼儿时期即可出现,并迅速进展成僵硬型侧凸,骨骼发育成熟后仍有可能进展,因此需及早外科干预。研究表明,支具对控制先天性多发性关节挛缩症合并脊柱侧凸的进展效果不佳。脊柱矫形手术对控制其进展的有效性及疗效已得到了证实。脊柱矫形效果与侧凸的严重程度呈负相关趋势。长“C”型侧凸或麻痹性僵硬侧凸患者,行前后路联合矫形可获得较好的矫形效果。先天性多发性关节挛缩症合并脊柱侧凸患者术后并发症发生率较高,特别是神经并发症。严重脊柱侧后凸畸形可使脊髓处于损害临界状态,如严重短节段后凸型脊柱侧凸患者,脊髓紧贴于后凸成角的椎体上,很容易受到直接压迫或影响脊髓前动脉,从而引起神经损害。因此,术前详尽的神经系统查体,脊柱及神经系统全面的影像学检查,是非常有必要的。
(三)围手术期注意事项
先天性多发性关节挛缩症患者的围手术期处理极具挑战性,需要有经验的脊柱外科医师、麻醉师、重症监护科医师、脊髓监测医师、手术室护理人员等的良好合作。麻醉方面的困难主要有:①患者年龄小、体重偏低、营养状况较差、肢体挛缩等,给静脉通道开通带来困难;②小而僵硬的颌骨增加气管插管及气道管理的难度;③患者可能合并先天性心脏畸形、肾脏畸形等,对循环及容量波动的耐受性较差;④易发生术中恶性高热;⑤肌肉萎缩对药物的分布和代谢产生影响;⑥合并肌张力低的患者术后还可能出现肺不张、肺部感染等,引起呼吸困难甚至呼吸衰竭。因此,术前详尽的内科、儿科、麻醉科等综合评估,术后重症监护室的支持,对于先天性多发性关节挛缩症患儿围手术期的平稳过渡极其重要。



