嗜铬细胞瘤(pheochromocytoma)是肾上腺嗜铬细胞的肿瘤,即肾上腺内交感副神经节瘤,以肾上腺髓质多发,有良、恶性之分,以40~50岁常见,家族性肿瘤更常见于年轻人,无明显性别差异。
目前散发型嗜铬细胞瘤的病因仍不清楚,家族型嗜铬细胞瘤则与遗传有关。嗜铬细胞瘤位于肾上腺者占80%~90%,位于肾上腺外者占10%~20%,主要分布于腹膜后、腹主动脉旁,少数位于肾门、肝门、膀胱、直肠后方等特殊部位。单侧多见,双侧少见,后者占10%~20%。大部分嗜铬细胞瘤为良性,恶性占10%~20%。嗜铬细胞瘤常被称为10%肿瘤,即双侧占10%,异位占10%,恶变占10%,但随着医疗水平的提高和影像学检查的普及,越来越多的嗜铬细胞瘤作为偶发瘤而被发现,故10%肿瘤的概念已不能真实反映嗜铬细胞瘤的这些特性。
肾上腺嗜铬细胞瘤直径常小于100mm,多为30~50mm,呈圆形或椭圆形,极少数为哑铃型,有包膜,瘤体切面为黄白色至红棕色,暴露于空气中可变为黑色。嗜铬细胞瘤的名词来源于肿瘤组织浸润在铬盐(嗜铬反应)或其他弱氧化剂中发生的颜色变化。肿瘤内血管丰富,大的肿瘤常有出血、坏死、囊性变,钙化少见。巨检肿瘤与邻近肾上腺之间界限清楚,但显微镜下肿瘤与邻近肾上腺无真正的包膜,肾上腺通常受压或混合在肿瘤中。肿瘤可有纤维假包膜或扩展到肾上腺被膜中,邻近皮质的边缘可不规则,肿瘤细胞与皮质细胞混合性生长。显微镜下肿瘤呈特征性巢状(细胞球Zellballen)和/或梁状结构生长为主,亦可见到弥漫性或实性结构,细胞间富于血管。肿瘤细胞具有细颗粒状的嗜碱性或嗜双色性胞质,细胞核圆形或卵圆形,核仁明显,部分出现假包涵体结构。瘤细胞可有显著多形性,巨核及深染的细胞核常见。但和其他内分泌肿瘤一样,并非恶性的表现,肿瘤内亦可见孤立的神经节细胞(图1)。免疫组化嗜铬细胞瘤CgA阳性(图2),肿瘤中的支持细胞(位于细胞球周围)S-100蛋白阳性。恶性嗜铬细胞瘤的直径较良性肿瘤更大、坏死更多。但事实上除肿瘤出现转移(不包括肿瘤广泛或局部浸润到邻近器官或大血管,而必须出现在原来没有嗜铬组织的部位)外,并无可靠的形态学标志,没有一个组织学特征能作为独立指标确定肿瘤是否具有临床侵袭性行为。转移的主要部位常为肝脏、骨骼、淋巴结、肾和肺部。




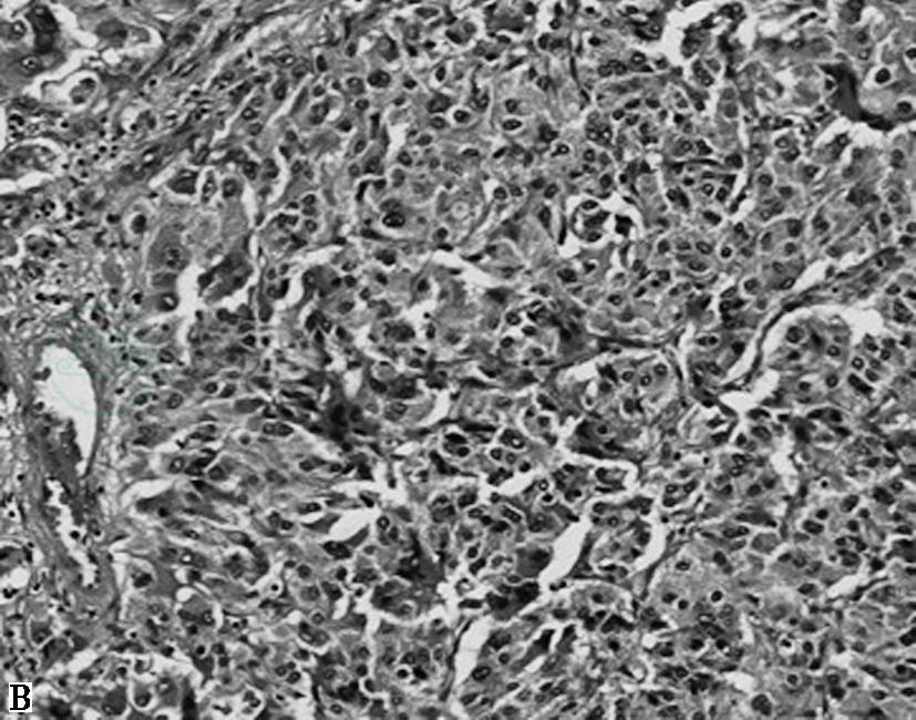
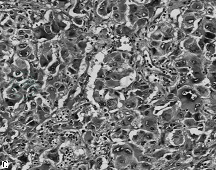
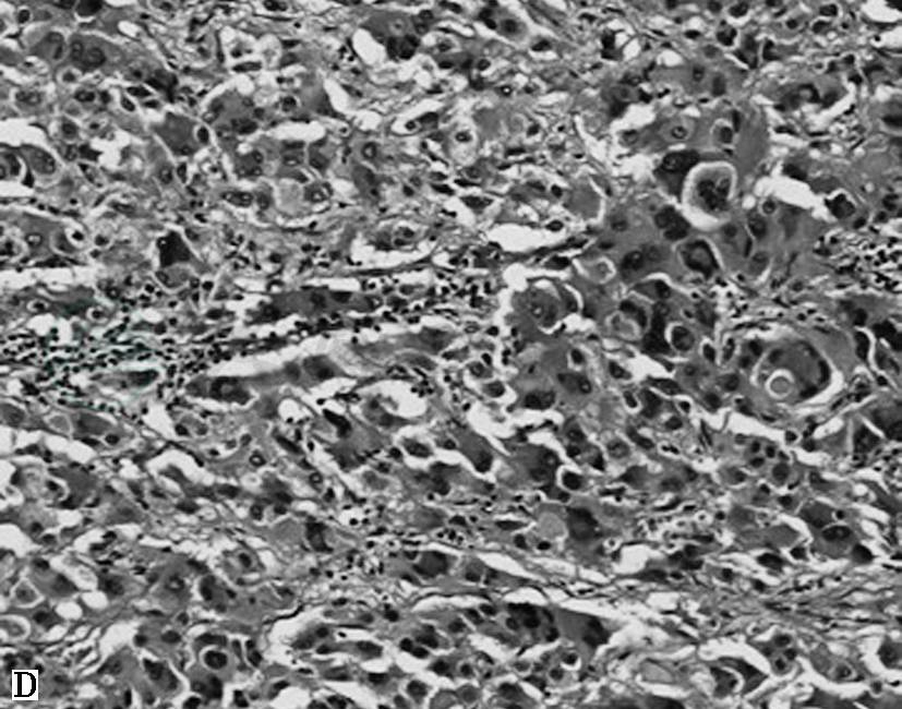
图1嗜铬细胞瘤镜下表现
A.HE 60倍,肿瘤周围见受压的肾上腺皮质;B.HE 100倍,特征性巢状(Zellballen结构),周围包绕纤细的纤维血管性间质;C.HE 200倍,肿瘤细胞形状和大小变化大,嗜碱性或嗜双色性,核仁明显,可见细胞核假包涵体及胞质玻璃样小体;D.HE 200倍,肿瘤细胞多形性及核深染明显,可见胞质内透明小球
引自:泌尿系统多层螺旋CT诊断学.第1版.ISBN:978-7-117-24109-0.主编:

图2免疫组化肿瘤细胞嗜铬素阳性表达
引自:泌尿系统多层螺旋CT诊断学.第1版.ISBN:978-7-117-24109-0.主编:
源于肾上腺髓质,多为单个良性肿瘤,80%~90%位于一侧肾上腺。嗜铬细胞瘤大小相差悬殊,平均直径约5cm,70%的肿瘤重量小于70g,肿瘤血管丰富并有包膜,表面光滑,呈圆形或椭圆形,切面呈黄棕色或红棕色。如肿瘤较大,切面可见出血灶以及坏死或囊性变,显微镜下见瘤细胞较大,呈不规则的多边形,胞质丰富并含有较多颗粒,经铬盐染色后该颗粒被染成棕黄色。嗜铬细胞瘤瘤体大小与儿茶酚胺释放量及其代谢物释放量的比率有关。在巨大的肿瘤内,儿茶酚胺在瘤体内转换速度较慢,降解较充分,所释放到血中的儿茶酚胺较少,尿儿茶酚胺代谢物较多。在较小的肿瘤内,儿茶酚胺转换较快,释放到血循环中的儿茶酚胺较多,而尿儿茶酚胺代谢物相对较少。
过去对肾上腺嗜铬细胞瘤的病理类型有“10%律”的传统说法,即10%恶性、10%肾上腺外、10%双侧,但随着现代诊断手段的提高,嗜铬细胞瘤实际发病情况要高于这一说法。
MSCT表现
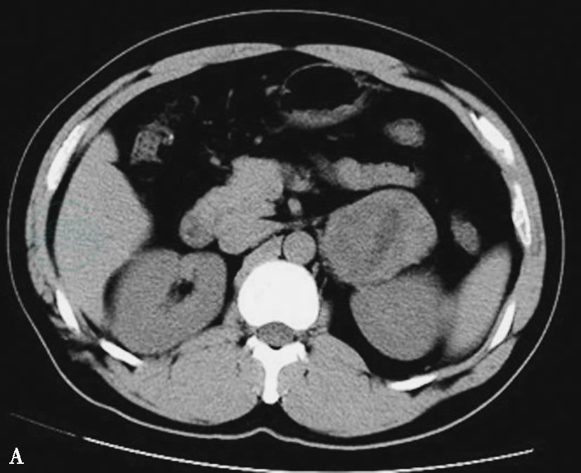
肾上腺嗜铬细胞瘤好发于单侧肾上腺,两侧同时发病少见(图3),后者需排除是否为神经内分泌瘤病的一部分。瘤体的大小与其良、恶性存在一定的关系,即良性者体积多较小,随着瘤体增大,其恶性比例明显提高。赵勤余等报道的9例恶性嗜铬细胞瘤平均直径为76mm,大于50mm的瘤体占77.8%(7/9),而64例良性嗜铬细胞瘤平均直径为43mm,大于50mm的瘤体占37.5%(24/56)。良性嗜铬细胞瘤多呈圆形和椭圆形,少数为不规则形(图4)。而恶性嗜铬细胞瘤形态多不规则(图5),需注意双侧者形态多不规则,故对于双侧瘤体,即使形态不规则也不能轻易考虑恶性嗜铬细胞瘤,需要结合临床及影像表现综合分析。良性嗜铬细胞瘤边缘光滑锐利,包膜完整,与周围组织分界清楚,恶性者可出现形态不规则,边界不清(图6)。

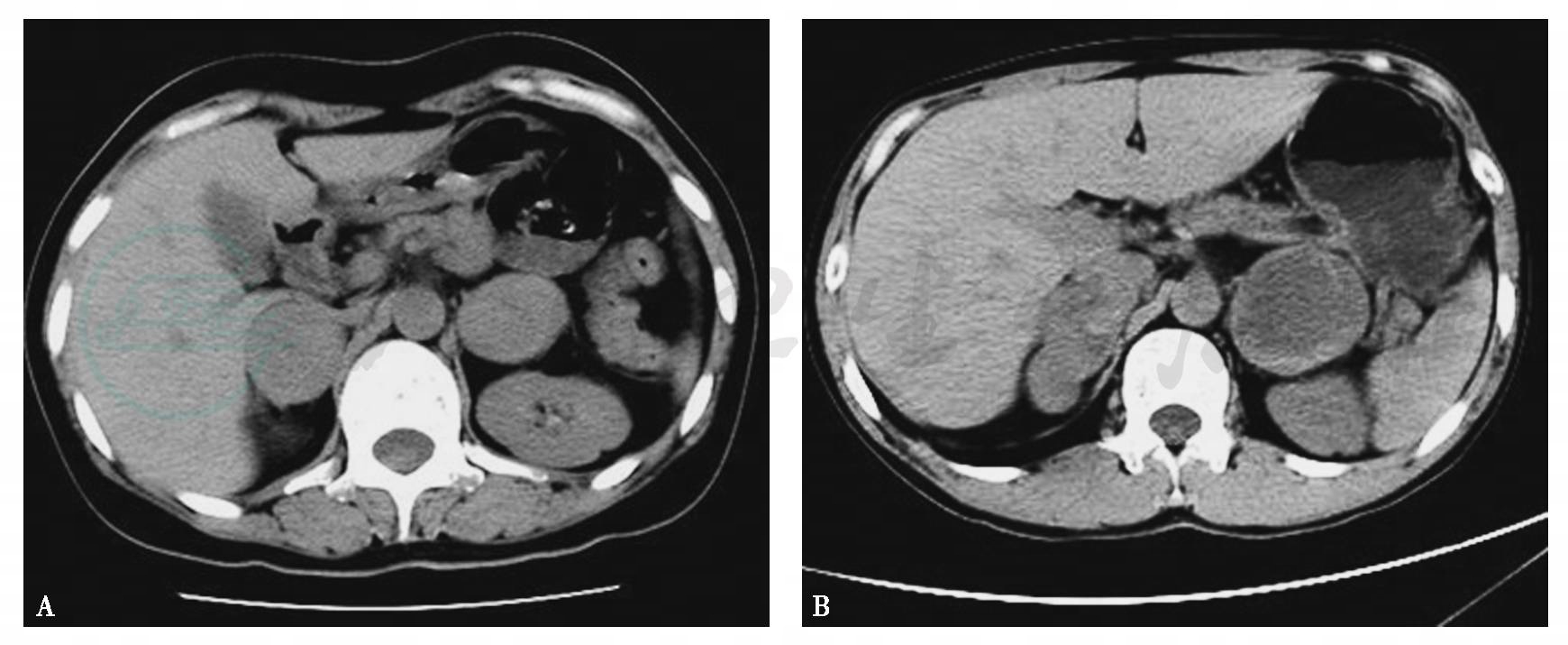
图3两侧肾上腺嗜铬细胞瘤
A.CT平扫示两侧肾上腺类圆形瘤体,密度尚均匀;B.CT平扫示两侧肾上腺瘤体,右侧瘤体不规则分叶状,左侧瘤体呈类圆形,其内囊变较明显
引自:泌尿系统多层螺旋CT诊断学.第1版.ISBN:978-7-117-24109-0.主编:

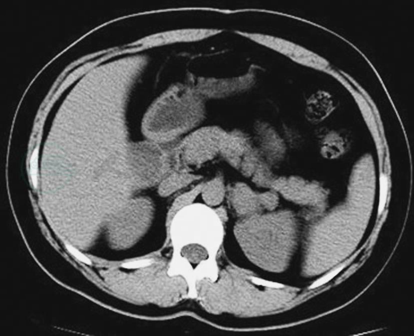
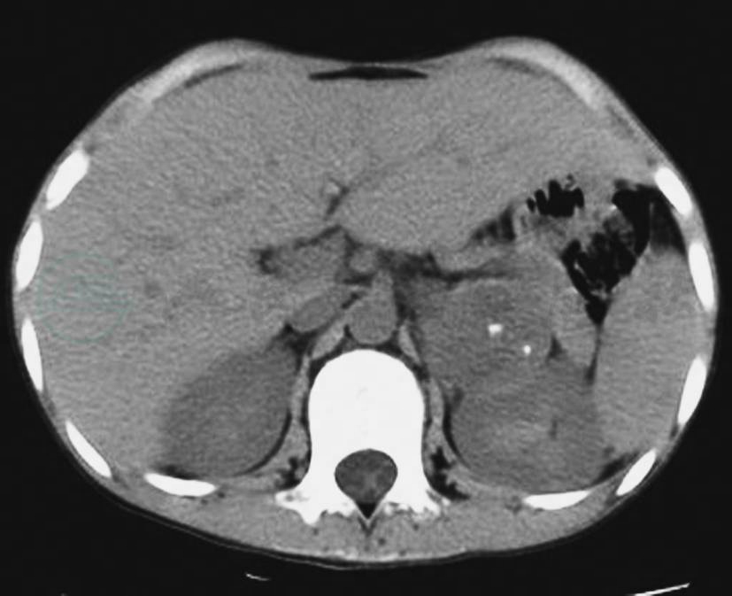
图4左侧肾上腺良性嗜铬细胞瘤
CT平扫示左侧肾上腺瘤体,形态不规则,呈葫芦状
引自:泌尿系统多层螺旋CT诊断学.第1版.ISBN:978-7-117-24109-0.主编:

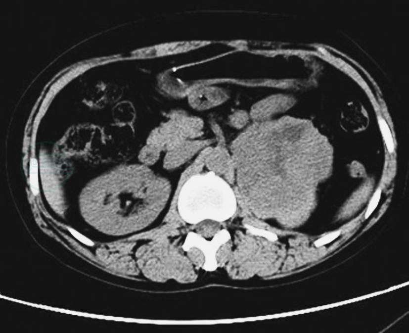
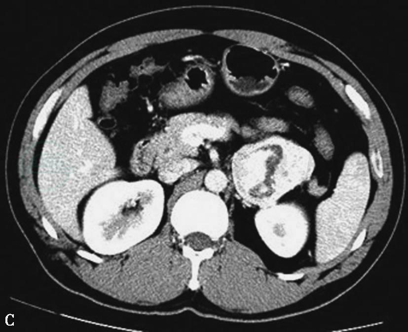
图5左侧肾上腺恶性嗜铬细胞瘤
CT平扫示左侧肾上腺瘤体,形态不规则呈分叶状
引自:泌尿系统多层螺旋CT诊断学.第1版.ISBN:978-7-117-24109-0.主编:

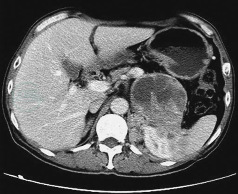
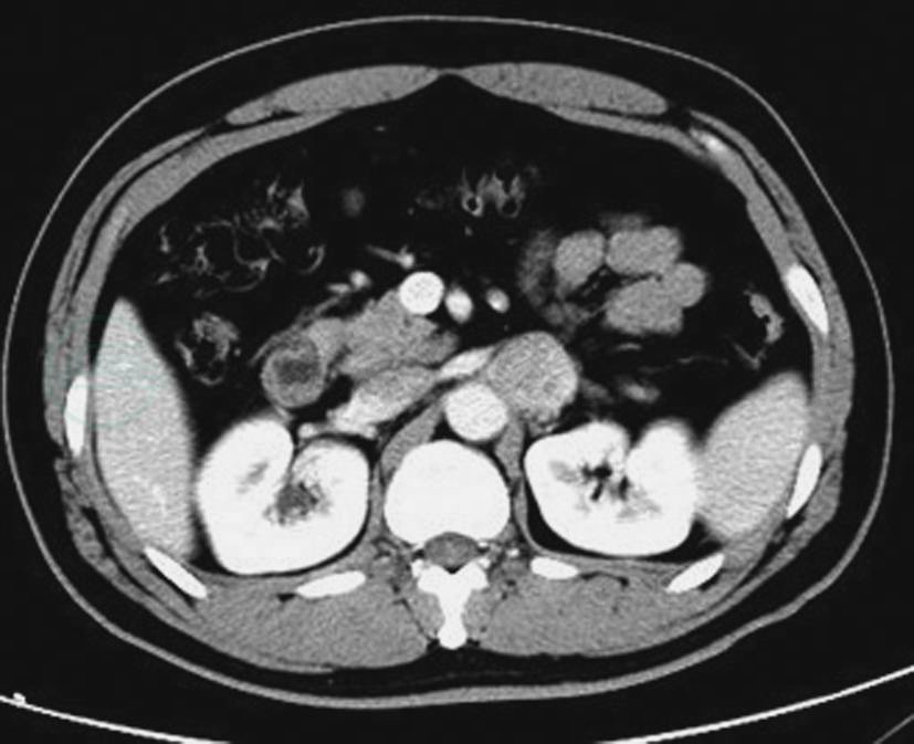
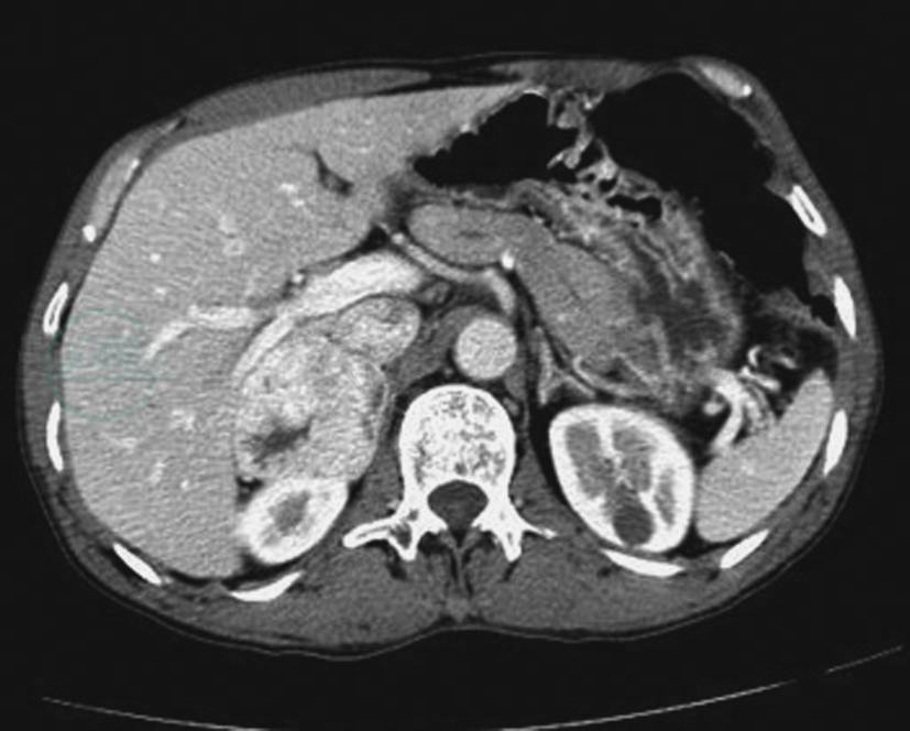
图6左侧肾上腺恶性嗜铬细胞瘤
CT静脉期示左侧肾上腺瘤体,形态不规则,囊变坏死明显,瘤体侵犯肾脏、脾脏及膈肌脚等周围结构
引自:泌尿系统多层螺旋CT诊断学.第1版.ISBN:978-7-117-24109-0.主编:
平扫:瘤体密度是否均匀与其大小相关,瘤体体积较小时多表现为密度均匀(图7);随着瘤体增大,其内出血、坏死、囊变和钙化的几率和程度逐渐增加,瘤体密度呈不均匀表现。瘤体内出血是嗜铬细胞瘤常见的表现,表现为稍高密度,边缘不清或欠清晰,少数出血囊变严重者甚至形成液-液平面(图8)。MRI对出血期的判断优于CT,是怀疑瘤体内出血患者的更佳检查方法。坏死、囊变是嗜铬细胞瘤最常见的征象,CT增强扫描显示更清晰。瘤体钙化少见,占5.3%~12%,良性嗜铬细胞瘤常表现为细颗粒状钙化,主要分布于瘤体边缘(图9),恶性嗜铬细胞瘤可见斑片状钙化,分布于瘤体中心(图10)。少于1%的嗜铬细胞瘤含细胞内脂质,CT值<10Hu,此时与腺瘤不易鉴别。

图7左侧良性嗜铬细胞瘤
CT静脉期示瘤体明显均匀强化
引自:泌尿系统多层螺旋CT诊断学.第1版.ISBN:978-7-117-24109-0.主编:

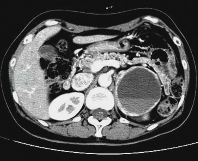
图8左侧肾上腺良性嗜铬细胞瘤
CT静脉期示瘤体呈中央-边缘坏死,坏死完全,呈厚壁囊状改变,内见液-液平面
引自:泌尿系统多层螺旋CT诊断学.第1版.ISBN:978-7-117-24109-0.主编:

图9左侧肾上腺良性嗜铬细胞瘤
CT平扫示左侧肾上腺区圆形瘤体,内见颗粒状钙化灶
引自:泌尿系统多层螺旋CT诊断学.第1版.ISBN:978-7-117-24109-0.主编:

图10左侧肾上腺恶性嗜铬细胞瘤
CT平扫示左侧肾上腺区域巨大瘤体,其内囊变坏死较明显,并见粗大钙化
引自:泌尿系统多层螺旋CT诊断学.第1版.ISBN:978-7-117-24109-0.主编:
增强:瘤体内细胞团间有丰富血窦,增强扫描动脉期实性成分强化方式可类似脾脏,呈花斑状改变。静脉期及延迟期出现中度及以上强化,且呈持续强化(图11)。有学者用动脉期≥110.0Hu作为诊断嗜铬细胞瘤的标准,敏感性和特异度分别为58%和100%。由于瘤体血供丰富,生长过快,瘤体越大,其内越易引供血不足,出现缺血坏死、囊变,囊变可以呈各种形态,如边缘弧形、裂隙状、小圆形坏死、中央-边缘不规则坏死等。部分瘤体可以完全囊变而类似厚壁囊肿(图8,图12、图13),坏死边缘多锐利、平直。恶性嗜铬细胞瘤可见包膜和肾脏浸润,周围淋巴结及远处转移。强化均匀的嗜铬细胞瘤易与乏脂性腺瘤混淆。



图11左侧肾上腺良性嗜铬细胞瘤
A~C.CT平扫、动脉期及静脉期示左侧肾上腺瘤体,平扫密度欠均匀,动脉期实性部分不均匀明显强化,呈斑点状、小片状,类似花斑脾样强化;静脉期进一步强化,坏死区域始终未强化
引自:泌尿系统多层螺旋CT诊断学.第1版.ISBN:978-7-117-24109-0.主编:

图12嗜铬细胞瘤边缘裂隙状坏死
CT增强扫描门脉期示右侧肾上腺明显强化瘤体,其内见裂隙状无强化坏死区
引自:泌尿系统多层螺旋CT诊断学.第1版.ISBN:978-7-117-24109-0.主编:

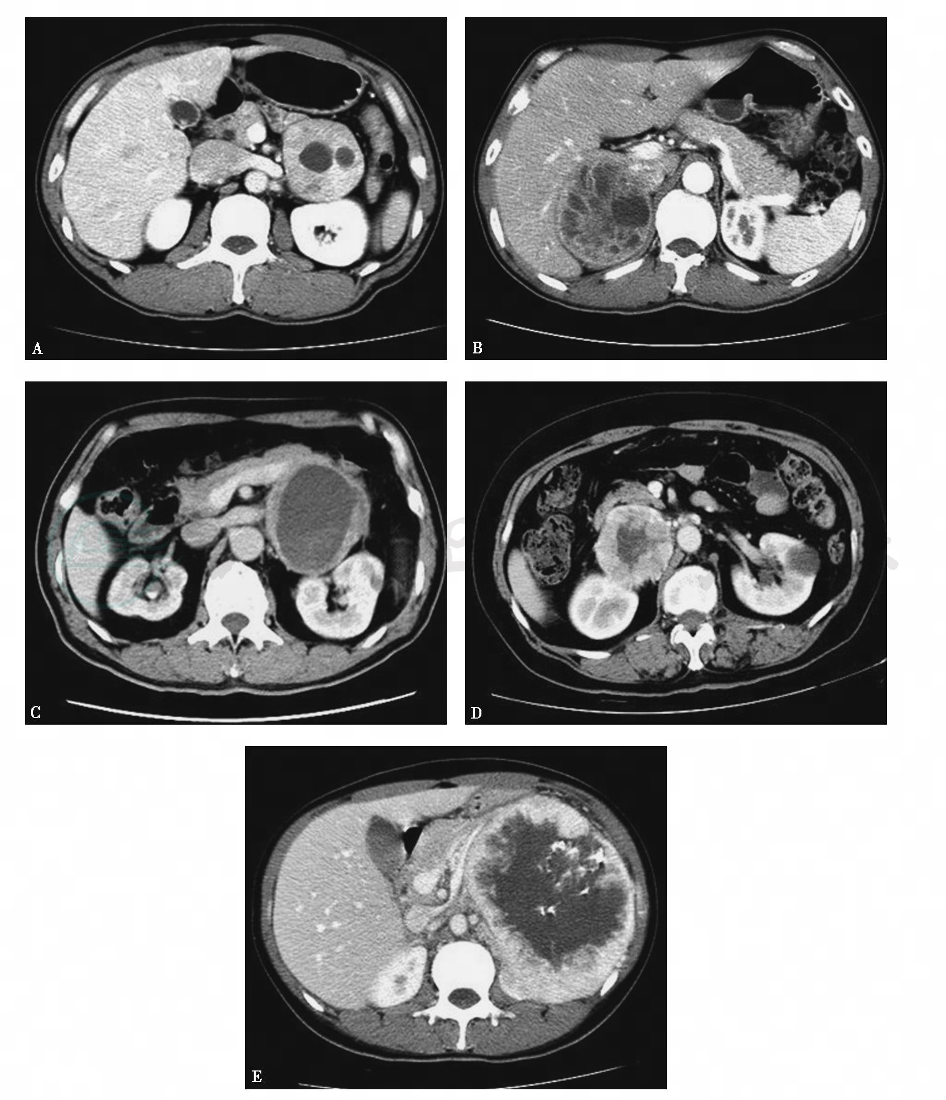
图13中央-边缘坏死
A~D.良性嗜铬细胞瘤不同形态及分布的坏死;E.左侧恶性嗜铬细胞瘤的伴中央-边缘坏死
引自:泌尿系统多层螺旋CT诊断学.第1版.ISBN:978-7-117-24109-0.主编:



