概述
子宫积液系子宫积血和积脓的总称,前者多为处女膜闭锁所致,而积脓则是宫腔积液、积血、癌灶坏死感染而引起,常见于子宫内膜癌、宫颈癌放疗后。
此内容为收费内容
辅助检查
子宫积液的超声表现:
1.子宫积血(常见为处女膜闭锁所致)
①阴道积血:阴道呈囊状膨隆,内见较多积液伴密集细小点状回声(为黏稠血液);②阴道、子宫积血:下段膨大部分为阴道积血,上段为增大的子宫伴宫腔积血,二者之间以较窄腔隙相连通(为宫颈管)(图16-22)。
2.子宫积脓
子宫积脓时可见子宫呈球形增大,边界清晰,宫腔内呈液性,并伴有较多点状回声(图16-23)。

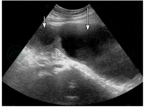
图16-22阴道、子宫积血
子宫稍大,宫腔内见液性区(短箭头所示);阴道呈囊状膨隆,内见较多积液伴细小点状回声(长箭头所示)。
引自:超声诊断学(第4版).第1版.ISBN:978-7-117-33664-2.主编:

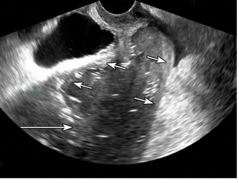
图16-23子宫积脓
子宫增大,宫腔积脓呈液性伴低弱回声及气体强回声(长箭头所示),宫壁薄(短箭头所示)。
引自:超声诊断学(第4版).第1版.ISBN:978-7-117-33664-2.主编:
此内容为收费内容
来源
,,
超声诊断学(第4版),第1版,978-7-117-33664-2,2022.10



