动脉粥样硬化性肾动脉狭窄(atherosclerotic renal arterial stenosis,ARAS)是指由动脉粥样硬化引起的肾动脉管腔狭窄。有研究数据表明,在我国肾动脉狭窄病因中,动脉粥样硬化所占比例由1990年前的28.9%增至1990年后的64.0%~71.0%,成为目前肾动脉狭窄的首要病因。
肾动脉粥样硬化和ARAS常为全身动脉粥样硬化病变的一部分,与肾外血管粥样硬化病变共同存在,一项研究显示85%的ARAS患者同时存在冠心病或周围血管病,多数研究认为ARAS代表了体内的粥样硬化负荷。老年人、高血压及糖尿病患者发病率高于其他人群。肾动脉粥样硬化斑块可累及邻近的主动脉,亦可仅局限于肾动脉,主要位于肾动脉主干开口处及近端1/3处,偶尔累及动脉远端或其分支。病变发生于动脉内膜,首先动脉内膜增厚、富含胆固醇脂质沉积,进而纤维化形成粥样斑块;斑块可沿血管壁蔓延,使管腔狭窄和内膜破坏。
ARAS的发展与高血压密切相关,两者既可相互影响,又可单独发生。ARAS早期,肾缺血刺激肾素分泌,激活体内肾素-血管紧张素-醛固酮系统,外周血管收缩、水钠潴留而导致肾性高血压。相反,长期持续高血压使血管痉挛,血管负荷加重,内膜受损,通透性改变,血清胆固醇以及动脉壁内胆固醇含量增高等因素都促进动脉粥样硬化的形成,尤其是肾动脉的粥样硬化。
1.CT平扫及MSCTA
ARAS在CT平扫中的表现主要取决于动脉壁粥样硬化有无钙化,无法评价动脉管腔的狭窄程度。MSCTA以MIP、MPR、CPR以及VR等方法可以清晰显示肾动脉的走行、狭窄程度、部位、血管壁钙化情况及血管解剖结构变异等情况。
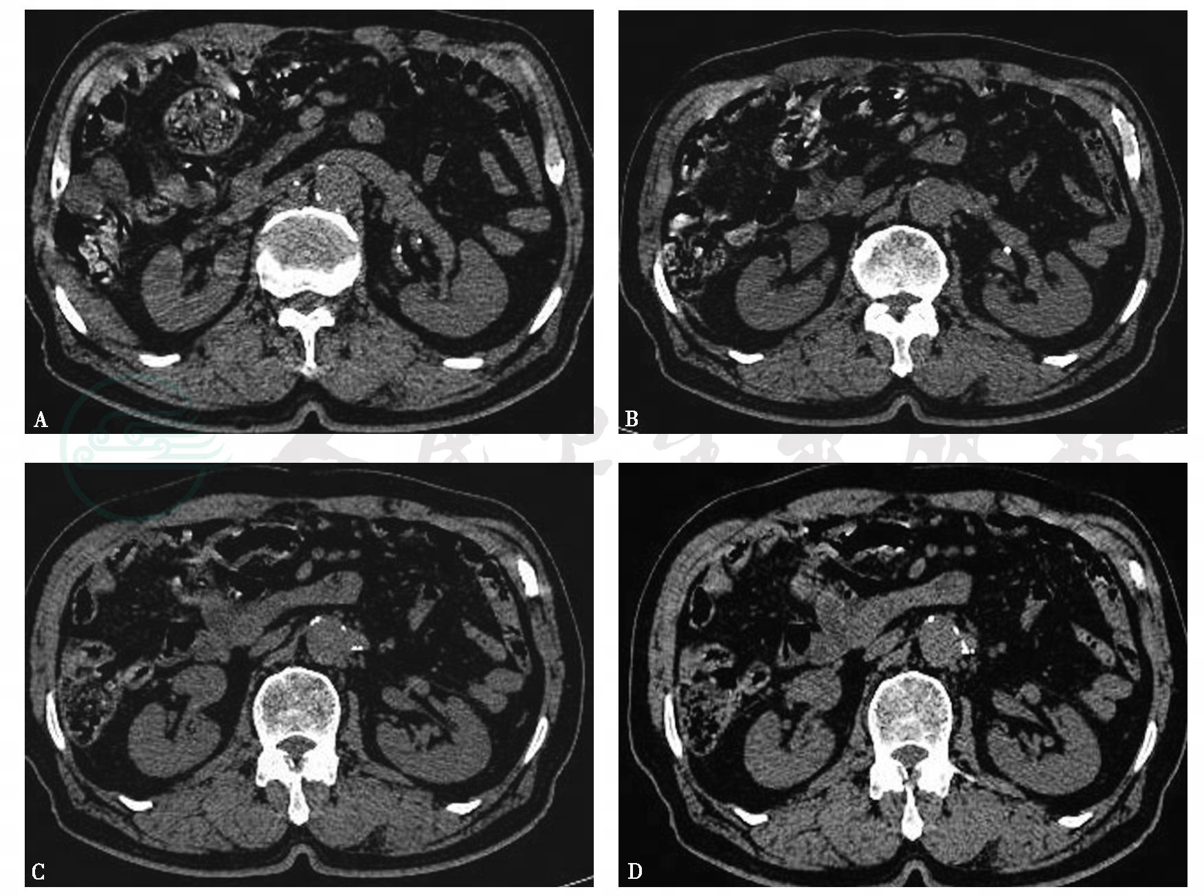
约30%~50% ARAS为双侧病变,狭窄部位多位于肾动脉近段或开口处,中远段狭窄较少,可能与肾动脉呈直角开口于腹主动脉,起始段血流压力较高有关(图1)。袁学文报道42例ARAS约78.2%位于肾动脉起始部或近段,21.8%的狭窄位于中远段。动脉管腔狭窄程度不等,但多呈偏心性狭窄。MSCT可以判断粥样硬化斑块的性质,区分是否为钙化性斑块、非钙化性斑块或是混合性斑块。肾实质强化表现与肾动脉狭窄程度相关,若动脉狭窄严重,影响肾脏血流则肾皮质强化减弱;肾实质一般没有发现强化异常。黄昌辉等报道23例ARAS中,轻度狭窄5例,中度狭窄12例,重度狭窄6例;4例患者肾脏肾皮质强化减弱,其余19例肾实质没有发现强化异常。
2.肾脏CT灌注成像
肾脏CT灌注成像(computed tomography perfusion,CTP)是近几年随着CT设备的不断发展而开发的一种功能成像技术,在显示脏器形态学变化的同时还反映生理功能的改变,可反映活体的血流动力学变化并可进行定量或半定量分析。CTP指在静脉注射对比剂的同时对选定的层面进行同层动态扫描,以获得该层面内每一像素的时间-密度曲线(time of curve,TDC),根据该曲线应用不同的数学模型计算出该组织的血流量(blood flow,BF)、血容量(blood volume,BV)、对比剂的平均通过时间(mean transit time,MTT)和对比剂峰值时间(transit time to the peak,TTP)等参数,对以上参数进行图像重组和伪彩染色处理得到血流灌注图、血容积图、对比剂平均通过时间图和对比剂峰值时间图等,以此来评价组织或病灶局部血流动力学的变化情况。此外,肾脏CT灌注参数还有峰值时间(peak time,PT)、上升时间(rise time,RT)、高峰CT值(peak value,PV)、CT值增幅(rise value,RV)和相对强化程度(enhancement degree,ED)。
Paul等将双侧肾脏的CT灌注TDC曲线分成3种类型:Ⅰ型为双侧对称型,TDC曲线的形状及位置相似;Ⅱ型为双侧不对称型,双侧皮质灌注量相似,但患侧达到峰值时间延迟;Ⅲ型为患侧皮质灌注量明显降低,达峰值时间延迟,峰值减低。同时,研究发现双侧对称性的肾动脉狭窄的灌注曲线为A型;肾动脉狭窄程度小于60%并且不造成血流动力学的改变时其肾脏灌注曲线也可以是对称的A型;而B型和C型灌注曲线与肾性高血压有关,还提出肾脏的灌注曲线对单侧肾动脉狭窄的诊断是有意义的。目前,判断一侧性肾脏缺血的方法主要是比较对侧肾脏皮质血流量,如一侧肾脏皮质血流量小于对侧25%,考虑有肾缺血存在。其优点是缩小了个体循环差异,缺点是对双侧肾脏缺血的判断缺乏客观指标。当PV、ED、RV三者下降时,高度提示有肾皮质缺血性病变存在。何悦明等通过应用CT血流灌注参数对肾动脉狭窄所致肾脏缺血进行评估,进而分析肾动脉狭窄与肾脏皮质血流量之间的关系,结果表明明显肾动脉狭窄(狭窄> 50%)的肾皮质血流灌注量低于无肾动脉狭窄者,单侧肾动脉狭窄肾皮质血流量低于无狭窄对侧,肾动脉狭窄程度对肾脏皮质血流发生影响;测定循环时间的时间密度曲线能够用于评估肾动脉狭窄导致的肾脏血流改变。

图1肾动脉粥样硬化
A~D.左肾动脉起始处及肾门处血管壁可见多发点状高密度影,边缘清晰
引自:泌尿系统多层螺旋CT诊断学.第1版.ISBN:978-7-117-24109-0.主编:



