概述
耳息肉(otic polyps)是慢性炎症刺激下中耳黏膜的炎性肉芽组织增生形成的突出于黏膜表面的肿块,常继发于慢性中耳炎。胆脂瘤也是中耳息肉形成的重要原因之一,又称炎性耳息肉、听道息肉。
病理学
1.肉眼观
红色、质脆的软组织肿块,表面光滑。所有成分均应取材,以除外伴发的胆脂瘤。
2.镜下观
主要为炎性肉芽组织。间质水肿、富含毛细血管,或呈纤维性、毛细血管减少。细胞成分为慢性炎细胞,包括淋巴细胞、浆细胞、组织细胞及嗜酸性粒细胞,或有淋巴滤泡形成,也可见中性粒细胞、Rusell小体、Mott细胞(含大的嗜酸性免疫球蛋白小体)。有时伴多核巨细胞、胆固醇肉芽肿及钙化灶。慢性病例的间质内可见腺性包涵体(图1)。
被覆上皮为假复层柱状、立方状上皮,有或无纤毛,可发生鳞化。复层鳞状上皮表层为非细胞性角化碎片或见到异物巨细胞是伴发胆脂瘤的表现。病理医生对耳息肉的首要关注是仔细检查以除外胆脂瘤。



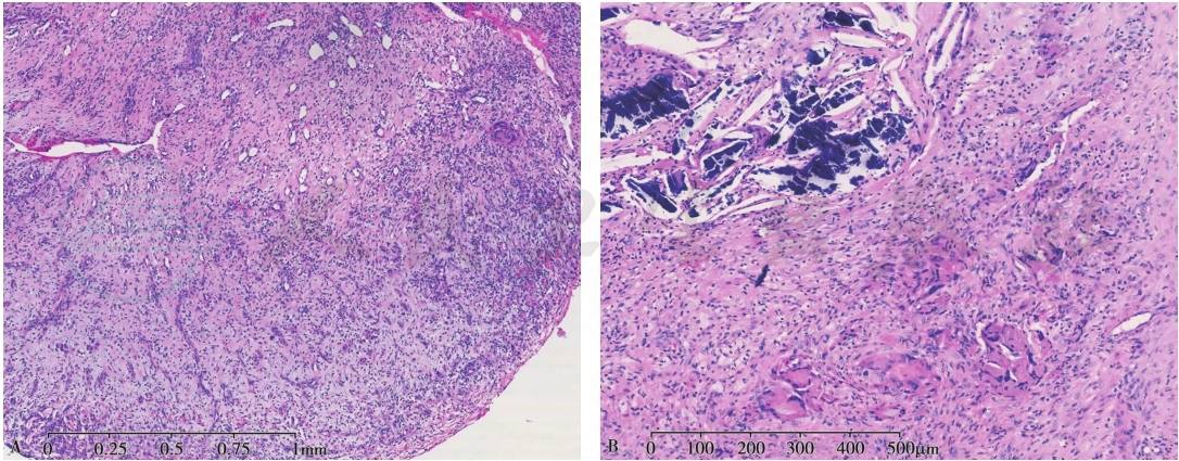
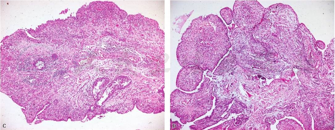
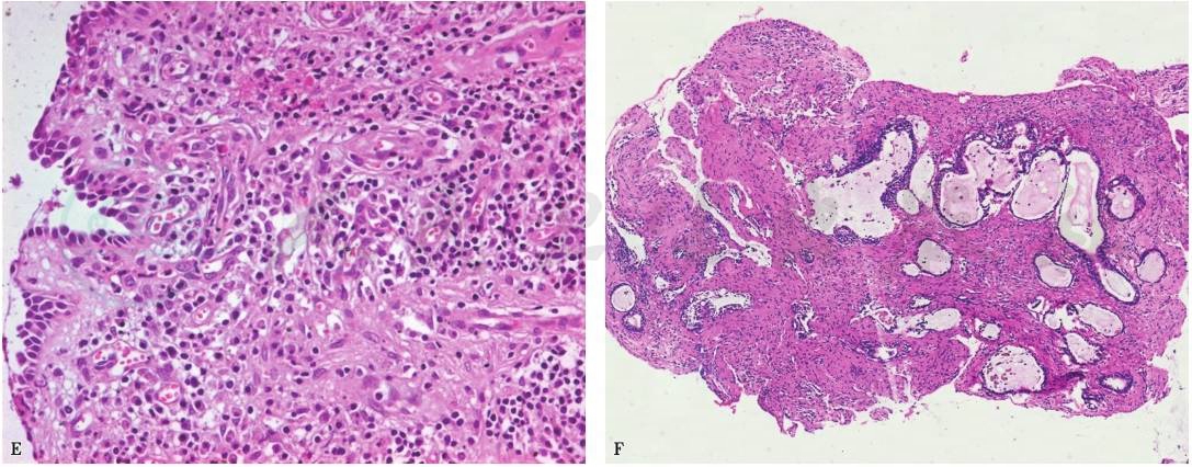
图1耳息肉
A.肉芽组织增生;B.深部可见钙化、纤维化及异物性多核巨细胞反应;C.黏膜内纤维血管组织增生,伴慢性炎症细胞浸润,部分区间质水肿,可见黏膜被覆上皮下陷形成腺性包涵体;D.息肉表面可见乳头状增生;E.间质内浸润炎症细胞以浆细胞及淋巴细胞为主;F.陈旧息肉内间质纤维化及较多腺性包涵体
引自:临床病理诊断与鉴别诊断--眼耳鼻咽喉疾病.第1版.ISBN:978-7-117-30938-7.主编:
此内容为收费内容
辅助检查
影像学检查有助于除外胆脂瘤。当大的耳息肉完全堵塞外耳道时,也需要通过影像学确认肿物的原发部位。
此内容为收费内容
来源
临床病理诊断与鉴别诊断——眼耳鼻咽喉疾病,第1版,978-7-117-30938-7,2020.12



