肾外伤是指在外部力量的作用下造成肾脏解剖结构不同程度的破坏。肾外伤的病理表现与肾外伤的分级、分类相关,美国创伤外科协会肾外伤分级(表1)是目前最新版本、最全面的肾外伤临床严重程度分级及其相应病理变化的诊断分级标准。肾外伤的临床表现主要有血尿、疼痛、肌肉强直、血肿或尿外渗所致的肾周肿块、低血压,甚至休克。
表1美国创伤外科协会肾外伤分级

引自:医学超声影像学.第3版.ISBN:978-7-117-33192-0.主编:
肾外伤是指在外部力量的作用下造成肾脏解剖结构不同程度的破坏。肾外伤的病理表现与肾外伤的分级、分类相关,美国创伤外科协会肾外伤分级(表1)是目前最新版本、最全面的肾外伤临床严重程度分级及其相应病理变化的诊断分级标准。肾外伤的临床表现主要有血尿、疼痛、肌肉强直、血肿或尿外渗所致的肾周肿块、低血压,甚至休克。
表1美国创伤外科协会肾外伤分级

引自:医学超声影像学.第3版.ISBN:978-7-117-33192-0.主编:
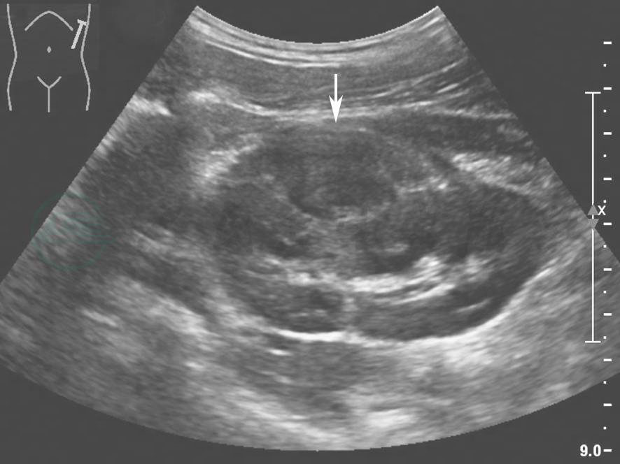
Ⅰ~Ⅲ级肾外伤的超声声像图表现与损伤部位及出血时间有关,位于肾实质的病灶多呈低回声,而位于肾包膜下或肾周的血肿回声类型多变,其中急性出血呈无回声或弱回声,30min后出血会产生自凝,回声也逐渐增强呈高回声,4~5d后,因凝血块液化,超声表现为低回声甚至无回声(图1),随后被身体逐渐吸收,2~3个月后未被吸收的血肿可形成钙化,表现为强回声。Ⅰ~Ⅲ级肾外伤的肾裂伤处及肾包膜下血肿、肾周血肿、尿外渗内均无彩色血流信号,但裂伤以外的血流信号正常存在。
Ⅳ~Ⅴ级肾外伤除Ⅰ~Ⅲ级病灶的声像图表现外,还有集合系统损伤所致的肾周尿外渗、血管损伤引发的局限性或全肾梗死病灶,以及肾碎裂伤后肾脏破裂的超声表现。尿外渗超声表现为肾周围出现类圆形无回声区,内部无血流信号。局限性肾梗死表现为局部楔形低弱回声,梗死灶内部无血流信号,楔形的尖端指向集合系统,如为全肾梗死则表现为肾脏明显增大、形态饱满、肾实质回声低弱、肾内无血流信号、肾周围可伴有积液。肾碎裂伤的灰阶超声表现为肾窝无正常形态结构的肾脏,该区域可见大小形态不等的低回声或不均匀回声的肿块,内部无血流信号。

图1肾周血肿超声图像
引自:医学超声影像学.第3版.ISBN:978-7-117-33192-0.主编:
肾外伤的超声造影表现为裂伤病灶、血肿、肾梗死区及破碎的肾脏组织块均无对比剂进入,呈无增强。Ⅳ级肾外伤中,如损伤的肾动脉中伴有血栓形成,超声造影能显示无增强的血栓区域,并准确地评估血栓的范围及血管阻塞的程度。此外,超声造影的实时成像能评估肾外伤有无活动性出血存在,表现为肾实质裂伤处或肾包膜破口处的造影剂呈“烟花”状或条状溢出或涌出。
Ⅰ~Ⅲ级肾外伤的超声声像图表现与损伤部位及出血时间有关,位于肾实质的病灶多呈低回声,而位于肾包膜下或肾周的血肿回声类型多变,其中急性出血呈无回声或弱回声,30min后出血会产生自凝,回声也逐渐增强呈高回声,4~5d后,因凝血块液化,超声表现为低回声甚至无回声(图1),随后被身体逐渐吸收,2~3个月后未被吸收的血肿可形成钙化,表现为强回声。Ⅰ~Ⅲ级肾外伤的肾裂伤处及肾包膜下血肿、肾周血肿、尿外渗内均无彩色血流信号,但裂伤以外的血流信号正常存在。
Ⅳ~Ⅴ级肾外伤除Ⅰ~Ⅲ级病灶的声像图表现外,还有集合系统损伤所致的肾周尿外渗、血管损伤引发的局限性或全肾梗死病灶,以及肾碎裂伤后肾脏破裂的超声表现。尿外渗超声表现为肾周围出现类圆形无回声区,内部无血流信号。局限性肾梗死表现为局部楔形低弱回声,梗死灶内部无血流信号,楔形的尖端指向集合系统,如为全肾梗死则表现为肾脏明显增大、形态饱满、肾实质回声低弱、肾内无血流信号、肾周围可伴有积液。肾碎裂伤的灰阶超声表现为肾窝无正常形态结构的肾脏,该区域可见大小形态不等的低回声或不均匀回声的肿块,内部无血流信号。

图1肾周血肿超声图像
引自:医学超声影像学.第3版.ISBN:978-7-117-33192-0.主编:
肾外伤的超声造影表现为裂伤病灶、血肿、肾梗死区及破碎的肾脏组织块均无对比剂进入,呈无增强。Ⅳ级肾外伤中,如损伤的肾动脉中伴有血栓形成,超声造影能显示无增强的血栓区域,并准确地评估血栓的范围及血管阻塞的程度。此外,超声造影的实时成像能评估肾外伤有无活动性出血存在,表现为肾实质裂伤处或肾包膜破口处的造影剂呈“烟花”状或条状溢出或涌出。



