寰枢关节由4个关节组成,包括位于正中的2个寰齿关节和左右侧块的2个外侧关节。寰枢椎稳定性主要靠韧带,有寰枢前膜、寰枢后膜、寰椎横韧带、覆膜、翼状韧带和齿状韧带。特别是横韧带对寰枢椎的稳定性起着重要作用。头部旋转时大部分的活动度发生于此关节。寰椎横韧带附着于寰椎两侧侧块内侧面的结节上,将枢椎齿状突束缚于寰椎前弓的内面,包绕并限制齿状突过度活动,与之构成寰齿后关节。
根据C1移位程度,寰枢关节半脱位可分为四型:Ⅰ型C1相对于C2前移位少于3mm,Ⅱ型C1相对于C2前移位3~5mm,Ⅲ型C1相对于C2前移位大于5mm,Ⅳ型C1相对于C2向后移位。Ⅱ、Ⅲ及Ⅳ型寰枢关节半脱位可能会损伤脊髓和椎动脉。
寰枢关节包括:①寰枢外侧关节,由枢椎的上关节面与左、右寰椎下关节面构成;②齿突前、后关节,齿突前关节由齿突前面与寰椎前弓的齿凹组成,后关节则由齿突后面与寰椎横韧带构成,两者分别形成两个滑膜腔。寰枢关节的周围韧带及覆膜有寰椎横韧带、齿突尖韧带。
翼状韧带、覆膜及寰椎后弓与枢椎椎弓间的黄韧带等限制寰枢椎过度运动。头部旋转运动的50%发生于此关节。它不但运动灵活,且周围有许多韧带连接枕骨、寰椎、枢椎及其他颈椎。
当头颅部遭受屈曲与前向暴力时,头部的动能大部分集中在横韧带上,齿突恰在其中央部,形成对横韧带的“切割”外力,可造成横韧带断裂。另外垂直暴力作用,使寰椎侧块和椎弓骨折段分离移位也可造成横韧带撕裂。横韧带附着于寰椎两侧块前方,并与其前弓共同构成骨纤维结构,限制齿突过度活动,保持寰枢椎稳定,当横韧带损伤或断裂时即可出现寰枢关节的脱位或半脱位。这是一种严重损伤,常伴有脊髓损伤,可立即致命。
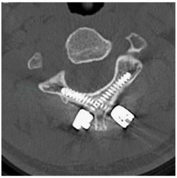
治疗:可以采用颅骨牵引或Glisson枕颌带牵引,2~3周后再上头颈胸石膏固定。对诊断明确的横韧带完全断裂以及顽固性和陈旧性半脱位,可在复位后行寰枢椎融合术。后路寰枢椎融合术最多采用的术式早期主要有Gallie法及Brooks法,即在寰椎后弓与枢椎椎板后方中线植骨和后路椎板钩或钢丝环扎法,目前这种方法由于不融合率较高而逐渐被淘汰。近年来寰枢椎固定方法主要有:寰枢椎间经过关节突的螺钉固定(Margel螺钉技术);寰椎侧块或椎弓根螺钉,枢椎椎弓根螺钉或椎板钉之间的钉棒系统。1987年Margel最早提出了C1/2经关节突螺钉技术,穿过寰枢关节多层皮质,结合Brooks法或改良Gallie法固定寰枢椎,固定可靠(图1)。但手术难度较大,存在损伤椎动脉的风险。目前使用最为广泛的是C1侧块或椎弓根螺钉结合C2椎弓根螺钉固定技术。2001年Harms提出寰椎侧块螺钉技术,以C1、C2侧块关节作为确定进钉点的解剖标志,螺钉垂直于冠状面或轻度内斜进钉,在矢状面的进钉角度平行于寰椎后弓(图2)。Resnick等最先提出寰椎椎弓根螺钉。进钉点在枢椎峡部中央的正上方与寰椎后弓上下缘中央的交点(图3)。如果枢椎椎弓根过细,或横突孔过大,椎动脉畸形等不能进行枢椎椎弓根螺钉固定,可以运用椎板螺钉技术进行固定。这项技术最早2004年由Wright提出(图4)。

图1经关节突Margel螺钉
引自:实用外科学(全2册).第4版.ISBN:978-7-117-23988-2.主编:

图2Harms寰椎侧块螺钉技术
引自:实用外科学(全2册).第4版.ISBN:978-7-117-23988-2.主编:
齿状突是寰枢椎的骨性中轴,被寰椎横韧带和翼状韧带固定,对寰枢椎稳定有重要作用。齿状突骨折是累及寰枢椎区域稳定性的严重损伤,常伴有25%神经功能损伤的发生率及5%~10%的死亡率。头颈部屈曲性损伤是引起齿状突骨折的主要原因。Anderson根据骨折线的位置将齿状突骨折分为三型(图97-109)。Ⅰ型齿状突尖端斜型骨折,Ⅱ型齿状突基底部骨折,Ⅲ型骨折线波及枢椎椎体,累及单侧或双侧关节突骨折。

图3寰椎椎弓根螺钉进针点
引自:实用外科学(全2册).第4版.ISBN:978-7-117-23988-2.主编:

图4枢椎椎板螺钉术后CT片
引自:实用外科学(全2册).第4版.ISBN:978-7-117-23988-2.主编:



