英文名称 :injury of anterior cruciate ligament
前交叉韧带(anterior cruciate ligament,ACL)是膝关节重要的韧带结构,控制膝关节的前向稳定性。前交叉韧带损伤也是常见的膝关节损伤,多见于运动损伤,高危运动有篮球、滑雪、足球、橄榄球等。
前交叉韧带由大量的胶原纤维束组成,表面有滑膜包裹,平均长度38mm(25~41mm),平均宽度10mm(7~12mm)。
前交叉韧带位于膝关节的中央,起自股骨外髁内侧面后部,向前、内方向走形,止于两侧胫骨髁间棘的前内区域。股骨附丽区呈椭圆形或半圆形(图1A),附丽区长轴与股骨纵轴交角是26°。胫骨附丽区呈三角形(图1B),内侧为胫骨平台内侧关节面,外侧为外侧半月板前角,前方为半月板横韧带。

图1前交叉韧带附丽区
A.股骨附丽区;B.胫骨附丽区
引自:实用骨科学(第2版).第2版.ISBN:978-7-117-22817-6.主编:
前交叉韧带与髁间窝无碰撞:在膝关节伸直时,前交叉韧带与股骨髁间窝紧密相邻,平行并列而无碰撞(图2)。从三维立体角度看,它位于股骨髁间窝顶部,内外两侧之间的正中,与股骨髁间窝两侧也无碰撞。
前交叉韧带相对等长:在膝关节屈伸活动过程中,前交叉韧带两附丽区间距长度变化<2mm。目前,治疗前交叉韧带损伤的等长重建技术正是建立在这种韧带等长概念之上的。

图2前交叉韧带与髁间窝顶平行排列无撞击
引自:实用骨科学(第2版).第2版.ISBN:978-7-117-22817-6.主编:
多数学者同意将前交叉韧带分为两束:前内束和后外束。前内束起于股骨附丽区的近端部分,止于胫骨附丽区的前内部分。后外束起于股骨附丽区的远端部分,止于胫骨附丽区后外部分。膝关节伸直时后外束拉紧,变得扁平;膝关节屈曲时前内束拉紧(图3)。基于这种解剖形态,前交叉韧带可以限制胫骨前移和内旋,另外对限制膝关节内、外翻和过伸也有一定作用。

图3前交叉韧带的双束结构在膝关节屈伸活动时交替拉紧
引自:实用骨科学(第2版).第2版.ISBN:978-7-117-22817-6.主编:
前交叉韧带的作用主要是限制胫骨前移,其次是限制膝关节内外翻和旋转。
韧带损伤通常会导致局部血肿形成,血肿形成纤维蛋白原网,吸引巨噬细胞、单核细胞和其他的炎性细胞附着。然而,前交叉韧带与众不同,它的外鞘是由菲薄而血管丰富的滑膜层组成。当滑膜鞘在损伤中撕裂时,血液在关节内扩散,不会在韧带损伤的局部形成纤维蛋白原网。
前交叉韧带的愈合对滑膜鞘完整性的依赖可以被动物实验证实。当滑膜鞘完整时,血肿可在局部形成,并形成纤维蛋白原网,激活早期炎性反应伴有细胞和生长因子的释放。除了凝血块外,滑膜也会在前交叉韧带断裂处激发瘢痕形成。最近的研究证实,滑膜鞘内的成纤维细胞可以向韧带损伤的部位移动。
另外,前交叉韧带损伤后关节内的细胞群也会发生变化。在慢性前交叉韧带损伤时,前炎性细胞的水平如白介素-1和肿瘤损伤因子-α显著升高,而抗炎蛋白如白介素受体抵抗蛋白显著减少。这种细胞群的变化会形成干扰愈合反应的环境。
1.体格检查
膝关节稳定性检查的结果是因医生的经验不同而有不同,对试验检查的熟练程度可以影响到检查结果。由于膝关节急性损伤后出现肿胀、疼痛、活动受限,前抽屉试验和轴移试验患者可能无法配合,Lachman试验也需要手法轻柔,避免疼痛导致肌肉紧张而影响检查结果。
(1)Lachman试验
患者仰卧位,被检查肢体位于检查者侧,屈膝15°~30°,一手自外侧紧握固定股骨,另一手拇指握住胫骨上端前面内侧关节缘,其余四指在膝后施加向前的提升力,这是拇指感觉胫骨相对于股骨的前移(图4)。

图4Lachman试验
引自:实用骨科学(第2版).第2版.ISBN:978-7-117-22817-6.主编:
(2)前抽屉试验
患者仰卧位,下肢屈膝90°,屈髋45°,足放在检查台上,检查者坐于足上。双手拇指放在膝前象眼处,其余四指放在膝后。向前施力牵拉胫骨,两拇指感受胫骨两侧平台向前的相对于股骨的移位。需与对侧相比较。
在进行Lachman试验和前抽屉试验检查时应注意韧带终末点的情况。韧带完整时,胫骨几乎没有移位,同时可以感觉到坚硬的终末点。前交叉韧带损伤时,胫骨移位明显,终末点有松软感。
(3)轴移试验
1)Macintosh轴移试验
仰卧,伸膝0°位。检查者以一手拇指顶在被检查肢的腓骨头后侧向前施力,其余四指放在股骨远端前外侧向后向内施力使膝关节外展,另一手持足保持胫骨内旋外展。膝关节由伸直位向屈曲活动,当屈膝至20°~40°时,胫骨外髁出现向前半脱位,继续屈曲则复位(图5)。
2)Slocum轴移试验
患者半侧卧位,被检查肢体在上,被检查足内侧紧贴检查台,膝关节伸直。检查者站于背侧,双手拇指分别顶在关节线两端后侧,示指放在关节线两端的前侧,双手同时施加外翻前推力,在25°~45°之间有脱位和复位出现为阳性(图6)。
3)Jerk轴移试验
患者仰卧,屈膝 90°位。检查者以一手拇指顶在被检查肢的腓骨头后侧向前施力,其余四指放在股骨远端前外侧向后向内施力使膝关节外展,另一手持足保持胫骨内旋外展。由屈向伸活动膝关节,当伸膝至20°~40°时,胫骨外髁出现向前半脱位,继续伸膝则复位。

图5Macintosh轴移试验
引自:实用骨科学(第2版).第2版.ISBN:978-7-117-22817-6.主编:

图6Slocum轴移试验
引自:实用骨科学(第2版).第2版.ISBN:978-7-117-22817-6.主编:
4)Loose轴移试验
仰卧,屈膝40°位。检查者以一手拇指顶在被检查肢的腓骨头后侧向前施力,其余四指放在股骨远端前外侧向后向内施力使膝关节外展,另一手持足保持胫骨内旋外展。此时胫骨外髁向前半脱位,继续伸直膝关节则胫骨复位。
(4)韧带测试仪
1988年,Daniel医生在临床研究的基础上发明设计了KT-1000韧带测试仪,这是一套便携式仪器,可以在任何膝关节屈曲角度上准确测量膝关节的前后稳定性。既可用于治疗前诊断,也可应用于手术中测试以及手术后的康复治疗中。1994年Daniel报告指出,应用最大限度手动试验项目测试仪的准确率可以达到98%。继KT-1000以后,其换代产品是KT-2000。
2.影像学检查
(1)X线片
在前交叉韧带损伤的检查诊断中,X线片检查是必要的。它应包括标准的前后位和侧位。目的在于检查是否存在撕脱骨片,如胫骨髁间棘、侧副韧带附丽点骨片等。另外可以了解骨关节情况,有无明显的骨关节退变出现。
在此还需注意一特殊意义的骨折:Segond骨折,是指胫骨平台外侧的撕脱骨折,也称外侧关节囊征,经常出现在新鲜的膝关节损伤中(图7A)。撕脱的骨片是与外侧关节囊的中央部分或外侧半月板胫骨韧带相连,骨片的形状多为椭圆形,X线表现骨片距关节水平平均为4mm(图7B)。

图7Segond骨折
A.1.腓侧副韧带;2.外侧关节囊韧带撕脱骨折。B.X线片
引自:实用骨科学(第2版).第2版.ISBN:978-7-117-22817-6.主编:
Segond骨折是一个重要的放射学征象,它出现时几乎都伴随着前十字韧带的损伤。文献报道,Segond骨折合并前交叉韧带损伤的发生率为75%~100%。北京积水潭医院回顾了2000—2005年间510例前交叉韧带损伤的病例,Segond骨折发生率为7.6%,Segond骨折合并前交叉韧带损伤的发生率为95.1%。
(2)磁共振成像
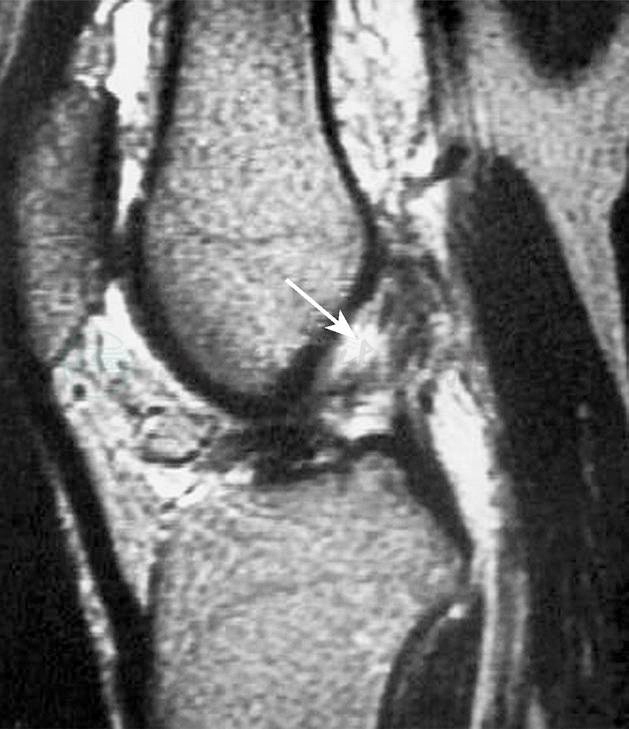
磁共振成像以其优质的图像、对人体的无创性而受到越来越多的重视。磁共振成像应在冠状面和矢状面两个平面上扫描影像,扫描厚度每层3~5mm以获得交叉韧带的低密度影像(图8)。如果影像连续性中断,则可以判断韧带损伤。磁共振成像对于前交叉韧带损伤有很高的诊断价值,它的敏感性92%~100%,特异性89%~97%。

图8磁共振成像正常前交叉韧带影像
引自:实用骨科学(第2版).第2版.ISBN:978-7-117-22817-6.主编:
前交叉韧带急性损伤最初的磁共振成像表现为T2像的髁间窝血肿,以及韧带纤维的不连续(图9)。另外,在股骨外髁和胫骨平台后方会出现骨挫伤(图10),这种影像在前交叉韧带损伤中有很高的特异性。

图9急性前交叉韧带损伤的磁共振成像表现
引自:实用骨科学(第2版).第2版.ISBN:978-7-117-22817-6.主编:

图10前交叉韧带损伤后出现的骨挫伤
引自:实用骨科学(第2版).第2版.ISBN:978-7-117-22817-6.主编:
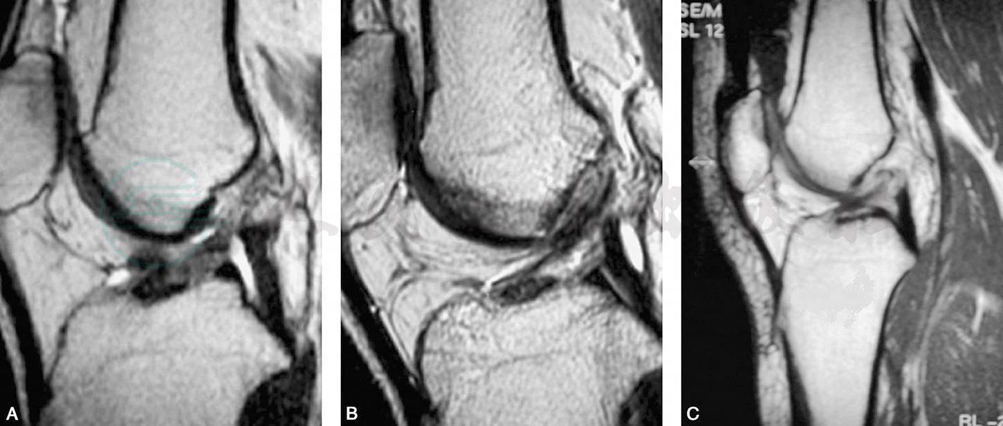
前交叉韧带慢性损伤的磁共振影像表现为三种情况:信号消失、信号不规则和信号移位。前交叉韧带损伤后韧带组织被完全吸收,磁共振成像上则表现为信号消失(图11A)。
前交叉韧带损伤后有残存的少量纤维和瘢痕组织被滑膜包绕,即为信号不规则,它包括信号密度不均、粗细不均、迂曲无张力等(图11B)。
信号移位是指前交叉韧带自股骨止点撕脱后瘢痕粘连在后交叉韧带上(图11C)。

图11前交叉韧带慢性损伤的磁共振成像
A.前交叉韧带信号消失;B.前交叉韧带信号不规则;C.前交叉韧带信号移位
引自:实用骨科学(第2版).第2版.ISBN:978-7-117-22817-6.主编:
1.保守治疗
前交叉韧带损伤的患者如果继续参加跳跃、扭转的体育运动,膝关节反复出现不稳定使得半月板和关节软骨处于高危状态。保守治疗可以用于对体育运动的要求很少的、单纯前交叉韧带损伤的老年患者,它的目的是恢复大部分的日常活动,而无法满足剧烈运动的要求。
以往的保守治疗包括休息、冰敷、石膏或支具制动等,新的保守治疗则旨在康复。康复的过程包括两步:第一步的目的是消除炎症反应、恢复关节活动度和肌肉控制力。通常使用冰敷来减轻疼痛和肿胀,关节活动度和髌骨活动可以即刻开始,同时进行腘绳肌和股四头肌等长训练以避免肌肉萎缩。一旦患者恢复正常步态即可开始第二步。第二步是强调腘绳肌和股四头肌力量的训练,进行开链和闭链的练习,从高频率低强度到低频率高强度。然后进行平衡训练和本体感觉训练。
保守治疗应使用功能性支具,它可以为前交叉韧带损伤的患者提供膝关节全方位的稳定,并允许一定范围内的活动。功能性支具的作用有二:一是提高本体感觉;二是避免再损伤。
2.手术治疗
(1)前交叉韧带胫骨附丽撕脱骨折
最易发生于胫骨棘附丽区,股骨附丽区罕见。该修补手术是目前公认的效果最为肯定的手术。关节镜下采用微创技术修复急性带附丽区骨片的前交叉韧带撕裂,相对于切开手术技术具有明显的优点。北京积水潭医院自2003年开始采用此方法治疗患者,均得到满意的效果。这种手术方法的优点是操作简单、创伤小、固定可靠。
(2)前交叉韧带重建术
适用于前交叉韧带功能失效者。手术适应证应考虑以下几种高危因素:前交叉韧带完全断裂、KT-1000测量大于健侧5mm、合并半月板或其他韧带损伤、参加高运动水平的体育运动、年轻患者。
对于前交叉韧带急性损伤手术时机的选择,有医生建议关节积液消失、关节活动度和股四头肌力恢复后即可手术。但多数医生认为前交叉韧带急性损伤后6周内行重建手术将加速膝关节纤维粘连,因此建议韧带损伤6周以后一经确诊即可行重建手术。损伤时间在3个月以上的称为陈旧损伤或慢性损伤,一经确诊即可重建韧带。
重建前交叉韧带移植物的选择包括骨-髌腱-骨、半腱肌股薄肌(即腘绳肌腱)、股四头肌腱以及同种异体肌腱。骨-髌腱-骨曾被认为是重建前交叉韧带的金标准,但近来腘绳肌腱被应用的越来越广泛。同种异体肌腱更多的应用于前交叉韧带重建术后再损伤的翻修手术中。



