英文名称 :Bowenoid papulosis
为HPV感染所致的生殖器部位上皮细胞异常增生,HPV16、18或其他高危型与本病发生有关。
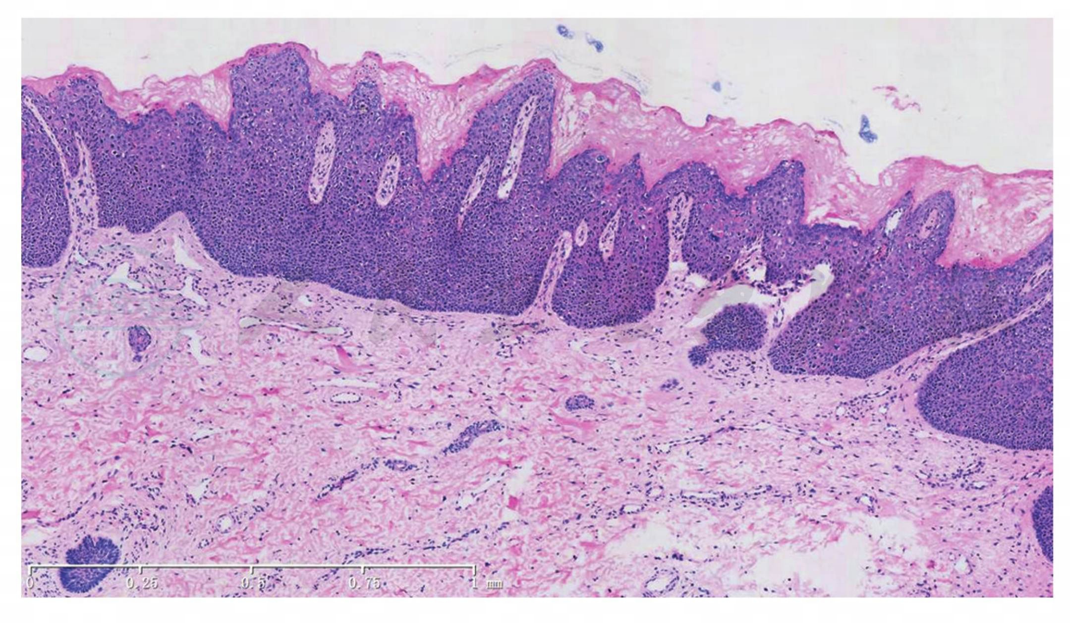
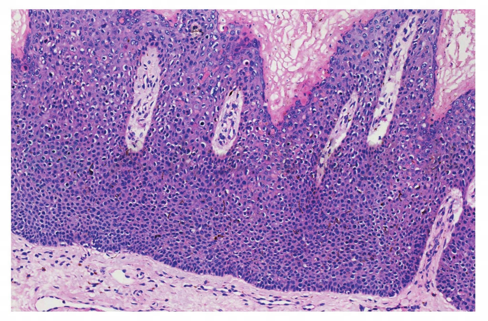
组织学呈原位癌表现:电镜可见角质细胞中病毒颗粒;癌前病变表现为没有明显界限的连续的形态学改变;角化细胞层的不正常分化;核质比例的增大、胞核大小不一和有丝分裂象数目增加,后者包括不正常有丝分裂和深染(图1,图2)。

图1鲍恩样丘疹病。表皮乳头瘤样增生,棘层增厚,细胞排列紊乱(HE染色,×100)
引自:协和皮肤临床病理学.第1版.ISBN:978-7-117-28737-1.主编:

图2鲍恩样丘疹病。棘层内细胞排列紊乱,有异型性(HE染色,×200)
引自:协和皮肤临床病理学.第1版.ISBN:978-7-117-28737-1.主编:
治疗前需通过活检排除侵袭性病变。鲍恩样丘疹病向鳞状细胞癌转化的可能性较低[2]。治疗可选择局部冷冻、激光或药物治疗。药物治疗包括咪喹莫特、5⁃氟尿嘧啶。治疗后需要随访。若发现恶变可能需手术切除。
[1]SHIM W H,PARK H J,KIM H S,et al.Bowenoid papulosis of the vulva and subsequent periungual Bowen’s disease induced by the same mucosal HPVs[J].Ann Dermatol,2011,23(4):493-496.
[2]SHABBIR M,MINHAS S,MUNEER A.Diagnosis and management of premalignant penile lesions[J].Ther Adv Urol,2011,3(3):151-158.



