英文名称 :calculus of the urethra
在所有泌尿系结石中,尿道结石所占的比重约为0.3%。但因其在发展中国家,尤其在中东及远东的发病率较高,因而在临床上具有一定的关注价值。通常尿道结石可以分为原发性和继发性结石两类。原发性结石多在尿道已有病变的基础上发生,如慢性尿道炎症、尿道狭窄、尿道憩室、尿道内毛发球、乃至女性尿道悬吊术后吊带腐蚀。继发性结石相对更为常见,多是膀胱结石或上尿路结石排出过程中经过尿道受阻。
尿道结石分为原发性和继发性两类,其病因如下。①原发性尿道结石:指开始就在尿道内生成的结石,如在患有尿道狭窄、尿道憩室且长期合并感染时,也可在尿道形成结石;②继发性尿道结石:指结石先在尿道上方的泌尿系统中形成后排入尿道并停留在尿道内,多停留在尿道生理膨大部位及狭窄部的近侧,故尿道结石多见于尿道前列腺部、球部、阴茎部、舟状窝及尿道外口处。
在尿道结石组成成分中,草酸钙结石所占比例最高(86%),其次是磷酸铵镁结石(6%)以及尿酸结石(2%)。尿道结石好发于男性,其发生的主要部位包括前列腺尿道、球部尿道、阴茎段尿道以及舟状窝。现有大样本的报道中,后尿道结石占41.2%、阴茎段尿道结石占28.4%、球部尿道结石占18.8%、舟状窝结石占11.3%。
实验室检查中,尿常规检查具有诊断价值。因结石嵌顿与尿道黏膜摩擦,因而患者尿液中红细胞计数可明显增高,合并感染时亦可有相应尿中白细胞升高。当患者有明显尿痛、尿频以及排尿困难症状,而尿常规检查仅提示红细胞明显升高,而白细胞正常时应高度怀疑尿道结石可能。
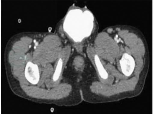
鉴于尿道结石大部分为草酸钙结石,因而传统X线检查可发现大部分结石。由于传统KUB平片往往无法观察到前尿道位置,建议对怀疑尿道结石的患者行盆腔正位X线检查(图1)。对于憩室或尿道狭窄合并尿道结石患者,逆行尿道造影不仅可以发现结石,更可提示尿道腔内及尿道周围组织的病变情况。超声可以明显发现前尿道结石,其声像图表现为尿道腔内强回声团块伴声影,当结石较小时可见结石随液体流动而滚动(图2)。后尿道结石,尤其是前列腺部结石往往在超声影像中误诊为前列腺钙化。这可能与前列腺钙化过于靠近尿道、患者肥胖、超声仪器分辨率低、检查者经验不足等因素有关。如条件许可,建议对怀疑后尿道结石患者行盆腔CT检查,在CT影像学多表现为尿道内高密度影(图3)。但仍注意需与前列腺钙化进行鉴别。盆腔MRI检查同样可发现结石,但MRI检查更大程度上有助于显示结石周围尿道管腔及尿道周围组织的病变情况。因其费用较高,操作时间较长,故而不作为尿道结石诊断的首选方法。

图1尿道结石盆腔正位X线像

图2超声尿道结石影像

图3盆腔CT平扫尿道结石影像
尿道结石的治疗应根据结石的位置、大小以及周围尿道组织病变情况选择合适的方案进行治疗。
对于舟状窝结石可用钳子或镊子将结石夹出。合并有外口狭窄的患者,需要行外口切开取石。术后为防止可能存在的尿道狭窄,建议留置1~2周导尿管,尤其对于行外口切开的患者,留置导尿这一治疗步骤较为重要。
对于位于阴茎段的较小结石,可自行排出或注入石蜡油后用手推向尿道外口,再用钳子或镊子将结石夹出。但该方法仅限于没有其他因素引起尿道梗阻的患者。对于阴茎段结石嵌顿的患者,虽然也有报道采用自尿道内注入2%利多卡因凝胶促进结石排出的报道(Milking),但后续研究显示,该类方法的实际结石排出率仅在6.7%~13%之间。国内外不少报道推荐采用内镜碎石法进行前尿道碎石,并获得良好的效果。有学者建议采用输尿管镜替代尿道镜进行该项操作,以提供充分的操作空间。同样在碎石工具中现有临床报道认为相对于弹道或液电碎石,利用钬激光碎石拥有更好的疗效和更低的并发症。对于阴茎段嵌顿的较大结石以及合并有憩室和狭窄等相关情况时,需考虑尿道切开取石。对于无明显狭窄或憩室的较大结石,在切开取石后可考虑行尿道切口Ⅰ期关闭,手术过程中应采用尿道两层以上缝合法,术后较长时间留置导尿,保证引流通畅,并积极预防相关切口感染可能,以减少术后尿道皮肤瘘的发生。同时也可采用Ⅰ期切开取石,切口尿道黏膜敞开,Ⅱ期尿道重建的方案,以提高手术成功率,减少并发症发生。当结石合并尿道狭窄时,因结石往往嵌顿时间较长且合并明显感染,建议行Ⅰ期切开取石,切口尿道黏膜敞开,Ⅱ期尿道重建的方案。对于憩室内结石,若术前评估无明显感染时,可在切开取石同时切除憩室并行尿道修复重建。但在关闭切口过程中,必须保证缝合切缘组织新鲜,血供良好。缝合时需要遵循多层且彼此错开的原则。术后长时间且充分导尿管或支架引流亦不可或缺。如憩室打开后见明显脓性或豆渣物沉积,建议取石后,切除憩室,敞开该处尿道黏膜行Ⅱ期尿道修复重建。
对于球部及后尿道结石,一般多采用将结石推入膀胱后,按膀胱结石进行腔内碎石处理。在将结石推入膀胱这一过程中,临床上多采用探杆进行盲推,但该操作方法与操作医师临床经验有一定相关性。对于初学者有损伤尿道以及形成尿道假道的可能。有学者推荐在内镜直视下通过灌注冲水的方法将结石推入膀胱。同样也有推荐采用加压注水尿管回推技术。该技术原理可以理解为:先人工建立尿道结石和结石稍远端尿道之间的密闭腔,向扩张范围有限的密闭腔内注入一定量水后,密闭腔内产生较大压强,此压强作用于结石,产生使结石向膀胱端尿道移动的压力。同时水压作用于尿道使尿道扩张,尿道扩张则对被嵌顿于尿道的结石阻力减小。(图4)当结石推入膀胱后,多采用内镜合并激光碎石的方案进行治疗。如无条件做微创,可以安置尿管转诊上级医院治疗,当然特殊情况下考虑膀胱镜直视下,经皮耻骨上经膀胱小切口直接取石术,亦取得不错的疗效。除此之外,国内郭应禄教授推荐采用骑跨半坐位体位行体外冲击波治疗后尿道结石。由于后尿道结石距离会阴较近,采用骑跨半坐位体位时,会阴皮肤直接贴于水囊,易于定位,且冲击波无任何遮挡,因而碎石效果令人满意。可作为一种无损伤的尿道结石的治疗方案之一(图5)。

图4
A.加压回推术所需器材;B.加压回推技术解剖示意图;C.加压回推技术操作示意图

图5体外冲击波碎石术中骑跨半坐位示意图
F1.第一焦点;F2.结石
根据结石成分、代谢状态及流行病学因素,坚持长期预防,对减少或延迟结石复发十分重要。
1.饮食
大量饮水以增加尿量,稀释尿液,减少晶体沉积。成人保持每日尿量在2000ml以上,尤其是睡前及半夜饮水,效果更好。饮食以清淡易消化饮食为主,可根据结石成分调整饮食种类如含钙结石者宜食用含纤维丰富的食物;含草酸量高,避免大量摄入动物蛋白、精制糖和动物脂肪等;尿酸结石者不宜食用动物内脏、豆制品等。
2.活动与休息
病情允许的情况下适当活动,注意劳逸结合。
3.解除局部因素
尽早解除尿路梗阻、感染、异物等因素,可从根本上避免结石形成。
4.药物成分
根据结石成分,应用药物降低有害成分、碱化或酸化尿液,预防结石复发。鼓励长期卧床者适当进行功能锻炼,防止骨脱钙,减少尿钙含量。
5.定期复查
术后1个月门诊随访。以后3个月至半年复查排泄性尿路造影。



