英文名称 :double-chambered right ventricle
中文别名 :右心室异常肌束
双腔右心室(double-chambered right ventricle,DCRV)是由一条或数条异常肌束跨过右心室腔,将右心室分隔为流入部分的高压腔和流出部分的低压腔,并引起血流梗阻的一种先天性心脏病。也有人称之为右心室异常肌束(anomalous muscle bands of right ventricle),但右心室异常肌束并不一定形成典型的双腔右心室。双腔右心室多伴有其他先天性心脏畸形。本病占先天性心脏病的1%~2.6%,男女比例为1.4∶1。
Eakin(1933)报道了首例双腔右心室。Blount(1959)报道了3例低温下右心室漏斗部狭窄疏通术,其中2例为典型的双腔右心室改变。Tsifutis(1961)首次准确描述此病,并称之为双腔右心室,他报道了7例,其中3例在体外循环下手术成功。Lucas(1962)报道了7例手术的经验和教训。同年,Hartmainn报道9例,4例手术成功,并指出该病常与法洛四联症、室间隔缺损混淆。右心导管和右心室造影可以确诊。Matina(1983)报道14例双腔右心室患者的超声特征,认为二维超声检查本病无创、简单、可靠。
动脉导管起源点通常位于肺动脉分叉处,靠近左肺动脉侧,然后向后下方走行,在左锁骨下动脉起源位置上方连接到降主动脉;偶尔也会连接到左锁骨下动脉的根部。其上缘与降主动脉交成锐角,下缘形成钝角,长度一般为5~10mm,直径由数毫米至1~2cm。其主动脉端开口往往大于肺动脉端开口。导管的位置可多变,从解剖形状上可分为:①管状:外形如圆管或圆柱,最为常见;②漏斗状:导管的主动脉侧比较粗大,肺动脉侧较狭细,呈漏斗状,也较多见;③窗状:管腔较粗大但缺乏长度,似主-肺动脉窗,较少见;④哑铃状:导管中段细,主、肺动脉两侧扩大,外形像哑铃,很少见;⑤动脉瘤状:导管呈瘤状膨大,壁薄而脆。
图1 动脉导管未闭和主-肺动脉隔缺损示意图
注:①示介于降主动脉与左肺动脉基部之间的动脉导管;②示介于升主动脉与肺总动脉之间的主-肺动脉隔缺损。
动脉导管未闭的病理生理改变取决于导管的粗细和主、肺动脉压力阶差。出生后由于肺血管阻力和肺动脉压力下降,体循环阻力则因脐动脉的结扎而上升,因此未闭合的动脉导管血流发生逆转,由压力高的主动脉流向压力较低的肺动脉,即所谓左向右分流。由于体循环压力大于肺循环压力,在心脏的收缩期和舒张期持续存在左向右分流,临床上可听到连续性杂音。随着病程的进展,肺动脉压升高至降主动脉压力时,则血液分流仅在收缩期,临床上仅能听及收缩期杂音。晚期患者可发生肺小动脉管壁增厚、硬化,管腔变细,肺血管阻力增加,左向右分流逐渐消失,甚至逆转,临床上出现发绀,收缩期杂音减弱,甚至消失,称为艾森曼格(Eisenmenger)综合征。细小的动脉导管未闭产生比较小的左向右分流,即使是同样大小的缺损,PDA所造成的肺循环超负荷要比同样大小的VSD和ASD更重。粗大的动脉导管未闭产生大量的左向右分流,容易出现充血性心力衰竭。长期的血流冲击,可使导管壁变薄、变脆,以至发生动脉瘤样扩张或钙化,并容易招致感染,发生导管内膜炎。近端肺动脉可因为压力增高而扩张。
1.心电图
心电图检查,轻者可以正常,分流量大时出现电轴左偏、左心室高电压或左心室肥厚。肺动脉高压者则示左、右心室肥大,晚期以右心室肥大为主。
2.超声心电图
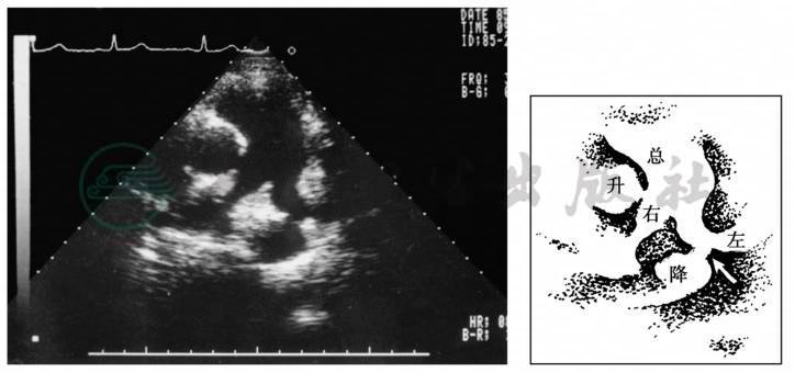
超声心动图是首选的诊断方法,可以显示未闭的动脉导管,并能测量长度、内径和分流量,可以显示各房、室扩大以及发现其他心血管畸形,可以估测肺动脉压力(图2)。
图2 超声显像所示动脉导管未闭情况
注:↑=动脉导管;总=肺总动脉;左=左肺动脉;右=右肺动脉;升=升主动脉;降=降主动脉。
3.胸部X射线
胸部X射线检查,可示心脏影增大,早期为左心室增大,晚期右心室亦增大。升主动脉和主动脉弓阴影增宽。肺门血管影增粗,搏动增强,肺动脉干轻至重度增宽。肺野纹理增粗(图3)。
图3 动脉导管未闭病人胸部X线摄片
注:(1)后前位胸片示两肺充血,心影扩大,尤以左心室增大为甚,主动脉结增宽,肺总动脉扩大膨出;(2)左前斜位胸片示左心室明显增大,左心房、右心室也增大。
后前位胸片示两肺充血,心影扩大,尤以左心室增大为甚,主动脉结增宽,肺总动脉扩大膨出;左前斜位胸片示左心室明显增大,左心房、右心室也增大心导管检查适用于诊断不明确或者病情严重、需要测量肺动脉压力、计算肺血管阻力等。肺动脉血氧含量如高于右心室0.5Vol%以上,提示肺动脉有左向右分流。如心导管通过动脉导管进入降主动脉至横膈水平,更能明确诊断(图4)。升主动脉逆行造影可以显示主动脉峡部和动脉导管的形态(图5)。
图4 动脉导管未闭
注:右心导管检查,心导管从右上肢静脉插入,经上腔静脉、右心房、右心室、肺动脉及动脉导管,最后进入降主动脉。
图5 经股动脉插管作主动脉造影
注:图示对比剂自主动脉经粗大的动脉导管(↑)进入肺动脉(PA)。
1.药物治疗
主要治疗动脉导管未闭并发的呼吸道感染、心力衰竭、心内膜炎等。心力衰竭的治疗主要是强心药物的使用、控制入液量和加强利尿,多数患者心功能可获得改善。对于早产婴儿,PDA是造成显著的血流动力学损害的原因;此类患儿可试行药物闭合导管,即采用非甾体抗炎药吲哚美辛阻止前列腺素合成,促使导管收缩闭合。一般首次剂量为0.1~0.2mg/kg,静脉滴注或口服均可,隔24小时再给药1次,共3次。吲哚美辛的副作用比较大,主要对肾脏、肝脏和血小板功能的影响。
2.介入性治疗
1966年Porstman成功地利用心导管经动脉将聚乙烯海绵塞子填塞未闭的动脉导管,开创了介入性疗法。1979年Rashkind提倡用右心导管推送两侧伞形塞子填塞导管。各种装置不断获得改进,并得到推广(图6)。介入法不需要开胸,简便安全,患者恢复迅速,住院时间短,已经逐渐取代手术疗法。并发症有栓子脱落、股动脉出血和血栓形成等。
图6 经动、静脉插管行动静脉导管栓闭术
注:①动脉导管;②肺动脉;③降主动脉;④下腔静脉;⑤海绵栓。
3.手术治疗
所有诊断明确的婴幼儿或成人,无论有无症状,如无禁忌证均可考虑手术。早产儿可先试用药物闭合,如无效改用手术。伴有心力衰竭和呼吸衰竭,经内科和药物疗法无效,应行手术。足月患儿如出现心力衰竭或心脏扩大,应及早手术。合并肺动脉高压者,只要是以左向右分流为主,应予手术,术中行肺动脉漂浮导管计算肺血管阻力。感染性心内膜炎者,给予抗生素治疗4~6个月再进行手术,对于感染不能控制者应争取手术。
严重肺动脉高压,以右向左分流为主,临床上出现发绀,静止状态血氧饱和度低于90%,右心导管检查肺血管阻力大于10 Wood单位,则不宜手术。
动脉导管未闭的手术死亡率可在1%以下。早产儿、紧急手术和高龄患者的死亡率较高,主要死亡原因包括呼吸衰竭和大出血。导管单纯结扎和钳闭法有再通的可能,其再通率一般在1%以上。导管闭合的远期效果,视术前有否肺血管继发性改变及其程度。



