心脏破裂指心肌组织的连续性中断,是心脏损伤中最为严重的情况,多由心肌梗死急性期、开放性或闭合性胸部外伤、外科手术、介入等原因所致,包括心室游离壁破裂、室间隔穿孔、乳头肌断裂、心房破裂及心包破裂等。心脏破裂可发生于损伤的同时,也可发生于损伤后1~2周内,根据病程和临床表现分为急性破裂和亚急性破裂,可导致低血压、休克、心包积血以及进行性加重的急性心力衰竭。心脏破裂是急性心肌梗死的一种致命性机械并发症,多位于梗死心肌与正常心肌交界处,与心室收缩时室壁受力不均衡相关。外伤所致心脏破裂的病理改变取决于损伤的机制、部位和破口大小,贯穿物的性质、大小、速度以及心包破裂的程度。
1.二维超声切面
破裂处心肌连续性中断,破口为孔状、线状或不规则迂曲通道,边缘心肌多不规则,如为心肌梗死所致可出现相应节段室壁变薄、运动异常,心包腔内可见不同程度的液性暗区(均匀或不均匀回声),甚至引起心脏压塞。游离壁破裂时可因周围心包粘连及血栓机化形成假性室壁瘤,即心腔外的囊状无回声区,通过较窄小的瘤颈与心腔相连,囊壁常不规则,囊内可有血栓形成。乳头肌断裂时,心腔内可见飘动的乳头肌断端及腱索回声,瓣叶呈现连枷样运动(图1~图4)。

图1心肌梗死后左心室游离壁破裂二维切面图像及彩色多普勒血流图像
心尖四腔心切面(左图)显示左心室心尖部破裂(箭头示),彩色多普勒血流图像(右图)显示血流信号自该处进入心包腔(箭头示),心包腔内可见大量液性暗区(星号示)。LV.左心室。
引自:超声危急值管理手册.第1版.ISBN:978-7-117-33355-9.主编:

图2心肌梗死后左心室游离壁破裂合并假性室壁瘤形成二维切面图像
引自:超声危急值管理手册.第1版.ISBN:978-7-117-33355-9.主编:
心尖四腔心切面显示左心室侧壁破裂形成巨大假性室壁瘤(星号示),其内可见附壁血栓(三角示)。LA.左心房;LV.左心室。


图3心肌梗死后室间隔穿孔二维切面图像
A.胸骨旁四腔切面显示室间隔心尖部连续中断(箭头示);B.二尖瓣短轴切面显示后间隔基底部连续中断(箭头示)。LA.左心房;LV.左心室;RV.右心室。
引自:超声危急值管理手册.第1版.ISBN:978-7-117-33355-9.主编:

图4心肌梗死乳头肌断裂二维切面图像
心尖四腔心切面显示二尖瓣前外乳头肌部分断裂(虚箭头示)及乳头肌断端(实箭头示)。LA.左心房;LV.左心室。
引自:超声危急值管理手册.第1版.ISBN:978-7-117-33355-9.主编:
2.彩色多普勒血流图像
相应切面可显示由心脏破裂处向心包腔内喷射的五彩镶嵌样血流信号,若心包腔内压力较高,彩色血流不明显。假性室壁瘤形成时,瘤体内可见缓慢、紊乱的血流信号,并于破口处探及双向往返血流信号。室间隔穿孔时,室水平探及以收缩期为主左向右分流信号。受累瓣膜可出现不同程度反流信号(图5~图7)。


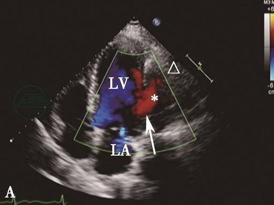
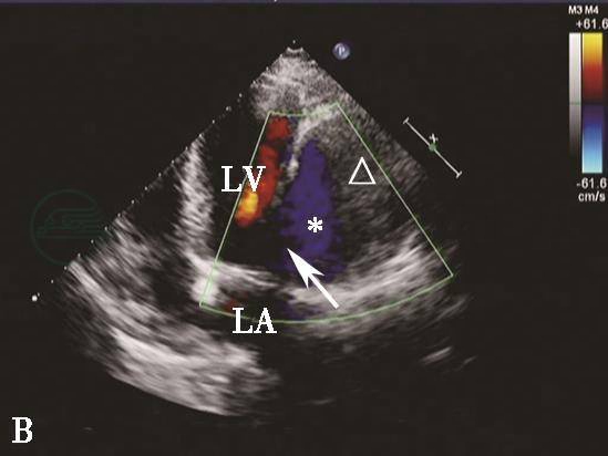
图5心肌梗死后左心室游离壁破裂合并假性室壁瘤形成彩色多普勒血流图像
A.彩色多普勒血流图像显示收缩期血流通过左心室侧壁破口(箭头示)进入假性室壁瘤(星号示);B.舒张期血流自假性室壁瘤返回左心室,瘤体内可见附壁血栓(三角示)。LA.左心房;LV.左心室。
引自:超声危急值管理手册.第1版.ISBN:978-7-117-33355-9.主编:


图6心肌梗死后室间隔穿孔彩色多普勒血流图像
A.彩色多普勒血流图像显示胸骨旁非标准切面室间隔心尖部穿孔处(箭头示)左向右分流信号;B.二尖瓣短轴切面后间隔基底部穿孔处(箭头示)左向右分流信号。LA.左心房;LV.左心室;RV.右心室。
引自:超声危急值管理手册.第1版.ISBN:978-7-117-33355-9.主编:

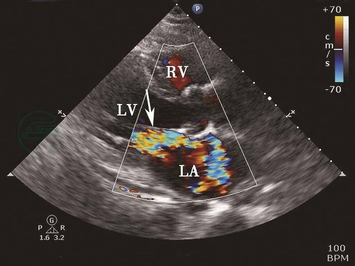
图7心肌梗死二尖瓣乳头肌断裂彩色多普勒血流图像
彩色多普勒血流图像显示二尖瓣乳头肌断裂导致重度偏心性反流(箭头示)。LA.左心房;LV.左心室;RV.右心室。
引自:超声危急值管理手册.第1版.ISBN:978-7-117-33355-9.主编:
3.频谱多普勒图像
游离壁破裂时,破口处心包腔内可探及收缩期血流频谱。假性室壁瘤形成时,破口处可探及双期、双向分流频谱。室间隔穿孔时,连续波多普勒探及室水平收缩期为主的高速左向右分流频谱(图8、图9)。

图8心肌梗死后左心室游离壁破裂破口处频谱多普勒声像图
连续波频谱多普勒显示收缩期左心室心尖部破口破入心包腔内的高速血流信号。
引自:超声危急值管理手册.第1版.ISBN:978-7-117-33355-9.主编:

图9心肌梗死后室间隔穿孔处频谱多普勒图像
连续波频谱多普勒显示收缩期室间隔穿孔处高速左向右分流信号。
引自:超声危急值管理手册.第1版.ISBN:978-7-117-33355-9.主编:
4.心腔声学造影
有助于明确破裂部位、大小、形态以及心内分流方向、程度等。超声增强剂直接外渗到心包腔内或心腔外无回声区可提示心脏破裂,室间隔穿孔时右心造影可见右心室内负性造影区(图10)。


图10外伤室壁破裂假性室壁瘤形成灰阶及超声造影二维图像
A.心尖四腔心切面显示左房室环外侧囊状无回声区(星号示);B.超声造影显示左心室内超声增强剂经细小破口(箭头示)进入无回声区(星号示),结合患者外伤史,诊断为假性室壁瘤。LA.左心房;LV.左心室。
引自:超声危急值管理手册.第1版.ISBN:978-7-117-33355-9.主编:



