急性胸部外伤比较常见,车祸、挤压伤、刀伤、火器伤及爆炸伤均可引起。由于暴力作用的情况不同,所引起胸部损伤的部位和程度也不同。在胸部钝挫伤中,肺部损伤发生率占30%~70%。
创伤性肺损伤的发生机制:肺损伤的发病机制尚不完全清楚,但普遍认为由于强烈的高压波作用所致,当强大的暴力作用于胸壁,胸廓受压或挫伤,使胸腔容积缩小,胸内压力增高而压迫肺脏,引起肺水肿及出血,导致肺实质损伤,以及小支气管受阻,肺泡毛细血管通透性改变,使肺组织缺氧,加重创伤性肺损伤的症状。
创伤性肺损伤的病理改变是以肺不张、肺泡内出血、肺间质水肿为特点,病理变化在伤后12~24小时呈进行性发展。肺挫伤往往合并其他损伤,如胸壁骨折、连枷胸、血胸、气胸及心脏和心包损伤。
(一)实验室检查
动脉血气分析可有低氧血症,在胸部X线片尚未能显示之前具有参考价值。
(二)影像学表现
1.肺挫伤
肺挫伤的主要CT表现为创伤应激引起肺间质和肺实质内的液体渗出,可分肺间质型和实变型。多在创伤后1~24小时出现局限性或弥漫性渗出肺泡性和间质肺水肿,以及大片血性渗出的肺实变影。早期CT表现为局部肺纹理增浓,云絮状及弥漫性磨玻璃状密度影,肺内或胸膜下区的无实性成分的或边界模糊的半透明磨玻璃状密度影为其特征性表现,其内尚可见血管和支气管影(图1)。病变可以是单侧、双侧受累,或出现多发性病灶。随局部肺组织内出血性渗出的增多,则可演变为有实性成分的磨玻璃密度影,表现为磨玻璃影内有斑片状影,或表现为大片密度增高实变影,内可见充气支气管影,或形成局部实变的肺血肿。本组实变病变主要分布于下肺基底部,并伴有不同程度的胸腔积液和肋骨骨折。

图1肺挫伤
女性,64岁,胸部CT轴位肺窗(A、B)显示两肺野内多发斑片状高密度影,边缘模糊,右侧胸膜局限性增厚
引自:中华影像医学·呼吸系统卷.第3版.ISBN:978-7-117-28903-0.主编:
2.肺撕裂伤
肺撕裂伤是指肺实质有不同程度的破裂。肺撕裂可发生于深部肺实质或胸膜边缘区,由于漏出气体积聚在破裂腔隙内形成肺含气囊腔。基本病变表现分为四个方面:①肺气囊腔;②肺液气囊腔;③肺血肿;④病灶周围磨玻璃样影。
CT表现主要为肺实质内或胸膜下区及脊柱旁大小不一的圆形或类椭圆形透亮的含气肺囊腔,囊壁多光整(图2)。急性期肺气囊腔的周围常伴有大片状肺挫伤的磨玻璃影(图3),在大片状磨玻璃影内呈圆形或椭圆形透亮气囊腔,即“磨玻璃气囊征”(图4)。当血性液体完全充填气囊时则CT表现为结节状或类椭圆形高密度实性肿块的肺血肿(图5)。周围常伴有肺挫伤边缘模糊的磨玻璃影,则表现为磨玻璃影内类圆形气-液平的囊腔结节状或类楕圆形实性肿块影,即“磨玻璃气-液平囊腔征”(图6)和磨玻璃结节征(图5)。

图2肺裂伤
男性,38岁,胸部CT平扫肺窗(A、B)显示双肺野内见多发斑片状高密度影,左肺下叶为著。左侧胸腔内见局限性无肺纹理透亮区(箭)。同层纵隔窗(C、D)显示双侧胸腔积液,双侧胸膜增厚及心包积液。注:环形致密影为支架管
引自:中华影像医学·呼吸系统卷.第3版.ISBN:978-7-117-28903-0.主编:

(A)示双下肺膨胀不全,左侧气胸;治疗后1周复查(B)示双下肺实变影,左侧少许气胸。为治疗后2周复查

(C)示右下肺胸膜下残留少许斑片状及条索状高密度影
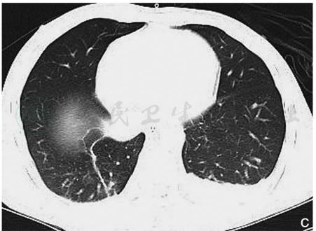
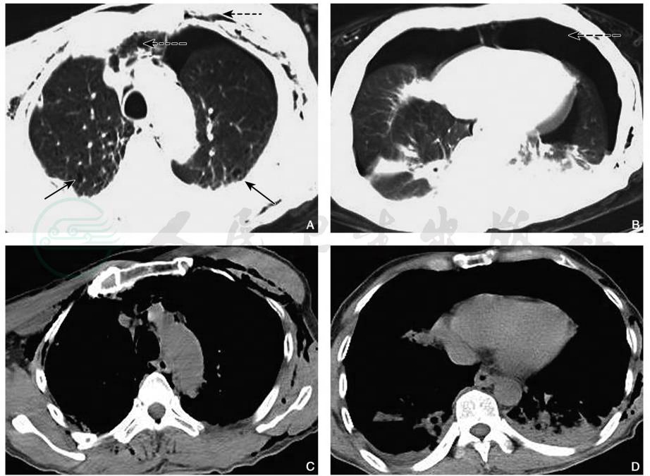
图3肺挫裂伤
男性,29岁,车祸后2小时CT平扫肺窗
引自:中华影像医学·呼吸系统卷.第3版.ISBN:978-7-117-28903-0.主编:

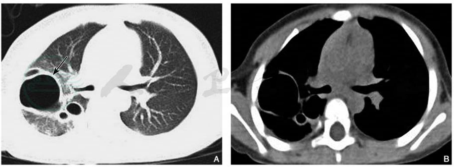
图4肺挫裂伤(磨玻璃气囊征)
男性,2岁,胸部CT平扫肺窗(A)显示右肺上叶斑片状高密度影及气体密度影,壁较厚,内可见多处分隔(箭);同层纵隔窗(B)显示右肺上叶含气囊腔的壁光滑,厚薄均匀
引自:中华影像医学·呼吸系统卷.第3版.ISBN:978-7-117-28903-0.主编:

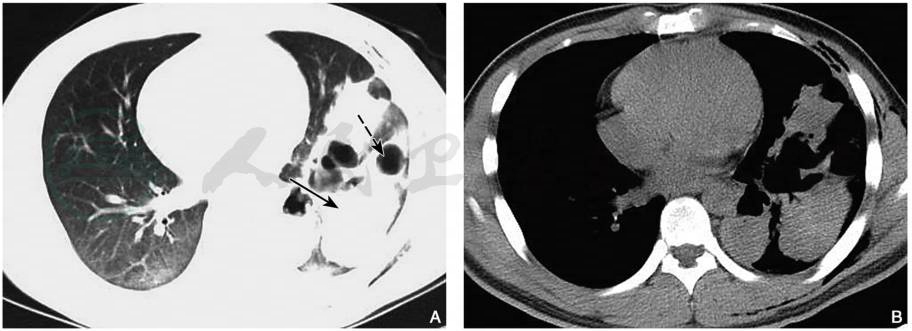
图5肺挫裂伤(磨玻璃结节征)
男性,23岁,胸部CT平扫肺窗(A)显示右肺下叶片状磨玻璃样高密度影,内见结节状高密度影(箭),边界清晰,同层纵隔窗(B)显示右肺下叶结节密度均匀,轮廓光滑
引自:中华影像医学·呼吸系统卷.第3版.ISBN:978-7-117-28903-0.主编:

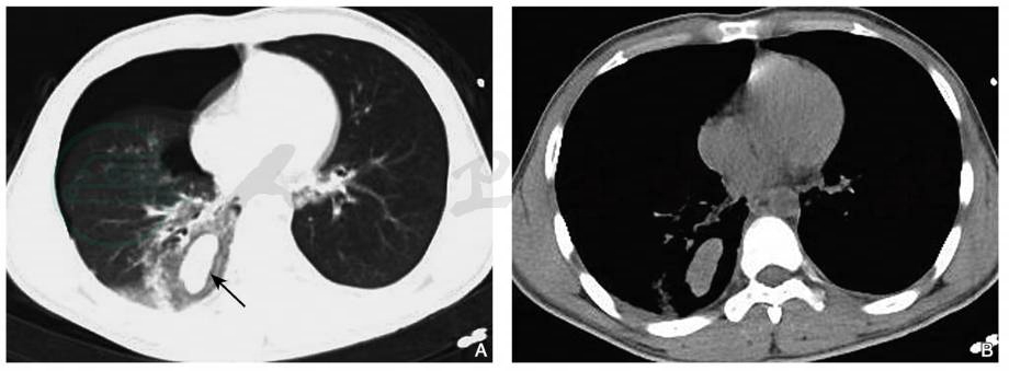
图6肺挫裂伤(“磨玻璃气-液平囊腔征”)
男性,24岁,胸部CT平扫肺窗显示右肺下叶片状磨玻璃样高密度影,内见多发结节状高密度影,部分内见“气-液平面”(箭)
引自:中华影像医学·呼吸系统卷.第3版.ISBN:978-7-117-28903-0.主编:
3.复合性挫裂伤
复合性挫裂伤是指既有肺撕裂的CT表现,又合并有轻重不一的胸腔积液、气胸、血气胸、纵隔气肿或皮下气肿,及相邻肋骨、胸骨或其他胸背部骨折的多发性损伤表现(图7、图8)。

图7双肺复合性挫裂伤
男性,56岁,胸部CT平扫肺窗(A、B)显示双肺膨胀不良,双肺野内见片状及絮状高密度影,边界模糊;双肺内另见囊状透亮影(实箭),胸壁、胸腔、纵隔内见气体密度影(虚箭),纵隔窗(C、D)显示双侧胸腔积液
引自:中华影像医学·呼吸系统卷.第3版.ISBN:978-7-117-28903-0.主编:

图8肺血肿及肺气囊
男性,23岁,胸部CT平扫肺窗(A)显示左肺下叶团块状高密度影(实箭),周围见挫伤肺组织,同时可见外伤性肺气囊(虚箭);同层纵隔窗(B)显示左肺下叶软组织及稍高密度影
引自:中华影像医学·呼吸系统卷.第3版.ISBN:978-7-117-28903-0.主编:



