概述
卵巢黏液性肿瘤(mucinous tumor of ovary)在卵巢上皮性肿瘤中仅次于浆液性肿瘤,占卵巢上皮性肿瘤的10%~20%,良性较多,占77%~87%,交界性约10%,其余为恶性。以往依据组织学表现,分为宫颈内膜样型和肠型黏液上皮,现已将前者归入浆液黏液性肿瘤中,只保留肠型为黏液性肿瘤。约5%的黏液性肿瘤中混合有畸胎瘤,部分病例可合并阑尾黏液囊肿和腹膜假黏液瘤。良性及交界性几乎都是囊性,典型病变为多房性;黏液性癌可能以囊性为主,也可能以实性为主。其病变特点常有良性、交界性及恶性同时存在一个肿瘤内。组织学上良性及交界性又分为囊腺瘤、腺纤维瘤和囊腺纤维瘤,恶性又分为腺癌、囊腺癌。
病理学
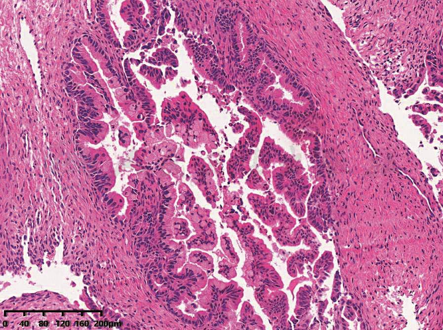
较交界性浆液性肿瘤复杂,为多房性。可见到囊壁增厚区或出现乳头,而大多数乳头细小,也可呈息肉样。镜下特点:①上皮复层化达2~3层,但不超过3层,伴有乳头和上皮簇形成;②细胞轻度、中度非典型形,黏液分泌减少,可见杯状细胞;③核分裂象每10个高倍镜视野内不超过5个;④肿瘤细胞不侵及间质(图1)。

图1 卵巢交界性黏液性肿瘤
此内容为收费内容
治疗
以手术为主,需根据临床分期来决定手术范围,应尽量切除一切肉眼所见的肿瘤。注意有无合并腹膜黏液瘤或假黏液瘤,最好同时切除阑尾,术后辅以化疗。
来源
中华妇产科学,第4版,978-7-117-34905-5



