病毒性脑膜脑炎是由病毒感染所致的脑膜、脑实质炎症。
1.腰椎穿刺脑脊液检查
压力增高;白细胞计数≥5×106/L,单核细胞为主;糖和蛋白正常(表1)。PCR检测发现脑脊液病毒DNA以及病毒抗原或抗体。病毒基因组测序检测发现病毒基因组序列信息。
表1 脑膜炎的脑脊液改变

2.神经影像学检查
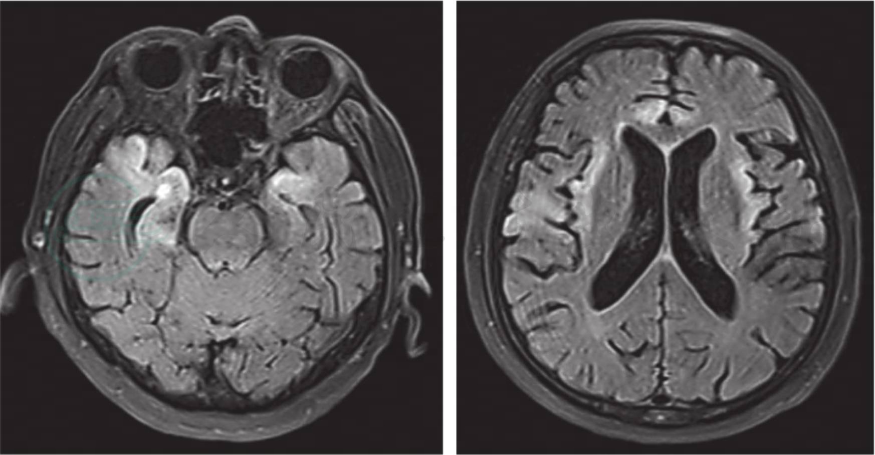
头部MRI显示以皮层为主的脑实质病变(图1)。

图1 单纯疱疹病毒1型脑炎
头部MRI显示双侧额叶、颞叶、岛叶皮层异常信号。
3.脑电图检查
显示弥漫性慢波,轻者θ波为主,重者高波幅δ波,或痫性放电(图2)。

A

B
图2 病毒性脑膜脑炎脑电图
A.脑电图显示慢波增多模式;B.脑电图显示痫性放电。
4.脑组织病理检查
脑组织细胞核内包涵体,或原位杂交发现病毒核酸。
1.监测
重点监测脑脊液改变、颅内压变化、长程脑电图(特别是非惊厥性癫痫持续状态)、药物不良反应(肝毒性)。
2.抗病毒治疗
(1)单纯疱疹病毒性脑炎
阿昔洛韦静脉滴注(10mg/kg,每8小时一次)14日,免疫异常患者延至>21日。停用抗病毒药物条件:治疗结束后,脑脊液单纯疱疹病毒(herpes simplex virus,HSV) PCR检测二次阴性后24~48小时,头部MRI无单纯疱疹病毒性脑炎典型改变;脑脊液HSV PCR检测于症状改善72小时后一次阴性,无意识障碍,头部MRI正常,脑脊液白细胞计数<5×106/L。
(2)带状疱疹病毒性脑炎
阿昔洛韦静脉滴注(10~12.5mg/kg,每8小时一次)7~14日。
(3)巨细胞病毒性脑炎
更昔洛韦静脉滴注(5mg/kg,每12小时1次)或膦甲酸钠静脉滴注(40mg/kg,每8~12小时一次),或二者联合治疗。
(4)人类疱疹病毒6
更昔洛韦或膦甲酸钠。
(5)流感病毒
奥司他韦(达菲)口服(75mg,每 8小时一次)。
(6)麻疹病毒
利巴韦林静脉滴注(0.5g,每12小时一次)。
3.糖皮质激素
伴有严重脑水肿时,地塞米松或甲泼尼龙短期(3~5日)静脉滴注。脑炎合并血管炎、EB病毒性脑炎(不推荐阿昔洛韦)可用糖皮质激素治疗。
4.丙种球蛋白
丙种球蛋白静脉滴注[0.4g/(kg·d),连续5日]用于肠道病毒性脑炎和乙型脑炎。
5.生命支持治疗
降颅内压、抗癫痫、控制精神症状、控制阵发性交感神经过度兴奋、营养支持和维持水电解质平衡等生命支持。
诊治流程见图3。

图3 病毒性脑膜脑炎诊治流程
PCR.聚合酶链反应。



