基本信息
英文名称 :prepapillary membrane
中文别名 :视乳头前膜
作者
杨薇;童绎;陆方;严密
英文别名
prepapillary membrane
概述
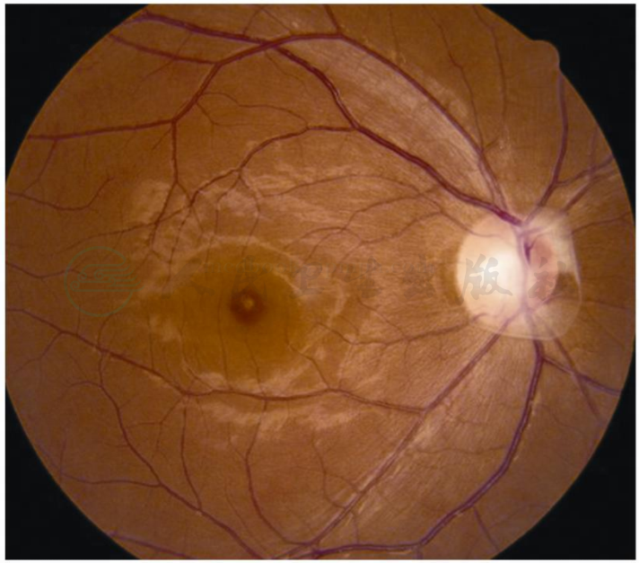
视盘前膜或名视乳头前膜,是位于视盘前的一层透明或半透明膜,像薄的纱巾一样,隐约地遮蔽着视盘;或者有时像蜘蛛网一样覆盖在视盘前面;然而,更多的是在视盘生理凹陷处,视网膜中央动、静脉的两旁,像白色半透明的鞘膜一样,伴随着血管进出(图1)。是由于原始视盘即所谓Bergmeistery原始乳头(Bergmeister's papilla)的神经胶质组织萎缩和吸收不全和/或来自玻璃体动脉的中胚层组织残留的薄膜。这是一种先天变异,不是病理性的产物。

图1视盘前膜眼底彩照
病理学
视盘前膜的产生是由于原始上皮乳头的神经胶质组织萎缩和吸收不全而残留的薄膜,有时亦可来自玻璃体血管系统的中胚层组织,或二者兼而有之。
此内容为收费内容
来源
中华眼科学(上、中、下册),第3版,978-7-117-18948-4,2014.10
眼科病理学,第1版,978-7-117-19868-4,2014.12



