英文名称 :Rheumatic valvular disease of the heart
风湿性心脏病是指由于风湿热活动累及心脏瓣膜而造成的心脏病变。在风湿性心脏瓣膜病中,最常累及二尖瓣,主动脉瓣次之,三尖瓣很少见,肺动脉瓣则极为罕见。风湿性病变可单独损害一个瓣膜区,也可以同时累及几个瓣膜区,最常见的是二尖瓣合并主动脉瓣病变。
只有A组β溶血性链球菌引起咽喉部感染,并因此诱发一系列免疫反应后才能导致风湿热的发生。A组β溶血性链球菌普遍存在于许多无症状的人群中,形成易感人群。咽喉炎后引发的风湿热的发病率为0.3%,链球菌性咽炎流行期间风湿热的发病率为3%,对于既往有风湿热的患者,感染链球菌后风湿热的可能性增大。研究表明,不同的菌株及其毒力(风湿源性)的大小也可以影响风湿热的发病率。在一般情况下,伴有临床症状的咽喉部感染与风湿热的关系较密切,但在因感染性链球菌引发风湿热的患者中,有大于1/3的患者没有任何临床症状。美国最近的流行病学资料显示,在初发风湿热的患者中,无症状性链球菌感染的发病率甚至更高。在风湿热中,许多链球菌抗原都可以引起异常的免疫反应,A组黏多糖有一个N‐乙酰葡萄糖胺,可与体内心瓣膜组织发生抗体交叉反应,有严重心脏瓣膜病的患者发生这种抗体交叉反应的强度更大,而风湿性关节炎则与体内产生针对链球菌肽聚糖复合物的抗体有关。细胞免疫应答在风湿热的发病机制中有重要作用,在受累的瓣膜组织和滑膜中有大量T细胞浸润。最近,有研究发现从风湿性心脏病患者的心瓣膜分离出的T细胞是针对链球菌M5蛋白序列产生的,它可以与心肌球蛋白发生交叉反应。
值得注意的是,并非所有感染链球菌的患者都发生了风湿热,提示个体因素在决定风湿热易感性方面有重要的作用。既往有风湿热病史的人群易患性增高,有风湿热家族史的患者危险度增大,单卵孪生发病的几率较双卵孪生高,说明除了环境因素外,家族易感性也是一个重要的相关因素。目前认为,风湿热、风湿性心脏病与人体白细胞抗原(HLA)亚群紧密相关。在美国和沙特阿拉伯,表达HLA4‐DR4的人群发生风湿热的危险度较高,而在印度表达DR3和DQW2的人群容易发生风湿热。某些其他的抗原标记,如B细胞同型抗原D8/17与风湿热的易感性也密切相关,意味着不久的将来有可能通过基因筛查鉴别出风湿热的易感人群。
2004年WHO一项报道称,全球每年有520万风湿性心脏病患者因该病所致的伤残调整了寿命年。全球5~14岁儿童急性风湿热的发病率每年约为30万~35万,不同地区发病率有所差异,贫困、恶劣的居住环境、营养状态差、教育程度低与急性风湿热的发病密切相关。根据既往的诊断标准,全世界风湿性心脏病的患者在1560万~1960万。
风湿性心脏病是发展中国家缺血性脑卒中的重要危险因素之一,直接由风湿性心脏病导致的卒中,占这些国家和地区全部卒中病因的3%~7.5%,每年因该病导致卒中的人数为14. 4万~36万,由此死亡的人数为10.8万~26.9万。在中国,成年人风湿性心脏病发病率为186/10万,是加拿大(22/10万)和日本(14/10万)等发达国家的10倍左右。
风湿热是一种由A组β溶血性链球菌感染上呼吸道后继发的自身免疫性疾病,累及全身结缔组织,以心脏瓣膜损害最为突出,其可能的病理机制如下:
1.链球菌的抗原成分及毒性作用
链球菌具有多抗原性的特点,其荚膜由透明质酸组成,与人体关节、滑膜有共同抗原,M蛋白与致病性及毒力关系最密切,是公认的典型的超抗原,链球菌细胞壁的多糖成分“C物质”也是一种特异性抗原,同人心脏瓣膜糖蛋白有交叉免疫反应。
2.免疫反应机制
主要由两个步骤组成:第一步是通过分子模拟产生自身抗体。链球菌抗原与人体组织存在交叉抗原,如M蛋白与心肌肌浆球蛋白,心瓣膜与菌壁多糖等。感染链球菌后,人体产生大量的自身抗体及活化的自身反应T细胞。第二步是自身抗体及炎症细胞因子激活心脏瓣膜内皮细胞,表达血管内皮黏附分子21(vascular cell adhesion molecule1,VCAM21),随后炎症细胞(包括CD4阳性和CD8阳性T细胞)通过内皮细胞渗透进入无血管结构的心瓣膜,胶原组织因炎症反应产生纤维素样坏死,吞噬坏死物的巨噬细胞和T细胞形成风湿性肉芽肿,也称为阿绍夫小体(Aschoff body),病情缓慢进展最终心瓣膜变成瘢痕样组织,由于伴有局部的血管新生,瘢痕组织结构上并不稳定。
3.个体的遗传易感性
HLA作为重要的抗原加工成分,被广泛认为与自身免疫性疾病有关。本病首发主要在5~15岁的儿童和青少年,4岁以下儿童少见。HLA-Ⅱ等位基因也在不同人种中被证实与风湿性心脏病具有相关性,其相对危险度从2.3至13.6不等。有学者发现,埃及人中HLA-DRB1* 0701和DQA1* 0201等位基因与该病相关,并且在单纯二尖瓣病变中其关联性更强。
风湿热是一种多系统的结缔组织病,受累的系统包括心脏、关节和皮下组织,病理特点表现为组织的炎症、渗出或纤维化以及多系统损伤。通过对心脏标本进行肉眼和显微镜观察,与风湿活动密切相关的形态特征,包括累及心外膜的纤维素性心包炎,伴有出血或水肿的瓣叶赘生物;显微镜下见瓣叶出现纤维素样坏死,细胞浸润和瓣膜血管再生。风湿热对心肌的病理损伤很小,细胞坏死十分罕见,细胞浸润主要局限于组织间隙。心脏传导系统也很少受到病理损伤。心脏瓣膜是风湿热病理损伤的主要对象,显微镜下可见瓣膜由光滑柔韧逐渐变得粗糙、增厚,在二尖瓣的心房面、腱索和主动脉的心室面生成了疣状赘生物,赘生物由纤维素组成。瓣膜受累的次序依次为二尖瓣、主动脉瓣、三尖瓣和肺动脉瓣。不同瓣膜病理损伤各有特点。
风湿性瘢痕导致部分二尖瓣结构——瓣膜交界处、瓣尖及/或腱索融合,从而引起瓣口狭窄。单纯瓣膜交界处融合占30%,单纯瓣尖增厚占15%,单纯腱索增厚约占10%,其余为多处瓣膜结构联合受累。瓣叶纤维化伴或不伴有钙化,可在边缘融合处以及瓣叶表面破溃处局灶出现。腱索增厚、融合以及挛缩可在瓣叶下形成一个纤维性通道,从左心室侧观察,狭窄严重的二尖瓣呈典型的“鱼口”样改变。当风湿热主要或仅引起腱索挛缩和融合几乎无瓣膜交界处融合时,可导致以二尖瓣关闭不全为主的病变。镜下,瓣膜的正常结构被胶原组织、散在的成纤维细胞以及新生毛细血管所取代,可见不同程度的慢性炎性细胞浸润,如淋巴细胞、浆细胞以及巨噬细胞,在切除的瓣膜组织中,多数病例Aschof结节较为少见,仅在风湿性心脏病高发地区较常见。
瓣尖或瓣膜交界处粘连融合是诊断风湿热后主动脉瓣狭窄最重要的特征性改变。一个、两个或所有三个瓣尖交界处均可出现融合,一个瓣尖交界处融合可形成获得性二叶式主动脉瓣的形态学改变。所有三个瓣尖交界处融合即可形成圆顶样瓣叶。瓣叶可从主动脉壁到瓣叶游离缘发生完全性融合,或仅在靠近主动脉壁插入端发生部分融合。融合的程度增加,瓣叶狭窄的程度相应增大。瓣叶本身呈弥漫性纤维样增厚。导致瓣尖游离缘的回缩和僵硬。不同程度的瓣叶钙化可先在融合的瓣尖交界处发生,并延及瓣体(同先天性二叶式主动脉瓣相反,后者钙化可发生在瓣叶本身,并在瓣膜交界处弥漫性分布)。因此风湿性的瓣膜关闭不全和狭窄常同时发生(钙化性主动脉瓣狭窄因钙化进展沿着基底的曲状线,导致瓣尖的固定,很少引起明显的主动脉瓣关闭不全)。组织学上,融合的瓣叶交界处由不含弹力纤维的纤维结缔组织构成。瓣叶纤维化,并有钙化灶、新生血管的形成、黏液样变性以及慢性炎症。Aschoff小体较为少见,可见于最近有急性风湿热病史的患者。
风湿病三尖瓣病变的病理学特点包括瓣叶增厚,一个或多个瓣叶瓣膜交界处融合。腱索增厚与融合程度通常比二尖瓣轻。无论是否存在瓣膜交界处融合,瓣膜纤维化和缩短的程度将决定三尖瓣是否存在关闭不全、狭窄或两者兼有。瓣膜交界处融合见于所有单纯三尖瓣狭窄、95%的狭窄合并关闭不全以及51%的单纯三尖瓣关闭不全患者。多数风湿性三尖瓣病变患者表现为三尖瓣关闭不全或狭窄合并关闭不全,单纯的风湿性三尖瓣关闭不全并不常见,一般常合并二尖瓣病变。与二尖瓣狭窄不同,风湿性三尖瓣病变瓣叶钙化比较少见。
风湿性炎症单独累及肺动脉瓣很少见,即使风湿性炎症瘢痕导致肺动脉瓣瓣膜交界处融合,极少引起明显的瓣膜狭窄。
1.二尖瓣狭窄
正常成年人二尖瓣瓣口面积为4~6cm2,每分钟有4~5L血液在舒张期从左心房通过二尖瓣瓣口流入左心室。
按瓣膜口面积狭窄的程度分为三种:①轻度狭窄:瓣膜口面积为1.5~2.5cm2;②中度狭窄:瓣膜口面积为1~1.5cm2;③重度狭窄:瓣膜口面积小于1cm2。
瓣口面积小于1.5cm2时,即可产生血流障碍,患者在休息时可无症状,运动时可出现轻微症状;瓣口面积缩小至1cm2或1cm2以下时,血流障碍更加严重,可致左心房压力增高、左心房扩大,继之,肺静脉淤血,影响肺泡换气功能;肺毛细血管压力升高更加明显,当压力升高到5.3kPa(40mmHg)、超过正常血浆渗透压4kPa(30mmHg)时,即可产生急性肺水肿。随着病情的进展,肺小动脉阻力增高,肺动脉压力也显著增高,使右心室排血负担加重,代偿性引起肥厚、扩大,最终发生右心衰竭。
2.二尖瓣关闭不全
左心室收缩时,由于两个瓣叶不能对拢闭合,一部分血液反流入左心房,使排入体循环的血量减少。由于左心房血量增多,压力增高,逐渐产生左心房代偿性扩大和肥厚,为保证体循环血量,左心室加大做功,逐渐代偿性扩大和肥厚。随着左心房、左心室扩大,二尖瓣瓣环也相应扩大,使二尖瓣关闭不全加重。随着病情进展,左心室长时间负荷加重,终于产生左心衰竭。同时导致肺静脉淤血,肺循环压力升高,最后可引起右心衰竭。
3.主动脉瓣狭窄
正常成人主动脉瓣瓣口面积约2~4cm2。由于左心室收缩力强,代偿功能好,轻度狭窄并不产生明显的血流动力学改变。当瓣口面积减小至1cm2,左心室排血阻力增加,继之,造成左心室每搏输出量减少,射血后的残余血量增加,随着主动脉瓣狭窄的加重,后期将出现左心室失代偿,随之,左心室排血量减少,心腔的残余血量增加,最终导致左心室充血性心力衰竭。左室舒张末期压力的增高使左心房压力也增高,由于肺静脉压的增高,而引起一系列的肺静脉淤血性临床改变。
4.主动脉瓣关闭不全
主动脉瓣关闭不全使左心室在舒张期不但要接受左心房流入的血液,还要接受从主动脉反流的血液,使左心室舒张期过度充盈,肌纤维伸长,收缩力相应增加,使左心室逐渐扩大、肥厚。在心脏功能代偿期,左心室排血量可以高于正常;失代偿期,心排出量减少、左心房和肺动脉压力增高,可导致左心衰竭。由于舒张压低,冠状动脉灌注量减少和左心室高度肥厚,耗氧量加大,可造成心肌供血不足。
1.心电图检查
二尖瓣狭窄时可出现二尖瓣“P”波,肺动脉高压者出现右心室肥厚;轻度二尖瓣关闭不全一般无异常表现,较重者出现电轴左偏和左心室肥厚。联合瓣膜病变时,心电图常可反映受累心腔的扩大或肥厚。
2.普通X线检查
(1)二尖瓣狭窄
基本征象包括左心房、右心室增大,以及不同程度的肺循环高压表现。二尖瓣狭窄较重者心影为二尖瓣型或普大型,较轻者心影可正常。心胸比率可大致反映瓣膜狭窄程度。
左心房和右心室增大是二尖瓣狭窄“定性”诊断的主要依据。左心房和右心室增大分别主要向后、向前膨凸,心胸比率正常者并不排除左心房、右心室增大可能。左心房增大主要表现为右前斜和左侧位上食管左心房段向后压移,或/和左主支气管向上压迫移位、气管分叉角度开大,左心房增大程度一般与瓣口狭窄呈负相关。右心室增大是判断肺循环高压程度的重要指征。除轻症外,二尖瓣狭窄都有不同程度的右心室增大,狭窄越重右心室增大越明显,可作为判断二尖瓣狭窄程度的一个重要指标。右心房增大比较少见,多为轻度增大,是肺动脉高压的间接征象之一。较重的右心房增大常提示相对三尖瓣关闭不全或/和右心功能不全。
单纯二尖瓣狭窄时,左心室不大或缩小,表现为左心缘第四弓缩短变直。还可见主动脉节缩小。绝大多数患者存在不同程度的肺循环高压,是判断病变程度的重要指标。病变早期可只有肺淤血,表现为上下肺静脉管径比例失调。但临床病例多为混合性肺循环高压,X线表现为相应的轻、中、重度肺静、动脉高压征象,仅表现为肺动脉高压者并不多见(图1)。

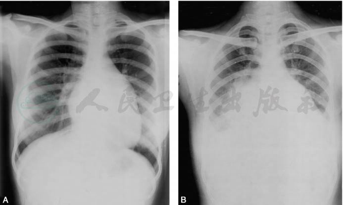
图1二尖瓣狭窄
心影呈“二尖瓣型”,左心房、右心室增大(A),二尖瓣狭窄合并关闭不全时,左心室亦有增大,伴有少量胸腔积液(B)
引自:实用放射学.第4版.ISBN:978-7-117-28542-1.主编:
二尖瓣区和左心房壁钙化。瓣膜是否钙化对手术适应证选择和预后估计具有重要意义。二尖瓣区钙化多为瓣叶本身,亦可波及或发生于瓣环或乳头肌,后者表现为环形或弧形影。左心房壁钙化很少见,多发生在心内膜或内膜下,亦可见于附壁血栓,表现为沿增大左心房外缘的壳状钙化,应与心包钙化鉴别。后者不会发生于左心房后壁(无心包结构),而主要见于心影前下缘。
(2)二尖瓣关闭不全
主要表现为左心容量负荷增大。心影呈“二尖瓣型”或“普大型”,心影增大程度与二尖瓣关闭不全程度相关。左心房、左心室均增大,其程度二者相称。若存在肺循环高压,右心房、右心室亦可增大。主动脉结正常或缩小。X线透视下,左心房、左心室搏动增强;左心房区可出现收缩期扩张波。病变早期或较轻时,仅有较轻的肺静脉高压,晚期可出现肺循环高压表现。
(3)主动脉瓣狭窄
左心室增大和升主动脉呈“主动脉型”,左心室有不同程度的增大。心功能不全时左心房亦可增大,但程度较轻,同时伴有肺静脉高压征象。升主动脉狭窄后扩张是狭窄后扩张是其基本征象,心影不大或轻中度增大,诊断主动脉狭窄的重要依据,但与左心室增大程度、瓣口狭窄程度无明显相关。左心室及心脏明显增大者多为重度主动脉瓣狭窄(图2)。
主动脉瓣钙化是主动脉瓣受损的可靠征象,提示瓣口可能有重度狭窄。透视下,可见左心室及升主动脉搏动增强。
(4)主动脉瓣关闭不全
心影呈“主动脉型”,心脏增大较明显。与主动脉狭窄比较,左心室增大更明显;左心房可增大伴有肺静脉高压;升主动脉普遍扩张,与主动脉狭窄的局限性狭窄后扩张不同。透视下,主动脉及左心室搏动明显增强。
(5)联合瓣膜病

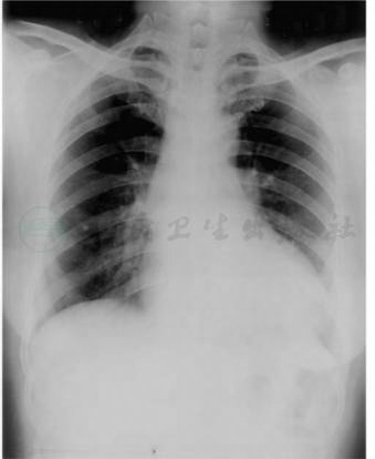
图2主动脉瓣狭窄
心影呈“主动脉型”,主动脉结大,心腰凹陷,左心室增大
引自:实用放射学.第4版.ISBN:978-7-117-28542-1.主编:
病变可同时累及二尖瓣、主动脉瓣和三尖瓣,可以是狭窄,也可以是关闭不全;二尖瓣与主动脉瓣同时损害最为常见。若受损瓣膜病变轻重不一时,X线征象常表现为病变较重的受损瓣膜的特点,例如:明显肺循环高压、主动脉狭窄后局限扩张、左心房收缩期扩张波或左心室及主动脉搏动增强等。若多个受损瓣膜病变均严重时,可同时出现多个特征性X线征象,也易引起心脏明显增大。
3.超声心动图检查
由于超声心动图检查操作相对简易、经济,应用十分广泛,是诊断风湿性心脏瓣膜病的重要方法,不仅可以观察瓣膜增厚或钙化状况、心腔大小,计算瓣口面积,明确诊断狭窄或关闭不全,而且可以估测肺动脉压力、跨瓣压差等。
(1)二尖瓣狭窄
超声对二尖瓣狭窄的诊断特异度相当高,可用来确诊。二维超声可准确、详细地观察二尖瓣及其附属结构的解剖和功能改变,是明确诊断的主要依据之一,表现为二尖瓣口开放幅度减小及瓣口面积缩小;瓣膜回声增粗、增强;腱索粘连缩短;二尖瓣前瓣呈“圆顶状”(dome)运动,后瓣呈直立状与前瓣同向运动。彩色多普勒血流超声可见舒张期左心房向左心室的射流(jet)以及瓣口左心房侧的血流汇聚区。二尖瓣口多普勒超声频谱可见舒张期正常E、A峰消失,频谱宽度增宽。超声心动图检查还可发现二尖瓣狭窄患者左心房、右心室扩大、肺静脉扩张和左心房附壁血栓;估测瓣口面积、肺动脉压及跨瓣压差,获得瓣膜结构和功能信息,评判病情发展进度。
(2)二尖瓣关闭不全
超声心动图检查诊断二尖瓣关闭不全的敏感度、特异度均很高,彩色多普勒与频谱技术有重要作用。彩色多普勒血流超声可见收缩期二尖瓣口向左心房反流的彩色血流信号;频谱多普勒可见收缩期左心房内负向血流频谱,表现为收缩期出现,顶峰圆钝,频谱幅度高,频谱增宽。二维超声心动图可见瓣膜和腱索的增厚、缩短、钙化,二尖瓣不能合拢;左心房、左心室扩大。
(3)主动脉瓣狭窄
多普勒与二维超声心动图检查对明确主动脉瓣狭窄的诊断有重要作用,可估算瓣膜狭窄的程度。频谱多普勒在瓣上可见收缩期高速射流频谱,表现为血流加速时间短,减速时间长,频谱增宽,峰值流速高于4m/s。二维超声可见瓣膜回声增强,活动受限;主动脉右冠状窦与后窦开放幅度小于15mm;左心室向心性肥厚;升主动脉狭窄后扩张。彩色多普勒血流显像可见彩色高速射流束由主动脉瓣口射向升主动脉内,但主动脉瓣严重狭窄时,彩色多普勒血流显像对射流的显示不准确。
(4)主动脉瓣关闭不全
超声心动图检查确诊主动脉瓣关闭不全的敏感度与特异度均很高,并可估算主动脉瓣口的反流量。彩色多普勒血流显像显示舒张期自主动脉瓣口向左心室流出道延伸的反流血流信号,呈“五彩镶嵌”样。频谱多普勒可见反流血流频谱幅度高,频谱增宽,峰值速度高,加速时间短。二维超声显示主动脉瓣增厚,回声呈团状增强,活动受限,主动脉瓣不能合拢,间隙大于3mm;二尖瓣前瓣或前后瓣有舒张期震动运动;左心室扩大,主动脉增宽。
(5)联合瓣膜损害
结合二维超声获得的瓣膜结构、心腔、大血管解剖信息和彩色多普勒血流显像获得的狭窄性或反流性血流信息,进行综合分析判断,对确定联合瓣膜病有重要意义。
4.MRI与CT
MSCT和EBCT的时间分辨率已达到亚秒级,结合心电门控对比增强扫描,CT既可显示心脏各腔室的形态结构,又能观察瓣膜运动变化。MRI快速成像序列与电影扫描方式,可以准确显示心腔解剖形态、瓣膜增厚、瓣膜钙化及瓣口面积,同时可以显示瓣膜狭窄或关闭不全时高速喷射血流或涡流造成的瓣口无信号区。
(1)二尖瓣狭窄
MRI快速梯度回波成像序列无需注射对比剂,显示心脏舒张期二尖瓣口无信号喷射血流,为高速血流通过狭窄二尖瓣口所致。其范围大小与跨瓣压差相关,可估测狭窄程度。左心房内血栓在梯度回波图像上表现为低信号。快速自旋回波可显示左心房扩张和右心室增大。由于CT图像密度分辨率、空间分辨率高,平扫CT可显示瓣膜增厚、瓣叶、瓣环或左心房壁高密度钙化,对比剂增强CT可准确测量左心房、右心室增大程度,显示心腔内低密度血栓,而心电门控CT电影可显示二尖瓣运动受限、舒张期瓣口狭窄。
(2)二尖瓣关闭不全
MRI除可显示左心房、室扩张外,MR电影成像可显示收缩期二尖瓣口左心房侧无信号区,为血流反流所致,其范围亦与二尖瓣关闭不全程度相关。CT扫描可显示继发性心腔形态改变,但不能直接显示二尖瓣关闭不全。
(3)主动脉狭窄
MR电影成像可观察收缩期升主动脉根部快速喷射血流所致的无信号区,严重者无信号区延伸至近段升主动脉,自旋回波序列可显示升主动脉狭窄后扩张、左心室肥厚及主动脉瓣钙化所致无信号区。多排螺旋CT或电子束CT可显示主动脉瓣增厚、钙化,左心室肥厚和升主动脉扩张。
(4)主动脉关闭不全
MR快速电影成像显示心脏舒张期主动脉瓣反流所致的无信号区,无信号区范围大小与血流反流大小对应,可估测主动脉瓣关闭不全程度。CT可显示主动脉瓣环和升主动脉根部扩张、左心室扩张等间接征象,不能直接显示瓣口反流。
(5)联合瓣膜损害
MRI和CT(多排螺旋CT和电子束CT)能显示瓣膜损害的直接与间接征象,尤其是MR电影成像,无需注射对比剂,显示多个瓣膜受损情况,对瓣膜狭窄和关闭不全的诊断相当可靠(图3)。

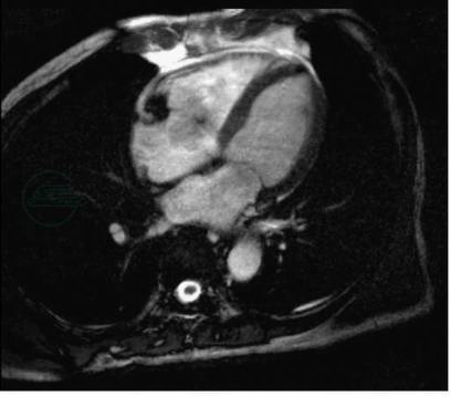
图3三尖瓣关闭不全
MR电影成像显示收缩期三尖瓣口的反流低信号
引自:实用放射学.第4版.ISBN:978-7-117-28542-1.主编:
5.X线心血管造影
绝大多数本病病例无需X线心血管造影,仅靠无创影像学检查方法即可做出诊断。对于瓣膜受损合并其他心血管疾病而诊断困难者,或瓣膜球囊成形术前后判断关闭不全程度时,可应用X线心血管造影检查。通常进行左心室及主动脉造影,以观察二尖瓣和主动脉病变。二尖瓣口凸向左心房或充盈缺损提示二尖瓣狭窄,左心室造影显示对比剂逆流进入左心房是诊断二尖瓣关闭不全的征象,X线电影还可观察瓣膜的活动情况。主动脉或左心室造影显示半月瓣开放受限和升主动脉近心段扩张是主动脉瓣狭窄的征象,而胸主动脉造影舒张期反流则为主动脉关闭不全诊断征象。
1.一般内科治疗
包括①应避免剧烈体力活动,呼吸困难者应减少体力活动,定期复查;②预防上呼吸道感染及感染性心内膜炎,在拔牙等手术前、后用抗生素各2~3天;③对链球菌感染、风湿活动及感染性心内膜炎应予积极的预防和治疗,可给予长效青霉素,长期甚至终生使用。
2.药物治疗
药物治疗的目标就是预防风湿热,改善临床症状,减少血栓发生风险等。每3周肌内注射一次苄星青霉素,疗效优于口服青霉素,特别是青年患者及发展中国家患者效果更佳。利尿剂及β受体阻滞剂用于治疗心功能不全、控制心率。
二尖瓣狭窄的治疗原则:①治疗风湿活动、抗感染以及纠正其他各种诱发因素;②纠正心衰及其他并发症;③对症支持治疗;④外科手术治疗、介入性瓣膜扩张治疗。具体治疗:①急性肺水肿的处理与急性左心衰所引起的肺水肿相似,不同之处是不宜用扩张小动脉为主的扩血管药,快速洋地黄制剂要慎用,只有出现快速房颤时,才需用毛花苷丙降低心室率。②心房颤动:对于二尖瓣狭窄合并房颤者,由于房颤易诱发心衰,可先用洋地黄制剂控制心室率,必要时可静注β-受体阻滞剂,恢复窦性心律优于心室率控制,可改善患者的功能活动及生存质量。对阵性房颤伴快速心室率或持续性房颤病程<1年、左房前后径<60mm、无高度或完全性房室传导阻滞和病窦综合征者,可选择电复律或药物复律(胺碘酮、索他洛尔等),于复律前3周和转复窦律后4周用华法林抗凝以预防转复窦律后的动脉栓塞。对慢性房颤者,可用β-受体阻滞剂控制心室率,并给予抗凝治疗,以预防血栓形成和动脉栓塞的发生。③右心衰竭:限制钠盐摄入,应用地高辛及利尿剂,但长期应用应监测血药浓度和血电解质。
二尖瓣关闭不全的药物治疗治疗原则:较轻的二尖瓣关闭不全且无症状者,可追踪观察,注意预防风湿热复发和感染性心内膜炎。有症状的患者口服地高辛、利尿剂、扩张血管药物及其他辅助药物,若左房、左室已扩大,可用血管扩张剂,以减少二尖瓣反流。合并心衰时,按充血性心力衰竭进行治疗。具有外科手术适应证者,应进行瓣膜成形术或瓣膜置换术。较重患者则先以静脉注射洋地黄类强心药,再口服维持,同时给予利尿剂、扩张血管药物及其他辅助药物。危重患者则先以静脉注射洋地黄类强心药、利尿剂,静滴扩张血管药物等,待病情稳定后再改为口服药物。联合β受体阻滞剂和血管紧张素转换酶抑制剂(ACEI)强化治疗,可对左室重构以及减少二尖瓣关闭不全引起的缺血事件有良好的获益,但目前并没有证据显示ACEI和血管紧张素Ⅱ受体拮抗剂(ARB)可减少二尖瓣关闭不全引起的心肌梗死的发生率。需要注意的是急性和慢性二尖瓣关闭不全的治疗有所不同:
(1)急性二尖瓣关闭不全
诱因主要是二尖瓣结构突然变化,如感染引起的二尖瓣叶瓣破坏、腱索断裂,心肌梗死导致乳头肌腱断裂或是经皮球囊导管瓣膜扩张成形术的并发症。药物治疗原则:①减轻心脏后负荷,应用血管扩张剂、ACEI等;②降低肺动脉压,应用硝普钠、硝酸甘油等。
(2)慢性二尖瓣关闭不全
①对轻、中度二尖瓣关闭不全患者,应预防风湿活动,在进行手术和器械操作前后及时应用抗生素,预防感染性心内膜炎;②出现心力衰竭者应避免过度的体力劳动,限制钠盐摄入,可适当使用利尿剂、洋地黄、血管扩张剂,包括ACEI;③对伴有房颤、体循环栓塞史者,可长期应用抗凝药物,防止血栓栓塞;④减慢心室率的药物及抗心律失常药物可用于合并房颤的患者,洋地黄与β-受体阻滞剂是控制心率的主要药物;⑤对无症状的慢性二尖瓣关闭不全伴左心功能正常者,无需特殊治疗,嘱长期随访。
3.介入性治疗
经皮穿刺导管球囊扩张成形术是目前介入治疗的主要方式。经皮球囊导管瓣膜扩张成形术主要应用于单纯二尖瓣狭窄且符合适应证者,患者的临床表现、瓣膜解剖结构及经认证的有经验的医疗和外科团队是选择介入治疗的基础。对单纯二尖瓣狭窄的适应证为:①心功能Ⅱ~Ⅲ级;②瓣膜无钙化,腱索、乳头肌无明显病变;③年龄25~40岁;④二尖瓣狭窄瓣口面积在0.6~1.5cm2为宜;⑤左心房内径<50mm,房内无血栓;⑥近期无风湿活动,或感染性心内膜炎已完全控制,无动脉栓塞病史;⑦无症状的肺动脉高压患者出现肺水肿,以及预期怀孕的患者,该手术可用于在辐射防护下怀孕后20周的患者。
4.外科治疗
二尖瓣狭窄的外科治疗:根据目前的临床指南,经皮介入治疗已逐渐取代了外科二尖瓣交界闭式分离术,外科手术只适用于经皮球囊导管瓣膜扩张成形术禁忌的患者。外科手术的适应证:①有症状的二尖瓣重度狭窄;②有症状的二尖瓣中度狭窄,超声检查证实左房血栓,或经内科正规治疗心脏中度以上增大者需行外科手术治疗。有风湿活动者,须在风湿活动控制半年后再考虑手术。
(1)球囊扩张或二尖瓣交界闭式分离术
明确的二尖瓣狭窄,瓣口面积0.6~1.5cm2,可闻及明确的开瓣音,超声检查证实瓣膜弹性尚好,无左房血栓形成,窦性心律。
(2)二尖瓣置换术
适用于超声检查证实二尖瓣重度狭窄、瓣叶僵硬、严重钙化,瓣下结构改变严重,修复困难,或同时伴有重度二尖瓣关闭不全者。另适用于有左房血栓的二尖瓣重度狭窄,二尖瓣狭窄伴有严重的主动脉瓣、三尖瓣病变,联合瓣膜病变合并二尖瓣关闭不全,伴有需要冠状动脉旁路移植术的患者,二尖瓣分离术后再狭窄等。金属瓣膜优先用于伴有房颤、依从性好、需长期接受抗凝药物的患者。术后需监测凝血指标,常用“国际标准化比值”(INR)。机械瓣膜置换术后应终生口服抗凝药物治疗,INR值维持在1.8~2.5之间。生物瓣膜置换术以及在二尖瓣成形术中使用人工成形环后,需口服抗凝药物治疗3个月,维持INR值在1.8~2.5之间。术后注意调节饮食,控制体重增长过快,适量活动,避免心脏负荷过重,建议术后每年复查ECG、UCG及胸X线片。
二尖瓣关闭不全的外科治疗:二尖瓣置换术适用于二尖瓣重度关闭不全的患者,二尖瓣置换手术后的抗凝治疗、注意事项及随诊同二尖瓣狭窄的外科治疗。
主动脉瓣关闭不全的手术指征:有症状的左室收缩功能减退,射血分数<50%,或左心室严重扩大(舒张末直径≥70~75mm、收缩末直径≥50~55mm)的患者是外科手术的明确适应证,主要是采用主动脉瓣置换术。临床还应根据患者主动脉瓣反流的严重程度、年龄及临床全面情况做出个体化决定。
一、术前健康教育
1.预防呼吸道感染
患者应注意保暖,避免感冒,术前戒烟至少2周,注意口腔卫生,每日刷牙两次。
2.改善心功能
患者应配合医师用药,给予患者吸氧,有呼吸困难者,可取半坐卧位或端坐位,以减轻心脏负担;主动脉瓣狭窄患者少活动、避免情绪激动,以防发生猝死。
3.有风湿活动的患者,需注意休息,待体温、血沉、心率正常,症状基本消失后,可逐渐活动。如活动后心率明显增快和有不适感,仍需控制活动,卧床休息,遵医嘱服用阿司匹林抗风湿治疗。
4.患者饮食要注意合理搭配,保证高蛋白、高热量、高维生素、低脂肪等易消化食物,如瘦肉、鱼类、黄豆类、新鲜蔬菜、水果等,有心力衰竭时应限制钠盐的摄入,一般限制在每日2g,相当于食盐5g(5g食盐约半勺小汤匙),重度心力衰竭患者,应限制在0.4g,相当于食盐1g,应少量多餐饮食,避免过饱,加重心脏负担。
5.患者应配合护士训练有效咳嗽、深呼吸,练习床上排尿、排便等。
二、术后健康教育
1.由于手术时间长、低温体外循环以及手术对心脏的创伤,术后3天内为心肌水肿期,术后会出现严重的生命体征紊乱,护士会根据多功能监测仪等仪器对患者进行严密的监测,及早发现异常情况。
2.术后早期,为减轻患者心脏负担,一般护士会间断使用利尿剂以使其体内液体量出大于入,部分患者会有口渴感,患者应严格遵守护士要求,不可自行加快输液的速度,也不可自行饮用过多的水。
3.因钾从尿中丢失,高钾或低钾都可引起心律失常,应严格记录患者的尿量,患者尿量过多(24小时>2500ml)或尿量过少(24小时<400ml)时,应及时告知医务人员处理。
4.为预防呼吸道感染,患者气管插管拔除后,应给予超声雾化或氧驱动雾化吸入,减轻喉头水肿,降低痰液的黏稠度,加强体疗叩背,患者应深呼吸锻炼及进行有效咳嗽。
5.心包、胸骨后引流管的护理
6.服华法林的注意事项
(1)服华法林期间,如需服用其他药物,患者应询问该药是否对抗凝有影响。
(2)服华法林期间,患者应遵医嘱定时定量服用,不可随意增加或减少药物的剂量,应按医嘱定时抽血化验凝血酶原时间(PT)及活化部分凝血激酶时间(APTT),并由医师给予指导调节华法林的剂量。
(3)服抗凝药期间,患者应注意观察有无出血的情况,如牙龈出血、皮下出血、皮肤瘀斑、鼻黏膜出血、腹痛、血尿、血痰、女患者月经增多、大便呈黑色等,如有以上情况,应立即报告医务人员,由医师给予减量或停药。如抗凝不足,易导致栓塞。
三、出院健康教育
1.日常生活
①患者休养环境应安静舒适,温湿度适宜,空气清新;②患者应随气温变化及时增减衣服,避免感冒;③患者应保持心情愉快,避免情绪激动。
2.活动与工作
患者应根据自身耐受情况适当锻炼,在医师指导下逐渐恢复体力劳动或工作,避免过度劳累。
3.用药注意事项
瓣膜置换术后患者在出院后一般要继续服用强心、利尿、补钾等药物。
(1)服用洋地黄类强心药物如地高辛时,患者及家属要学会自测脉搏,脉率>60/min方可服用,服药的过程中,如出现视物偏黄、绿色,应及时去医院就诊。
(2)服用利尿剂后,要定时补钾,比如口服20%枸橼酸钾,以防钾从尿中丢失过多,引起低钾血症,诱发恶性心律失常。定时去医院复查血钾,出现乏力、恶心、腹胀等低血钾症状要及时就诊。



