英文名称 :acne
中文别名 :粉刺
痤疮为毛囊皮脂腺的慢性炎症性疾病。发病与雄性激素水平偏高、毛囊皮脂腺导管角化不良、皮脂分泌增多、痤疮棒状杆菌感染及遗传、精神紧张、免疫学等多因素有关。
痤疮是一种多因素的疾病,与性激素水平、皮脂分泌过多、痤疮丙酸杆菌增殖、毛囊皮脂腺导管角化异常和炎症等因素有关。青春期人体内雄激素特别是睾酮的水平迅速升高,促进皮脂腺发育并产生大量皮脂。同时毛囊皮脂腺导管的角化异常造成导管堵塞,皮脂排出障碍,形成角质栓即微粉刺。毛囊中多种微生物尤其是痤疮丙酸杆菌大量繁殖,痤疮丙酸杆菌产生的脂酶分解皮脂生成游离脂肪酸,同时趋化炎症细胞和介质,最终诱导并加重炎症反应。
依据皮损的形态和病情轻重,临床上可分为几种类型:
1.寻常痤疮(acne vulgaris) 有黑、白头粉刺,炎症性丘疹、脓疱,重者出现炎性结节、脓肿、囊肿,间有萎缩性或增殖性瘢痕(图1~图11)。炎症反应重者多有疼痛,形成瘢痕疙瘩者有痒、痛感。
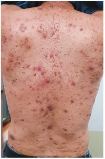
2.聚合性痤疮(acne conglobata) 此型比寻常型严重,好发于青年,男性多于女性。可能与机体对感染微生物高度敏感的免疫反应有关。皮疹累及面、颈、上臂、胸、背、臀部,呈多形性损害,如黑头粉刺、白头粉刺、丘疹、脓疱、结节及囊肿,且以多发性囊肿为主。相邻的囊肿融合,形成深在的窦道,外观呈暗红色、不规则的半球状隆起,触之柔软、有波动感,破后流出浓稠的脓血,病程绵延,经久不愈,愈后留有瘢痕(图12~图24)。自觉症状为不同程度的痛痒,一般无全身症状。
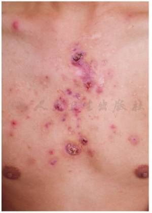
3.暴发性痤疮(acne fulminans) 是最严重的一型痤疮,此型可能是痤疮棒状杆菌某些亚型对患者引起的变态反应。其特点是发病突然,皮损累及面,颈、胸、背部,多为毛囊性炎性丘疹、脓疱及突发性结节、囊肿,炎症反应剧烈,易形成糜烂、溢脓、结痂(图25~图30)。自觉症状疼痛。患者常伴有乏力、食欲减退、关节肌肉酸痛、头痛等不同程度的全身症状。预后良好,愈后可留色素沉着和浅表性瘢痕。

图1寻常痤疮(一)
引自:实用皮肤病性病图谱.第1版.ISBN:978-7-117-31537-1.主编:

图2寻常痤疮(二)
引自:实用皮肤病性病图谱.第1版.ISBN:978-7-117-31537-1.主编:

图3寻常痤疮(三)
引自:实用皮肤病性病图谱.第1版.ISBN:978-7-117-31537-1.主编:

图4寻常痤疮(四)
引自:实用皮肤病性病图谱.第1版.ISBN:978-7-117-31537-1.主编:

图5寻常痤疮(五)
引自:实用皮肤病性病图谱.第1版.ISBN:978-7-117-31537-1.主编:

图6寻常痤疮(六)
引自:实用皮肤病性病图谱.第1版.ISBN:978-7-117-31537-1.主编:

图7寻常痤疮(七)
引自:实用皮肤病性病图谱.第1版.ISBN:978-7-117-31537-1.主编:

图8寻常痤疮黑头粉刺
引自:实用皮肤病性病图谱.第1版.ISBN:978-7-117-31537-1.主编:

图9寻常痤疮黑头粉刺及瘢痕形成
引自:实用皮肤病性病图谱.第1版.ISBN:978-7-117-31537-1.主编:

图10寻常痤疮瘢痕形成
引自:实用皮肤病性病图谱.第1版.ISBN:978-7-117-31537-1.主编:

图11寻常痤疮萎缩和增殖性瘢痕
引自:实用皮肤病性病图谱.第1版.ISBN:978-7-117-31537-1.主编:

图12聚合性痤疮(一)
引自:实用皮肤病性病图谱.第1版.ISBN:978-7-117-31537-1.主编:

图13聚合性痤疮(二)
引自:实用皮肤病性病图谱.第1版.ISBN:978-7-117-31537-1.主编:

图14聚合性痤疮(三)
引自:实用皮肤病性病图谱.第1版.ISBN:978-7-117-31537-1.主编:

图15聚合性痤疮(四)
引自:实用皮肤病性病图谱.第1版.ISBN:978-7-117-31537-1.主编:

图16聚合性痤疮(五)
引自:实用皮肤病性病图谱.第1版.ISBN:978-7-117-31537-1.主编:

图17聚合性痤疮(六)
引自:实用皮肤病性病图谱.第1版.ISBN:978-7-117-31537-1.主编:

图18聚合性痤疮(七)
引自:实用皮肤病性病图谱.第1版.ISBN:978-7-117-31537-1.主编:

图19聚合性痤疮(八)
引自:实用皮肤病性病图谱.第1版.ISBN:978-7-117-31537-1.主编:

图20聚合性痤疮(九)
引自:实用皮肤病性病图谱.第1版.ISBN:978-7-117-31537-1.主编:

图21聚合性痤疮瘢痕疙瘩形成(一)
引自:实用皮肤病性病图谱.第1版.ISBN:978-7-117-31537-1.主编:

图22聚合性痤疮瘢痕疙瘩形成(二)
引自:实用皮肤病性病图谱.第1版.ISBN:978-7-117-31537-1.主编:

图23聚合性痤疮瘢痕疙瘩形成(三)
引自:实用皮肤病性病图谱.第1版.ISBN:978-7-117-31537-1.主编:

图24聚合性痤疮多发性囊肿形成
引自:实用皮肤病性病图谱.第1版.ISBN:978-7-117-31537-1.主编:

图25暴发性痤疮(一)
引自:实用皮肤病性病图谱.第1版.ISBN:978-7-117-31537-1.主编:

图26暴发性痤疮(二)
引自:实用皮肤病性病图谱.第1版.ISBN:978-7-117-31537-1.主编:

图27暴发性痤疮(三)
引自:实用皮肤病性病图谱.第1版.ISBN:978-7-117-31537-1.主编:

图28暴发性痤疮(四)
引自:实用皮肤病性病图谱.第1版.ISBN:978-7-117-31537-1.主编:

图29暴发性痤疮(五)
引自:实用皮肤病性病图谱.第1版.ISBN:978-7-117-31537-1.主编:

图30暴发性痤疮(六)
引自:实用皮肤病性病图谱.第1版.ISBN:978-7-117-31537-1.主编:
组织病理学改变因皮疹形态和炎症反应程度不同而异,基本特点是毛囊、皮脂腺的急、慢性炎症反应,可见毛囊皮脂腺导管扩张、毛囊角栓、脓肿、异物肉芽肿形成及真皮急、慢性炎症细胞浸润。
少食辛辣、甜食和脂肪类食物,多吃蔬菜、水果、富含微量元素锌的食物,忌用手挤压。轻者以局部外用药治疗为主,重者除外用药外,应系统给药。局部常用药可选用0.1%阿达帕林凝胶、维胺脂霜、0.025%维A酸霜、1%林可霉素、夫西地酸软膏等。近年来局部用光动力治疗重症痤疮获得满意疗效;雾化冷喷、等离子单针射频也很受患者青睐。系统治疗可短期、小量服用大环内脂类或四环素类抗生素,如克拉霉素、阿奇霉素、罗红霉素、米诺环素,小量维A酸药或中成药丹参酮制剂;重症者可加量服用异维A酸和小量糖皮质激素。对暴发性痤疮,除上述常规治疗痤疮的药外,联用免疫调节和增强剂可显著提高疗效,如卡介菌多糖核酸注射液肌内注射、脾氨肽或胸腺肽口服。中西医结合治疗也会获得更好的效果,笔者曾用中药方剂透脓散加减治愈一例暴发性痤疮。



