英文名称 :chorangioma
中文别名 :胎盘血管瘤
绒毛膜血管瘤亦称胎盘血管瘤(placental hemangioma),发病率为0.7%~1.6%。胎盘血管瘤的发生可能系早期胎盘的原始成血管组织发育异常所致。
绒毛膜血管瘤是良性肿瘤,但血管瘤能改变胎盘血流,破坏正常血液供应,导致胎儿生长发育受阻,且超限的血液循环可使胎儿心脏负担加重,导致胎儿窒息,甚至死亡。
一般直径< 5cm的绒毛膜血管瘤在妊娠期对孕妇和胎儿发育无明显影响,而直径> 5cm者可引起孕妇压迫症状,胎儿生长受限、胎儿贫血、羊水过多等。羊水过多的发生率约16%~33%,文献报道有高达48.7%者,若将胎儿畸形者除外,其发生率为14%~22%;胎儿丢失率约40%。羊水过多的程度与绒毛膜血管瘤的大小有关。胎盘母体面的绒毛膜血管瘤偶尔可引起胎盘后出血,或有蒂血管瘤的血管蒂破裂,严重时危及胎儿生命。较大的绒毛膜血管瘤尤其是伴发羊水过多者,常导致胎膜早破而致早产,约1/3羊水过多者需提前终止妊娠。胎儿水肿、心力衰竭较罕见。绒毛膜血管瘤还可伴有母血或母血与羊水的甲胎蛋白升高。肿瘤一般在分娩时和胎盘一起娩出,但也可在产时先从阴道排出,或稽留于子宫内引起子宫复旧不全和产后出血。
有绒毛膜血管瘤的活产婴儿一般正常,但少数为小于胎龄儿或生长受限,巨大或多个绒毛膜血管瘤对胎儿和新生儿的影响较大,使胎儿或新生儿的死亡率增加。因为流经肿瘤的无效腔(生理无效区)返回胎儿的血是低氧血,可导致胎儿窘迫和死亡,也可能因肿瘤类似外周的动静脉瘘或巨大的肿瘤压迫脐带导致胎儿心力衰竭、死亡。绒毛膜血管瘤是否使胎儿畸形增多尚有争议,较为肯定的是胎盘有绒毛膜血管瘤者,其婴儿皮肤血管瘤的发生率相当高。此外,有巨大绒毛膜血管瘤者,其新生儿有时可发生暂时的并发症,包括心脏肥大、水肿、贫血和血小板减少症。文献曾报道数个家庭中有复发性绒毛膜血管瘤,也伴有复发性死胎。
一、超声诊断要点
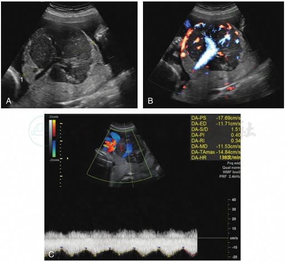
1.超声表现为胎盘内边界清晰、圆形或类圆形实质性包块,回声多低于胎盘组织,常位于脐带根部附近,突向羊膜腔。
2.肿块周边或内部见条索状彩色血流,多普勒频谱为胎儿动脉血流。
3.有时合并羊水过多(图1)。
二、鉴别诊断
胎盘内血池:表现为胎盘实质内局限性无回声区,大小不一,一个或多个,内部可见点状回声缓慢流动,常不能显示血流信号或检测到流速极低的静脉血流。胎盘内血池不会引起胎儿贫血、水肿、羊水过多等表现。
三、相关异常
合并胎儿贫血时,胎儿大脑中动脉峰值流速增高。胎儿发生充血性心力衰竭时,出现水肿、心胸比例增大、三尖瓣反流、腹腔积液等。

图1胎盘绒毛膜血管瘤
A.胎盘实质内见边界清晰的中低回声区,突向胎盘胎儿面;B.肿块内部见条索状彩色血流;C.多普勒频谱为胎儿动脉频谱
引自:中国产科超声检查指南.第1版.ISBN:978-7-117-28254-3.主编:



