英文名称 :NLRP3-associated autoinflammatory syndrome
中文别名 :冷炎素相关周期热综合征
NAAS为常染色体显性遗传,致病基因NLRP3也称为CIAS1,位于染色体1q44,编码细胞内NALP3,即冷炎素(cryopyrin)。NLRP3功能获得性突变(gain-of-function)导致编码蛋白cryopyrin聚合形成高度有序的蛋白寡聚体,并募集ASC及半胱天冬酶(caspase)形成复杂的炎性复合体,产生活化的caspase-1(IL-1β转化酶),将胞内不具活性的IL-1β前体裂解成活化的成熟IL-1β分泌到胞外而发挥作用。迄今已发现NLRP3的60多种基因突变与NAAS有关。
目前尚无确切的发病率,估计为1/100万人口~10/100万人口(美国报道为1/100万~2/100万,法国报道为1/360 000)。
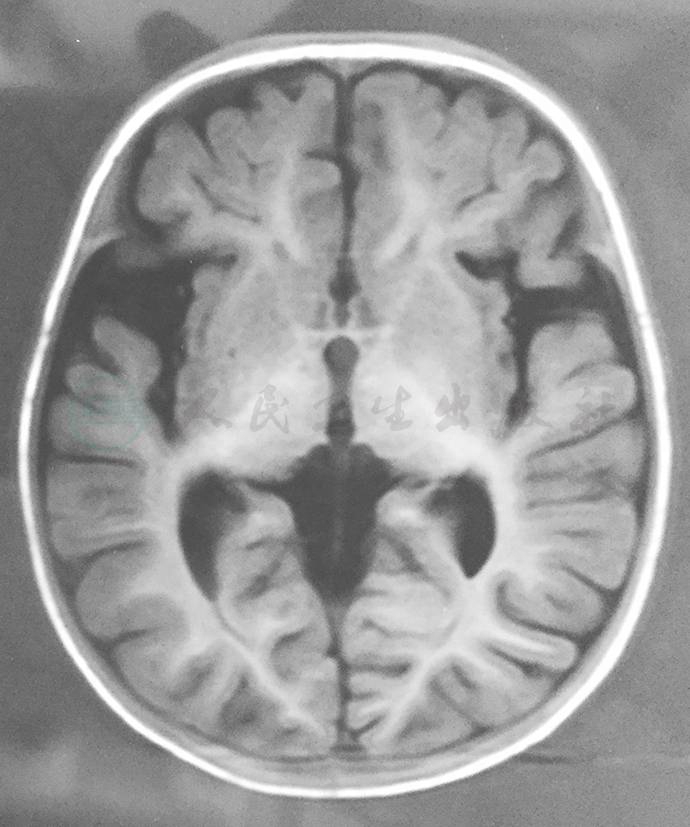
NAAS患儿实验室检查表现为全身炎症指标异常,包括红细胞沉降率(erythrocyte sedimentation rate,ESR)、C反应蛋白(C-reactive protein,CRP)和血清淀粉样蛋白A(serum amyloid a,SAA)升高,急性发作时血白细胞升高,脑膜炎时可有颅内压升高和脑脊液细胞数增多,常出现贫血和血小板增多。超声检查可见淋巴结和肝脾轻度肿大;膝部X线检查可见髌骨肥大/过度生长、骨骺过度生长和关节炎的表现。头颅影像学检查可见脑室扩大、脑萎缩等表现(图2)。

图2 NOMID患儿的头颅MRI
本病诊断主要依据典型临床表现,对所有出现周期性发热、荨麻疹、不能解释的全身炎症反应和阳性家族史,特别是很早期发病的患儿均应怀疑本病的可能。国际儿童风湿病试验组织(Pediatric Rheumatology International Trials Organisation,PRINTO)和国际AID注册项目(Eurofever Project)分析总结了1 880例注册AID患者后提出了基于循证医学的临床分类标准(表1)。许多CINCA病例为新发突变,故可无明确家族史。
约50%的具有典型临床特征的CINCA不能检测到NLRP3的突变,称为突变阴性的CAPS,可能是在致病性白细胞中存在体细胞嵌合体(somatic mosaicism),而致病细胞的比率太低(4.2%~35.8%),用常规一代测序的方法不能够测出,如将受累细胞克隆到载体中可提高检测的灵敏度;另外二代测序技术可以检测到低水平的体细胞嵌合体,将来可能成为常规筛查的手段。
表1 NLRP3相关自身炎症性疾病(NAAS)临床分类标准

目前尚无特异治疗方法。欧洲儿童风湿病治疗项目(SHARE)最近提出了CAPS的治疗建议:IL-1抑制剂可用于任何年龄及类型;为避免脏器损伤,对疾病活动的患者应尽早开始IL-1阻断剂的治疗;对症治疗可短期应用NSAID和糖皮质激素,但其不能作为初始基础治疗。目前可以应用的IL-1抑制剂有阿那白滞素(anakinra)、利洛纳塞(rilonacept)和卡那单抗(canakinumab)。目前常用的阿那白滞素的起始剂量为每天1mg/kg皮下注射。



