英文名称 :traumatic ulcer
机械损伤、热、电、化学等创伤均可导致口腔黏膜的急性或慢性损伤,造成表面溃疡,称创伤性溃疡(traumatic ulcer),通常可自愈。嗜酸性溃疡(eosinophilic ulcer)是慢性创伤性溃疡的一种特殊类型,愈合缓慢,伴疼痛,深层因炎症反应而似呈浸润性,临床上常疑为恶性肿瘤,也称为创伤性肉芽肿(traumatic granuloma)、创伤性溃疡性肉芽肿(traumatic ulcerative granuloma,TUG)、创伤性嗜酸性肉芽肿(traumatic eosinophilic granuloma)、伴间质嗜酸性粒细胞增多的创伤性溃疡性肉芽肿(traumatic ulcerative granuloma with stromal eosinophilia,TUGSE)。
致伤原因多种多样,常见为意外咬伤、修复体或残冠、残根锐缘损伤、牙科操作损伤、精神性自伤、局部应用腐蚀性药物、放射治疗等。婴儿舌腹(偶尔舌背)前部因乳前牙导致的慢性创伤性溃疡称里加病(Riga-Fede disease)。嗜酸性溃疡可能与创伤有关,但50%以上的患者无确切创伤史,也有人认为和药物反应及过敏反应有关。
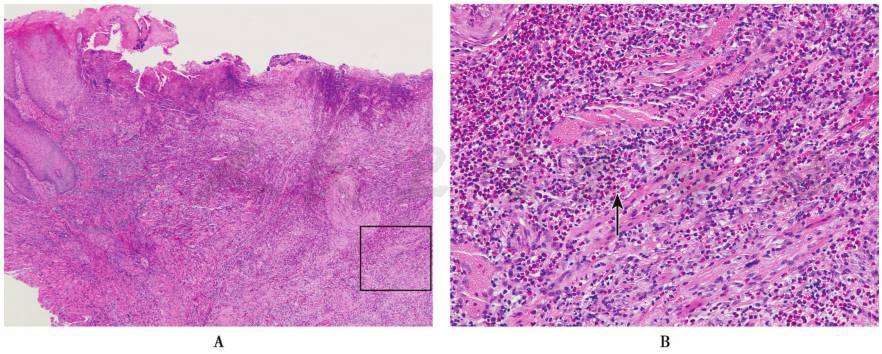
急性溃疡可见明显的假膜,由纤维蛋白渗出及中性粒细胞浸润构成,其边缘上皮轻度增生。溃疡底部为肉芽组织,见毛细血管增生和扩张,混合性炎症细胞浸润。当溃疡开始愈合时,可见边缘上皮开始再生,在纤维蛋白凝固物的下方爬行并逐渐覆盖肉芽组织。慢性溃疡的底部也为炎症肉芽组织,更深层有明显的纤维增生,形成瘢痕;由于持续的创伤或局部细胞因子表达不足,可能不发生上皮再生。嗜酸性溃疡在组织学上类似慢性创伤性溃疡,炎症细胞浸润深而广泛,可达肌层,造成肌组织变性;炎症区成纤维细胞增生,血管内皮细胞肥大,浸润的炎症细胞包括嗜酸性粒细胞、组织细胞、淋巴细胞等,其中嗜酸性粒细胞浸润是其特征性表现(图1)。

图1嗜酸性溃疡
A.表面溃疡,炎症浸润深达肌层 B.图A的局部(方框区)放大,肌束间见大量嗜酸性粒细胞浸润(箭头示)
引自:口腔组织病理学(第8版)(第8轮口腔本科规划教材配网络增值服务).第8版.ISBN:978-7-117-29369-3.主编:
1.尽快去除刺激因素
避免接触不良物理、化学刺激因素,拔除残根残冠,调磨尖锐的牙体边缘,纠正不良习惯,改变婴儿喂食方式,手术纠正舌系带过短等。
2.防止局部继发感染
可用复方氯己定含漱液、0.1%依沙吖啶溶液、复方硼砂含漱液等含漱;局部涂布曲安奈德口腔软膏、外用溃疡散、养阴生肌散等。
3.有全身症状和严重继发感染者内服或注射抗生素。



