儿童牙龈病是指一组发生于儿童牙龈组织的病变,包括儿童牙龈组织的炎症及全身疾病在牙龈的表现。牙龈病一般不侵犯深层牙周组织。1999年美国召开的关于牙周病分类的国际研讨会提出了新的分类法,将牙龈病分为菌斑(plaque)引起的牙龈病和非菌斑引起的牙龈病。菌斑的刺激是导致牙龈组织感染的主要原因。儿童由于牙龈上皮薄、角化差,受细菌感染或外伤刺激后易发生炎症,又因乳牙解剖形态的特点,如牙冠近颈部1/3处隆起,牙颈部明显收缩,龈缘处易积存食物残屑而刺激牙龈。生理间隙的存在、萌出期暂时性的牙列不齐,易使牙垢堆积、牙石附着、食物嵌塞,这些因素也能刺激牙龈。不良修复体如金属冠边缘伸展不当、充填体的悬突、不合适的矫治器,以及一些口腔不良习惯、恒牙萌出等都可能造成牙龈的损伤和菌斑的滞留堆积而诱发龈炎,加之儿童时期的口腔清洁卫生工作难以完善,因此儿童龈炎较为常见。
国内外调查显示龈炎(gingivitis)在儿童和青少年中较普遍,其患病率(prevalence rate)为70%~90%。龈炎最早可见于3~5岁的儿童,随着年龄的增长其患病率和严重程度也逐渐增加,在青春期达到高峰。青春期后,龈炎的患病率随年龄的增长而缓慢下降。在一些发达国家,随着口腔卫生保健措施的实施和口腔卫生习惯的改善,儿童龈炎的患病率正逐年缓慢下降,但在部分发展中国家,儿童龈炎患病率仍然较高。
2015年第四次全国口腔健康流行病学调查结果显示,全国12岁学生的牙周健康率为41.6%,农村高于城市,女性高于男性。牙龈出血检出率为58.4%,人均有牙龈出血的牙数为4.31颗,城市高于农村,男性高于女性。牙石的检出率为61.3%,农村高于城市,男性高于女性;人均有牙石的牙数为3.79颗,城市高于农村,男性高于女性。全国12~15岁学生的牙龈出血检出率为61.0%,人均有牙龈出血的牙数为4.94颗,城市高于农村,男性高于女性。牙石的检出率为67.3%,农村高于城市,男性高于女性;人均有牙石的牙数为4.90颗,城市高于农村,男性高于女性。全国15岁学生的牙周健康率为34.8%,城市高于农村,女性高于男性;牙龈出血检出率为64.7%,农村高于城市,男性高于女性;人均有牙龈出血的牙数为5.77颗,城市高于农村,男性高于女性;牙石的检出率为73.6%,农村高于城市,男性高于女性;人均有牙石的牙数为6.27颗,城乡没有差异,男性高于女性。牙周袋的检出率为6.5%,人均有4mm及以上牙周袋的牙数为0.19颗,农村高于城市,男性高于女性。附着丧失等于或大于4mm的检出率为0.5%,城乡没有差异,男女也没有差异;人均有4mm及以上附着丧失的牙数为0.01颗,农村高于城市,女性高于男性。
菌斑性龈炎(dental plaque-induced gingivitis)又称边缘性龈炎(marginal gingivitis),是菌斑性牙龈病中最常见的疾病,在1999年牙周病的新分类法中,它属于“仅与牙菌斑有关的龈炎”,牙龈的炎症只位于游离龈和龈乳头,是一种在儿童和青少年中患病率较高的牙龈病。
【病因】
龈缘附近牙面上堆积的牙菌斑是菌斑性龈炎的始动因子,其他如牙结石、不良修复体、牙齿的错位拥挤、口呼吸等因素均可促进菌斑的积聚,引发或加重牙龈的炎症。
【临床表现】
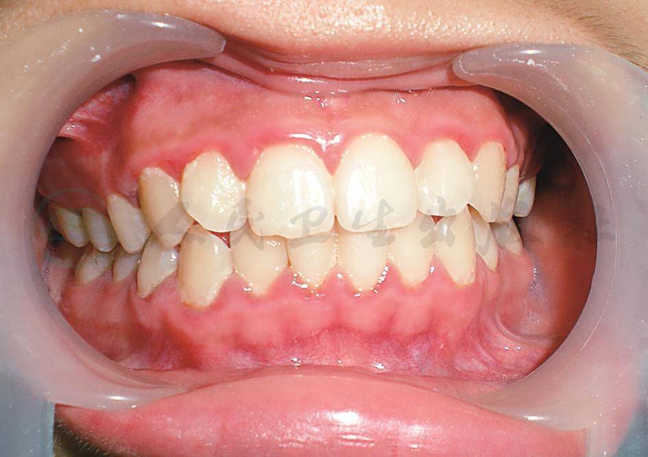
牙龈炎症一般局限于游离龈和龈乳头,以前牙区为主,表现为龈缘和龈乳头红肿(图1),易出血,龈沟液量增多,局部有牙垢和食物残渣附着,一般无自发性出血,而用钝头探针轻探龈沟即可出血,探诊出血(bleeding on probing,BOP)对龈炎的早期诊断有意义。
【诊断】
根据上述主要临床表现,龈缘附近牙面有明显的菌斑、牙石堆积,以及存在牙列拥挤等菌斑滞留因素即可诊断。

图1菌斑性龈炎
患儿,女,13岁,因刷牙出血前来就诊,临床检查表现为上、下颌前牙龈缘红,稍肿
引自:儿童口腔医学(第5版)(第8轮口腔本科规划教材配网络增值服务).第5版.ISBN:978-7-117-28892-7.主编:
【治疗】
彻底清除菌斑、牙石,消除造成菌斑滞留和局部刺激牙龈的因素,帮助患儿掌握正确的刷牙方法,保持口腔清洁。如有口呼吸不良习惯的患儿,应注意检查患儿鼻咽部的疾患,经治疗去除口唇闭锁不全的有关因素,改变其口呼吸习惯。牙列不齐和拥挤引起的菌斑牙石堆积,经矫治和掌握良好的口腔卫生习惯后牙龈炎症会逐渐减轻、消失。
萌出性龈炎(eruption gingivitis)是在乳牙和第一恒磨牙萌出时常可见的暂时性龈炎。
【病因】
牙齿萌出时,牙龈常有异样感,使儿童喜用手指、玩具等触摸或咬嚼,使牙龈黏膜擦伤;牙齿萌出过程中,尚有部分残留的牙龈覆盖于牙面,易因咀嚼咬及而受伤;萌出中在牙冠周围或覆盖牙冠的龈袋内由牙垢、食物等堆积而导致感染。
【临床表现】
正在萌出的牙齿冠周牙龈组织充血,但无明显的自觉症状,随着牙齿的萌出而渐渐自愈。第一恒磨牙萌出时常见冠周红肿(图2),远中龈袋内可有溢脓,患儿诉疼痛,严重时炎症扩散可引起间隙感染、面肿。

图2萌出性龈炎
患儿,男,6岁,定期复查时发现16牙近中舌尖出龈,26牙远中龈瓣呈现水肿外观,覆盖于牙𬌗面的远中
引自:儿童口腔医学(第5版)(第8轮口腔本科规划教材配网络增值服务).第5版.ISBN:978-7-117-28892-7.主编:
【诊断】
患者处于乳牙或恒牙萌出期,牙冠周围的牙龈组织或远中龈瓣充血或红肿,探诊出血,感染较重时可扪及同侧淋巴结肿大等,即可诊断。
【治疗】
轻微的炎症无需特殊处理,改善口腔卫生即可减轻牙龈症状。炎症较重时可用3%的过氧化氢溶液和0.9%的生理盐水冲洗,局部上碘甘油。伴发淋巴结肿大或间隙感染时需要全身应用抗生素进行治疗。萌出性囊肿可以随着牙齿的萌出而消失,影响萌出时可切除部分组织暴露牙冠。
菌斑引起的慢性龈炎在某些全身或局部因素的影响下,其临床表现、组织病理学改变以及疾病转归可发生变化。1999年的牙周病新分类法将菌斑引起的牙龈病分为“仅与菌斑有关的”和“受全身因素影响的牙龈病”,全身因素包括内分泌、血液病、药物等。青春期龈炎(puberty gingivitis,puberty-associated gingivitis)是受内分泌影响的龈炎之一,男女均可患病,女性稍多于男性。
【病因】
1.局部因素
菌斑仍然是青春期龈炎的主要病因。这个年龄段的儿童由于乳恒牙的更替、牙齿排列的暂时性不齐、口呼吸或配戴矫治器等原因,牙齿不容易清洁,加之孩子不易保持良好的口腔卫生习惯,如刷牙不认真、不习惯使用牙线等,容易造成菌斑在牙面及邻面间隙的滞留,引起龈炎的发生,而牙石一般较少。
2.全身因素
青春期儿童体内性激素水平的变化是青春期龈炎发生的全身原因。牙龈是性激素的靶向组织,由于内分泌的改变,牙龈组织对菌斑等局部刺激物的反应性增强,产生较明显的炎症反应,或使原有的慢性龈炎加重。
【临床表现】
本病好发于前牙唇侧的龈乳头和龈缘,唇侧牙龈肿胀明显,龈乳头常呈球状突起,颜色暗红或鲜红,松软发亮,探诊出血明显,龈沟可加深形成龈袋,但附着水平无变化,也无牙槽骨的吸收。舌侧和后牙区牙龈炎症较轻。患儿主诉常为刷牙或咬硬物时出血、口腔有异味等。患儿因害怕刷牙出血而不刷牙,口腔卫生差时病情可加重。
【诊断】
患儿处于青春期,且牙龈的炎症反应较重,主要累及前牙唇侧牙龈,据此,诊断较易。
【治疗】
青春期龈炎反映性激素对牙龈炎症的暂时性增强,青春期过后牙龈炎症可有部分消退,但原有的龈炎不会自然消退。因此,去除局部刺激因素、改善口腔卫生状况仍是青春期龈炎治疗的关键。多数患儿经基础治疗后可痊愈,对个别病程长且牙龈过度肥大增生的患儿,必要时可采用牙龈切除术(gingivectomy),完成治疗后应定期复查,同时教会患儿正确刷牙和控制菌斑的方法,养成良好的口腔卫生习惯。特别是对于准备接受正畸治疗的患儿,在正畸治疗过程中更应进行仔细的牙周检查和预防性洁治,避免正畸过程中由于矫治器或患儿口腔卫生不良造成的对牙周组织的刺激和损伤。
药物性牙龈肥大(drug-induced gingival enlargment)主要是指因长期服用某些药物,如抗癫痫药和免疫抑制剂等所致的牙龈纤维性增生和体积增大。
【病因】
长期服用抗癫痫药苯妥英钠、钙通道阻滞剂、免疫抑制剂等药物是本病发生的主要原因。癫痫患者长期服用苯妥英钠,使原来已有炎症的牙龈组织发生纤维性增生,但药物引起牙龈增生的真正机制目前尚不十分清楚。一般认为牙龈增生肥大的程度与性别、服药剂量、持续用药的时间、血清和唾液中苯妥英钠的浓度均无关系,但也有报道认为牙龈肥大程度与服药剂量有关。另有研究认为药物性牙龈肥大患者的成纤维细胞对苯妥英钠的敏感性增强,易产生增殖性变化,这可能是本病的基因背景,但关于此病的遗传因素尚无定论,有待进一步的探讨。一些用于器官移植或某些自身免疫性疾病患者的免疫抑制剂和钙通道阻滞剂如环孢素、硫氮酮等也可引起药物性牙龈增生。
长期服用苯妥英钠可使原来已有炎症的牙龈发生纤维性增生肥大。有研究表明牙龈增生肥大的程度与原有的炎症程度和口腔卫生状况有明显关系。国内外学者大量的研究认为,局部刺激因素虽不是药物性牙龈肥大的原发因素,但菌斑、牙石、食物嵌塞等引起的牙龈炎症能加速和加重药物性牙龈肥大的发展。
【临床表现】
苯妥英钠所致的牙龈肥大一般开始于服药后的1~6个月内,增生肥大起始于唇颊侧或舌腭侧龈乳头,呈小球状突起于牙龈表面,继而肥大的龈乳头继续增大而互相靠近或相连,并向𬌗向(龈缘)扩展,盖住部分牙面,使牙龈外观发生明显的变化(图3)。肥大增生牙龈的表面呈颗粒状或小叶状。近、远中肥大的龈乳头在牙面相接处呈裂沟状。牙龈增生肥大严重时能使牙齿发生移位、扭转,以致牙列不齐。肥大的牙龈组织一般呈淡粉红色,质地坚韧,略有弹性,不易出血,多数患儿无自觉症状,无疼痛。牙龈肥大的好发区域依次为:上颌前牙唇面最好发,其次是下颌前牙唇面、上颌后牙颊面和下颌后牙颊面。牙龈增生肥大的临床表现与服药的年龄阶段有关。在恒牙萌出前开始服用,牙龈组织增生肥大和纤维化会使恒牙萌出受阻。

图3药物性牙龈肥大
患儿,女,10岁,因癫痫服用苯妥英钠3个月后出现牙龈肥大
引自:儿童口腔医学(第5版)(第8轮口腔本科规划教材配网络增值服务).第5版.ISBN:978-7-117-28892-7.主编:
【诊断】
根据牙龈实质性增生的特点以及长期服用上述药物的历史,对药物性牙龈肥大作出诊断并不困难。
【治疗】
1.去除局部刺激因素
通过洁治刮治术清除菌斑、牙石,并消除一切可能导致菌斑滞留的因素。一些症状较轻的病例,经上述处理后,牙龈肥大可明显好转甚至消退。
2.酌情更换使用引起牙龈增生的药物
对一些病情不允许停药的患儿,需与相关医师协商,考虑更换使用其他药物或与其他药物交替使用,以减轻副作用。
3.局部药物治疗
对于牙龈有明显炎症的患儿,可用3%过氧化氢溶液冲洗龈袋,并可在袋内放置抗菌消炎药物,待炎症减轻后再做进一步的治疗。
4.手术治疗
对于牙龈增生明显,虽经上述治疗,增生牙龈仍不能完全消退者,可采用牙龈切除术及牙龈成形术去除增生的牙龈组织,并修整其外形。手术应选择在全身病情稳定时进行。但术后继续服用相关药物和(或)忽略口腔卫生,较易复发。
5.口腔卫生指导
教会患儿控制菌斑、保持口腔清洁的方法,以减少和避免术后的复发。对于需要长期服用苯妥英钠、环孢素或钙通道阻滞剂的患儿,应在开始用药前先进行口腔检查,消除一切可能引起龈炎的刺激因素,减少本病的发生。
遗传性牙龈纤维瘤病(hereditary gingival fibromatosis)又名家族性(familial)或特发性(idiopathic)牙龈纤维瘤病,为牙龈组织的弥漫性纤维结缔组织增生疾病。此病的发病率很低,Zegarelli和Kutsher报道纽约哥伦比亚大学医学中心在20年以上所见的10万例患者中,确诊此病的仅有20例,未发现有性别差异。
【病因】
病因尚不清楚。有的患儿有家族史,但有的患儿并无家族史,有家族史者可能为常染色体显性或隐性遗传。
【临床表现】
牙龈开始纤维增生可在乳牙萌出时、恒前牙萌出时或恒后牙萌出时,一般开始于恒牙萌出之后,牙龈逐渐增生,可累及全口的牙龈缘、龈乳头和附着龈,甚至达膜龈联合处,但不影响牙槽黏膜。增生的牙龈组织致密而硬,色泽比正常略白(图4)。增生的范围可呈局限性,也可呈广泛性。增生通常为对称性,也有单侧的增生。一般下颌症状轻于上颌,上颌磨牙区、上颌结节部及下颌磨牙区的病变,均为舌腭侧比颊侧明显,其中以上颌磨牙腭侧最为严重。

图4患儿,女,13岁,遗传性牙龈纤维瘤病
(北京大学口腔医学院葛立宏医师提供)
引自:儿童口腔医学(第5版)(第8轮口腔本科规划教材配网络增值服务).第5版.ISBN:978-7-117-28892-7.主编:
【诊断】
根据典型的临床表现,或有家族史,即可作出诊断。无家族史者并不能排除诊断本病。诊断本病时应与药物性牙龈增生和以增生为主要表现的慢性龈炎进行鉴别。
药物性牙龈增生有服药史而无家族史,且牙龈增生主要累及龈缘和龈乳头,较少波及附着龈,而遗传性牙龈纤维瘤病可同时波及龈乳头、游离龈和附着龈。以增生为主要表现的慢性龈炎主要侵犯前牙的龈乳头和龈缘,增生程度相对较轻,覆盖牙冠一般不超过1/3,且多数伴有炎症,局部刺激因素明显,无家族史。
【治疗】
牙龈纤维瘤病的治疗以牙龈成形术为主,切除增生的牙龈并修整成形,以恢复牙龈的生理功能和外观。但是应注意恰当地选择手术的时期。有的医师认为手术越迟,复发机会越少,但过迟手术可影响牙齿的萌出,或造成恒前牙区的开𬌗。在发病后1~2年,或是X线片显示牙齿已萌出于牙槽骨、表面仅为软组织覆盖时手术为宜。7、8岁时行前牙区牙龈切除术,14岁左右行后牙区牙龈切除术,疗效较佳,但该病术后容易复发。
急性龈乳头炎(acute localized papillary gingivitis)是指病损局限于个别牙龈乳头的急性非特异性炎症,是一种较为常见的牙龈急性病损。
【病因】
因儿童乳牙相邻之间为面接触,且存在一定的生理间隙,或乳牙邻面龋的发生,使儿童进食时容易引起食物嵌塞,造成龈乳头的压迫,再加上食物发酵产物的刺激,引起龈乳头的急性炎症。充填体的悬突、预成冠不良的边缘等均可刺激龈乳头,造成龈乳头的急性炎症。
【临床表现】
龈乳头发红肿胀,探触和吸吮时易出血,可有自发性的胀痛感。有时局部可检查到刺激物或邻面龋,去除嵌塞的食物牙龈可有渗血,患牙可有轻叩痛。
【诊断】
单个牙龈乳头出现上述临床表现,不难诊断为本病。
【治疗】
去除嵌塞的食物、充填体的悬突等局部刺激物,去除邻面的菌斑、牙石,局部使用抗菌消炎药物如3%的过氧化氢溶液冲洗等,待龈乳头的急性炎症消退后,彻底去除病因,如消除食物嵌塞的原因、治疗邻面龋和调改不良修复体的边缘等。



