英文名称 :concussion and subluxation;
牙震荡,在牙外伤中发生率为8.4%,最易发生在上颌中切牙,女性多于男性,不慎摔倒是牙震荡发生的主要原因。
牙半脱位,在牙外伤中发生率为28.6%,是牙脱位性损伤中发生率最高的疾病,常与各种类型的牙冠折断同时存在。左上中切牙最易发生半脱位损伤,男性略高于女性,主要致伤原因为暴力。
一、牙震荡
1.临床检查
患者自觉受外伤的牙变长、酸痛,有时咬合明显不适。检查患牙叩痛(±)或(+),无松动或移位,温度测试正常,牙龈沟无渗血。通常没有牙体组织的缺损或折断,有时可伴有牙釉质裂纹。
2.牙髓活力电测试
牙髓活力电测试有反应。
3.X线检查
X线片显示患牙根尖周、牙周间隙正常。
病例1
患者男性,25岁。意外碰伤前牙,自觉咬合不适前来就诊。临床检查:上颌中切牙11和21叩痛(+),无松动,温度测试正常,牙髓活力电测验有反应,牙龈无出血。X线片检查:未见明显异常(图3)。诊断为牙震荡。
A
B
图3 牙震荡及牙震荡X线片
二、牙半脱位
1.临床检查
半脱位的牙齿仍然在正常位置,但是,患者自觉牙松动、不能咬合。临床检查:患牙异常松动,但没有移位,叩诊疼痛,患者不能咬合,牙龈沟渗血。
2.牙髓活力电测验
牙齿开始受到外伤后,测试牙髓活力通常无反应,可能牙髓暂时处于“休克”状态,监测牙髓活力,以后有可能恢复。
3.X线检查
X线片显示牙齿在牙槽窝内的位置正常,牙周间隙一般正常或轻微增宽。
病例2
患者男性,14岁,因摔倒造成上颌前牙损伤。临床检查:上颌切牙11、12和21松动Ⅱ度,无移位,叩痛(-),龈缘沟渗血,牙髓活力电测验无反应。X线片显示:患牙位置正常,牙周膜未见明显异常。诊断为牙半脱位。行牙弓夹板固定术。1个月后复查,X线片显示根周膜未见明显异常,牙髓活力温度测验正常,牙髓活力电测验有反应,叩痛(-)(图4-A、B、C)。
A 牙半脱位
B 牙半脱位X片
C 牙半脱位1个月后复查
图4 牙半脱位
一、牙震荡
单纯牙震荡无需特殊治疗。嘱咐患者不要咬硬物、进软食2周,使患牙得到充分休息。必要时调低对侧咬合,减轻患牙的负担。
复查及预后:监测患牙的牙髓状态,应在1、6、12个月定期复查。若测试牙髓活力阳性,说明牙髓活力正常,无需处理;若测试牙髓活力无反应,牙冠颜色改变,说明牙髓已经坏死,结合X线片检查,应立即行根管治疗术。
二、牙半脱位
治疗原则:检查患牙是否存在咬合创伤,应及时调低对侧牙咬合,嘱咐患者不要咬硬物,进软食2周,减轻患牙负担。对松动的患牙,应行牙周夹板固定术,对于混合牙列应做全口牙列咬合垫,对患牙加以保护。
复查及预后:牙弓夹板固定术2~4周,监测患牙的牙髓状态,应在1、3、6、12个月时定期复查。若牙髓活力电测验有反应,说明牙髓活力正常,无需处理;若牙髓活力电测验无反应,牙冠颜色改变,结合X线片检查,说明牙髓已经坏死,应行根管治疗术。
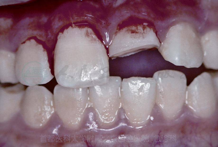
另外,牙半脱位性损伤可单独发生,也可同时伴随其他类型牙损伤。牙半脱位同时伴有冠折;也可以同时伴有根折,通过X线检查确诊(图5)。
A 牙半脱位伴有冠折
B 牙半脱位伴有根折
C 牙半脱位伴有根折X线片
图5 牙半脱位伴有其他损伤



