英文名称 :carcinoma of the maxillary sinus
上颌窦癌以鳞状细胞癌最多,少数为腺癌或肉瘤。
上颌窦癌的发病因素仍与烟草有关,南非班图人发病率较高可能与长期吸烟有关。我们在60年代的一组临床调查也证明,与对照组比较。上颌窦患者大多为吸烟者。
此外,长期吸入粉尘,接触镍、铬等金属元素也被认为与上颌窦癌的发生有关。因此,作为职业性的防护,对木工、制革以及接触上述金属的工人应作为易感人群对待,进行定期检查监护。
以鳞状细胞癌占首位。此外尚有小唾液腺恶性肿瘤、恶性淋巴瘤、骨肉瘤等,但均较少见。
1.X线表现
(1)早期肿瘤较小,未充满窦腔时,可见不规则软组织肿块,伴有窦腔透光度减低,而窦腔骨壁无明显吸收和破坏。
(2)中晚期骨壁侵蚀性破坏是诊断的主要依据:①顶壁破坏表现为眶下缘及眶底骨质缺损,眶下孔消失;②下壁破坏主要为牙槽骨或硬腭的局部溶骨性消失;③外壁破坏表现为轮廓模糊、疏松及斑点状侵蚀;④内壁破坏可见骨壁模糊,同侧鼻腔出现软组织肿块;⑤前壁破坏常伴有软组织肿胀;⑥后壁破坏可见后壁缺如,翼腭窝密度增高。晚期可有广泛骨质破坏。
2.CT表现
(1)平扫:
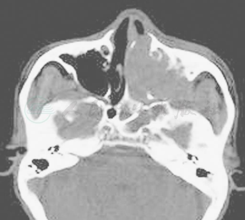
可见鼻腔及鼻窦内不规则等密度软组织肿块,密度较为均匀,边缘模糊,肿瘤较大时可有不规整的斑点状低密度坏死区,肿块中有时可见有残存骨片。90%以上患者有不同程度骨质破坏,最常见为鼻腔内侧壁、外侧壁破坏伴鼻腔内软组织肿块(图3-11)。肿瘤向周围浸润,表现为局限或广泛骨质破坏和软组织肿块,肿块呈侵袭性生长,直接侵犯眼眶、翼腭窝、面部软组织等邻近结构,如上颌窦后方脂肪被肿瘤占据,则表明癌肿侵入颞下窝和翼腭窝。
(2)增强扫描:
可见轻、中度强化。

图3-11左侧上颌窦鳞癌CT表现
左侧上颌窦内软组织肿块伴骨质破坏
3.MRI表现
(1)平扫:
T1WI呈等信号,T2WI呈高信号,信号可均匀或不均匀。
(2)增强扫描:
呈轻到中等程度强化。
上颌窦癌的治疗主要是手术、放射治疗和两者联合的综合治疗。单纯手术或放射治疗5年治愈率均在30%左右,两者联合可提高一倍以上,并主张手术前作放射治疗。
术前作60钴放射治疗,照射剂量为45Gy左右,休息2~3周后手术。如肿瘤仅限于上颌骨下部结构,可保留眶板。后壁或后下壁骨质破坏而翼突无骨质破坏者,可作包括翼突在内的全上颌骨切除术。术式可采用截除喙突,结扎上颌动脉,在翼突根部将其凿开,连同上颌骨一并切除。此术式出血少,术后功能障碍少。对眼球尽量保存,筛窦破坏眼球移位或运动稍受限并非牺牲眼球的依据,但眶板,特别是上颌窦后近眶尖部分或眶底骨膜受肿瘤破坏,可能需要牺牲眼球以获取正常周界。龈颊沟受累侵及颊部软组织者,宜从骨膜外翻开皮瓣,切除的软组织要足够,所遗创面以皮片修复。
上颌骨切除后的骨缺损,可在手术后3~4周以赝复体修复,并在其上作义齿恢复咬合关系。不主张以皮瓣修复上腭缺损,主要是术腔不能清洁而有恶臭,也不利于随诊复查。
颈淋巴结有转移者应作经典性颈清除术。对于N0病例可以考虑作选择性放射治疗。
1.术后患者需要加强营养,从流质、软食逐渐过渡到正常饮食。
2.切缘阳性或颈部淋巴结有转移者。一般术后5周内进行放疗、生物治疗等。放疗剂量需5000cGy以上,如行组织修复者不宜超过7000cGy,以免影响皮瓣的成活。钛网修复上颌骨缺损者可能影响放疗的效果。生物治疗目前越来越受到重视,但疗效慢,需长期使用,如胸腺肽、香菇多糖(天地欣)等。
3.同侧上肢功能锻炼,根治性颈淋巴清扫常常损伤副神经,引起肩下垂和抬肩困难。
4.赝复体治疗术后3~4个月或放疗结束后1个月左右到修复科就诊。
5.定期门诊复查,3个月1次。重点复查局部有无可疑复发灶,颈部有无转移灶,肺部及其他脏器有无远处转移。



