英文名称 :odontogenic myxoma
牙源性黏液瘤(odontogenic myxoma)又称为黏液瘤(myxoma)或黏液纤维瘤(myxofibroma),是一种良性但有局部浸润的肿瘤,较牙源性纤维瘤多见。有关颌骨黏液瘤的组织来源,目前尚无直接证据。但累及骨骼的黏液瘤几乎仅限于颌骨、发生于颌骨的黏液瘤与牙源性间充质组织在形态学上的相似以及肿瘤中有时可见的牙源性上皮剩余,均提示该瘤是牙源性的。
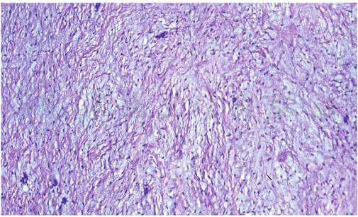
肉眼观肿瘤边界不清,剖面为灰白色,半透明,质脆,富有黏液,常无包膜。镜下见瘤细胞呈梭形或星形,排列疏松,核卵圆形,染色深,偶见不典型核,大小形态不一,但核分裂罕见。瘤细胞间有大量淡蓝色黏液基质,肿瘤有时生长加快,可能是黏液基质堆积的结果。肿瘤内有时见有少量散在的牙源性上皮剩余(图1)。肿瘤内纤维成分多者,又称为纤维黏液瘤。

图1牙源性黏液瘤
瘤细胞呈梭形或星形,排列疏松,瘤细胞间有大量淡蓝色黏液基质
引自:口腔组织病理学(第8版)(第8轮口腔本科规划教材配网络增值服务).第8版.ISBN:978-7-117-29369-3.主编:
此瘤生长缓慢,但可浸润骨组织,甚至穿破骨皮质进入邻近软组织。由于肿瘤呈局部浸润性生长,加之肿瘤本身质脆呈胶冻状,手术不易完全切除,术后易复发,但一般不发生转移。
颌骨黏液瘤的组织来源与牙源性纤维瘤一样,可能来源于牙源性间充质组织。
由于牙源性黏液瘤由于无完整的包膜并具有局部浸润生长的特点,因此应根据不同发病部位,在距肿瘤边缘0.5~1cm 处,施行各类型的截骨术。下颌骨作节段切除后可立即植骨。



