作者
孟焕新
概述
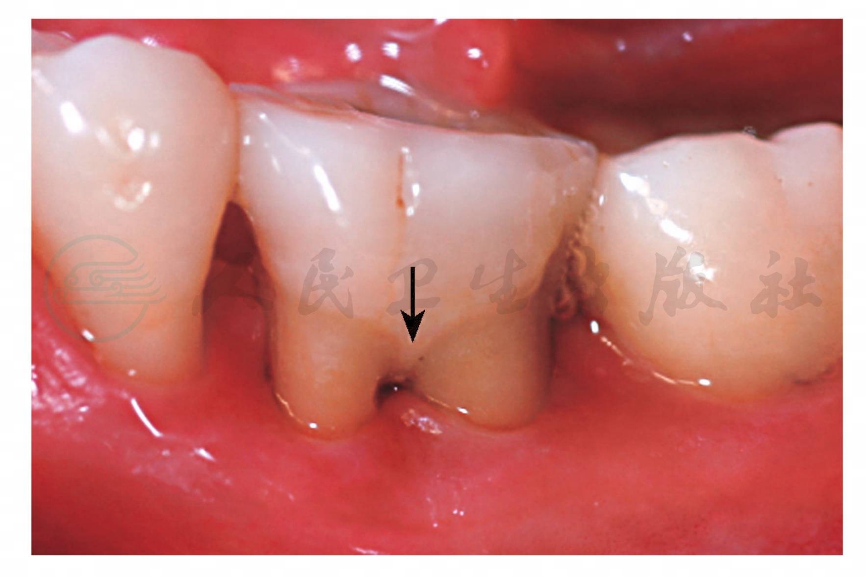
牙釉质在釉牙骨质界的根方异位沉积呈指状突起伸向根分叉处,有的突起还能进入根分叉区内,被称为“颈部釉突(cervical enamel projection)”(图1),是根分叉病变的发病因素。有学者采用探诊、拍根尖X线片、翻瓣等方法观察了78名有根分叉病变的患者,发现有釉突的牙容易发生根分叉区的牙周病变,患病率可达82.5%,因为该处结合上皮的附着易被破坏,而无颈部釉突的磨牙根分叉病变只有17.5%。
釉珠(enamel pearls)的发生率低于釉突,但是也与根分叉病变的病因有关。釉珠的发生率约在1.1%~9.7%。约1/3的釉珠发生在上颌第三磨牙,下颌第三磨牙和上颌第二磨牙次之。

图1牙釉质突起深入到根分叉内
类型
颈部釉突对根分叉的影响取决于突起的范围。1964年,Masters和Hoskins采用的分类法沿用至今(图2),具体分类如下:

图2颈部釉突分型示意图
Ⅰ类 沿釉牙骨质界向根分叉延伸的短而明显的改变。
Ⅱ类 颈部釉突接近分叉区,但无接触。
Ⅲ类 颈部釉突延伸入分叉区。
Roussa发现,Ⅰ类和Ⅲ类突起较常见,下颌第二磨牙的颈部突起较上颌或下颌第一磨牙更常见。
来源
牙周病学,第5版,978-7-117-29371-6,2020.08



