英文名称 :ovarian carcinosarcoma
中文别名 :卵巢恶性中胚叶混合瘤;卵巢米勒管混合瘤
卵巢癌肉瘤(ovarian carcinosarcoma,OCS)又称卵巢恶性中胚叶混合瘤(ovarian malignant mixed mesodermal)或卵巢米勒管混合瘤(ovarian müllerian tumors),约占卵巢恶性肿瘤的1%~2%。是一类侵袭性强、进展快的高度恶性肿瘤,好发于绝经后妇女,平均发病年龄65岁。由于临床极为罕见,尚无大样本的流行病学调查资料,故发病原因及发病高危因素尚不明了。关于卵巢癌肉瘤的组织学来源一直处于争论之中,1988年WHO将卵巢癌肉瘤划分为卵巢内膜样腺癌的一个亚型,属卵巢表面上皮-间质恶性肿瘤。已有研究证实,在不同的培养条件下,癌肉瘤可向上皮、间叶细胞或两种成分共存的方向转化。Ferrandina等报道了1例浆液性卵巢癌患者经化疗后复发为癌肉瘤。但这只是个例样本的报道,目前尚不足以证明卵巢癌肉瘤的发生与某一原因有关。
卵巢癌肉瘤的生物学行为与分化差的卵巢上皮性癌相似,其手术病理分期和转移途径同卵巢上皮性癌。在此不再赘述。
1.大体特征
肿瘤多为实性或囊性,表面不规则,灰白色,多有出血区。切面有时呈实性黄白色区,可见广泛的出血及坏死。大多有盆、腹腔广泛浸润,并伴有血性腹水。
2.镜下特征
与子宫癌肉瘤相似,卵巢癌肉瘤也由恶性上皮成分(腺癌)及肉瘤成分组成,上皮成分主要为分化较差的内膜样腺癌和浆液性腺癌,少数可有黏液性腺癌或透明细胞癌成分。同源性肉瘤成分类似于子宫内膜间质肉瘤、纤维肉瘤或平滑肌肉瘤。异源性肉瘤可含有异源成分,如未成熟软骨组织等。同一肉瘤中可含有单一或多种肉瘤成分,文献研究分析显示异源性癌肉瘤较同源性多见。Sonoda等研究报道,卵巢癌肉瘤的发生与遗传性卵巢癌综合征相似,存在BRCA2等位基因的缺失和TP53基因的突变。
1.常见CT表现
①盆腔较大实性肿物,形态不规则,边缘光滑或毛糙;②血供丰富,增强明显强化;③可见腹腔积液,多伴腹膜种植转移和侵犯邻近器官征象。
2.常见MRI表现
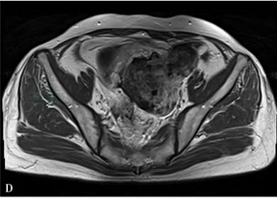
①盆腔较大肿物,形态不规则,边缘光滑或毛糙;②肿块大部分为实性,T1WI为等信号或稍低信号,T2WI为高信号,当病灶合并囊变坏死时,表现为T1WI低信号,T2WI为高亮信号;③增强扫描肿瘤的实性成分显著强化;④可见腹腔积液,早期腹膜及盆腔种植转移和侵犯邻近器官征象。(图1)






图1 卵巢癌肉瘤
A:盆腔内不规则形肿块,边界清楚,部分边缘毛糙,以实性成分为主,T1WI序列呈稍低信号;B:T2WI呈不均匀高信号;C:T2压脂序列呈不均匀高信号;D:不压脂增强扫描明显不均匀强化,内见斑点状未强化区;E、F:压脂增强矢状位及冠状位显示病灶更加清楚
卵巢癌肉瘤是一种恶性程度极高的肿瘤,临床进展迅速,预后极差。由于临床少见,故尚未形成规范化治疗方案。目前对卵巢癌肉瘤的治疗沿用卵巢上皮性癌的治疗方式——手术为主的综合治疗。手术原则同卵巢上皮性癌。
1.手术治疗
手术范围和卵巢上皮性癌一样。早期行全面的分期手术:子宫+双附件+大网膜+阑尾+盆腔淋巴结和腹主动脉旁淋巴结切除术。晚期行肿瘤细胞减灭术,尽最大可能切除肿瘤病灶。
2.化疗和放疗
卵巢癌肉瘤对化疗的敏感性不同于卵巢上皮性癌,最佳的治疗方案仍在探索之中。1994年英国圣玛丽医院调查了1980~1990年间共收治的20例晚期卵巢癌肉瘤患者,将患者分为三组,分别采用单纯手术、单纯化疗以及手术加化疗,结果发现45%的患者在术后1年内死亡,平均生存期14个月,手术联合化疗的综合治疗方案优于单纯手术或单纯化疗。2003年该中心再次调查了1991~2001年间共收治的40例卵巢癌肉瘤患者的临床资料,结果显示32例患者就诊时已属Ⅲ/Ⅳ期。该40例患者均进行了手术治疗,其中仅12例患者接受了满意的肿瘤细胞减灭术,27例(67%)患者术后残余病灶>2cm,40例中32例接受了辅助化疗,其中26例采用以铂类为基础的化疗(单用CBP或联合IFO/ADM等),化疗总有效率为42%,而其他化疗方案的有效率仅为33%。其中有9例患者计划用CBP/IFO联合化疗,但仅1个疗程后就有6例患者因不能耐受毒性反应而停药或改用单纯CBP治疗,这反映出卵巢癌肉瘤患者有更差的身体状况及化疗耐受性。该组患者平均生存期为8.7个月,1年生存率40%,5年生存率仅7.5%。经分析满意的肿瘤细胞减灭术和联用以铂类为基础的化疗可明显改善患者的预后。尽管以往有报道同源性癌肉瘤较异源性预后更差,但此调查中2组患者的平均生存期和1年生存率并无区别。该组患者中尚有5例患者接受了放疗,但无明显疗效,说明放疗对卵巢癌肉瘤的疗效并不确定。
另一组资料来自美国耶鲁大学1993~2004年间22例卵巢癌肉瘤患者临床资料,其中18例接受了满意的肿瘤细胞减灭术(残留病灶<1cm),平均生存期46个月,4例接受了不满意的肿瘤细胞减灭术(残留病灶>1cm),平均生存期只有27个月。6例满意的肿瘤细胞减灭术加术后辅助化疗:DDP(40mg/m2×1d)/IFO[1200mg/(m2×d)× 4d],28天为一周期,平均无瘤生存期13个月,平均生存期51个月,4例患者满意的肿瘤细胞减灭术后辅助化疗:CBP(AUC=5)/taxol(175mg/m2),21天为一疗程,平均无瘤生存期是6个月,平均生存期38个月。DDP/IFO组与CBP/ taxol组在生存期方面无显著性差异(P=0.48)。作者认为卵巢癌肉瘤的治疗应由满意的肿瘤细胞减灭术加化疗完成,最有效的化疗方案为DDP/IFO或CBP/taxol。



