基本信息
英文名称 :exaggerated placental site
中文别名 :超常胎盘部位反应
作者
石一复
英文缩写
EPS
概述
胎盘部位过度反应也称为“逾常胎盘部位”或“超常胎盘部位反应”。是一种妊娠导致的种植部位滋养细胞过度增生的良性病变,也有学者认为可能是一种正常的生理学变异。多发生于正常妊娠及选择性流产后,也可发生于水疱状胎块后,主要表现为产后反复出血,甚至大出血。大体上,难以与正常妊娠区别。
病理学
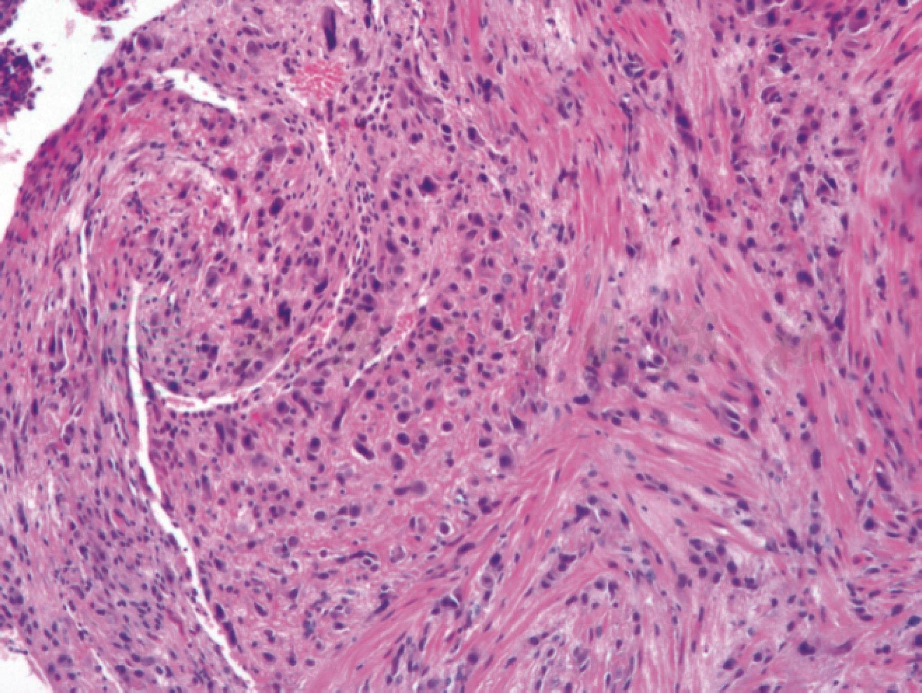
显微镜下:子宫内膜及浅肌层的中间型滋养细胞数量增加,中间滋养细胞呈单个、小巢状、小片状排列,可进入子宫内膜腺体及平滑肌纤维,但不破坏肌纤维。周围常伴有胎盘绒毛(图1)。

图1胎盘部位过度反应
子宫浅肌层中种植部位中间型滋养细胞数量增加,细胞呈单个、小巢状排列。
引自:临床妇产科学.第3版.ISBN:978-7-117-33284-2.主编:
免疫组化
免疫组化染色:增生的中间滋养细胞对HPL、CK等呈现阳性,细胞增生指数(Ki-67)一般<10%。
此内容为收费内容
此内容为收费内容
此内容为收费内容
治疗
本病预后良好,是一种生理过程,不伴葡萄胎一般不会增加妊娠滋养细胞肿瘤的发生率。
来源



