英文名称 :ovarian mucinous borderline tumor
中文别名 :卵巢交界性黏液性囊腺瘤
肿瘤平均直径约为20cm。通常是单侧性,肿物外表面光滑,切面呈多房囊性,囊内含黏液样内容物;囊壁内可见实性区域,提示可能伴有浸润或附壁结节。
【镜下】
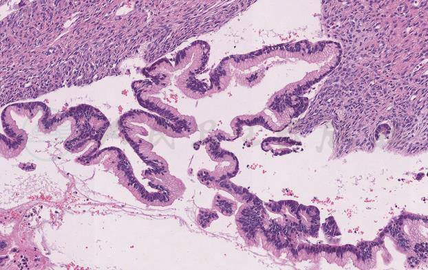
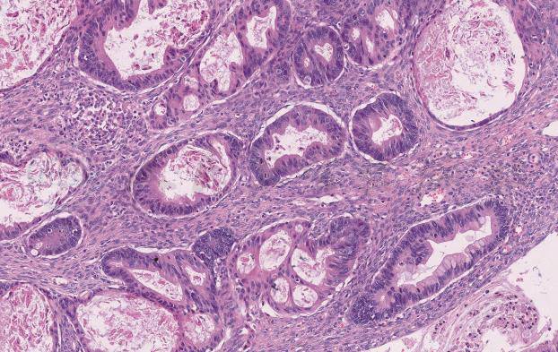
囊肿内衬胃肠型黏液性上皮,细胞复层,呈簇状、绒毛状或细长丝状乳头状排列,无间质浸润,轻度细胞核异型性,核分裂象少见(图1)。增生的黏液上皮超过上皮总体积的10%,则肿瘤可归类为MBT;否则,应诊断为黏液性囊腺瘤伴局灶性上皮增生。如果存在局灶区域上皮有明确恶性的细胞特征,称作“交界性肿瘤合并上皮内癌”(图2)。

图1卵巢黏液性交界性肿瘤(×20)
引自:林巧稚妇科肿瘤学(第5版).第5版.ISBN:978-7-117-38491-9.主编:

图2卵巢黏液性交界性肿瘤伴上皮内癌形成(×20)
引自:林巧稚妇科肿瘤学(第5版).第5版.ISBN:978-7-117-38491-9.主编:
肿瘤可出现附壁结节,附壁结节可表现为反应性肉瘤样、间变性癌或肉瘤,罕见情况下可同时存在。间变性癌通常有丰富的嗜酸性胞质,细胞核高度恶性,CK弥漫强阳性。肉瘤通常为纤维肉瘤或横纹肌肉瘤。良性的反应性肉瘤样结节则通常边界清楚,由梭形细胞、破骨样细胞和急慢性炎症细胞构成,有灶性出血坏死。
【免疫组织化学】
通常阳性表达CK7,CA19-9,也可不同程度表达PAX8、CK20和CDX2。而WT1、napsin A、vimentin、ER 和 PR 通常阴性。p53通常野生型表达。
【分子病理】
30%~75%病例中可见KRAS突变。
以手术为主,需根据临床分期来决定手术范围,应尽量切除一切肉眼所见的肿瘤。注意有无合并腹膜黏液瘤或假黏液瘤,最好同时切除阑尾,术后辅以化疗。



