肿瘤通常大于5cm,切面呈囊性,囊壁内附结节。约1/3的肿瘤为双侧性(微乳头/筛状亚型中更为常见)。
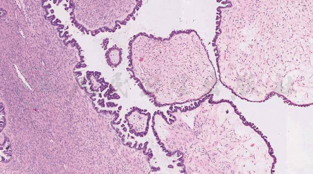
典型SBT的特征是分级分支状乳头结构,乳头表面被覆细胞呈复层排列,细胞具有轻到中度异型性(图1)。如果增生的上皮占肿瘤的比例小于10%,应归类为浆液性囊腺瘤/腺纤维瘤伴局灶性上皮增生;若肿瘤以位于卵巢表面乳头状生长为特征,则可称作表面乳头状浆液性交界性肿瘤。

图1浆液性交界性囊腺瘤
注:肿瘤呈乳头状生长方式,乳头表面被覆复层浆液性上皮细胞,肿瘤细胞轻到中度异型性(×4)。
引自:林巧稚妇科肿瘤学(第5版).第5版.ISBN:978-7-117-38491-9.主编:
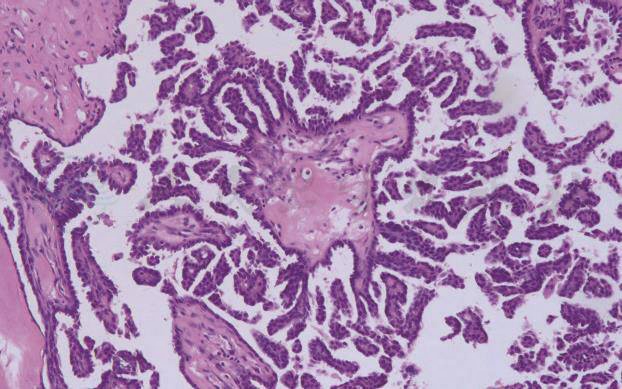
微乳头亚型SBT形态特点是囊壁或粗短乳头表面直接延伸的纤细、无间质的细胞微乳头结构或筛状结构,乳头的长度至少为宽度的5倍,有的区域细胞几乎呈实性或巢状分布,细胞核一致、有小核仁(图2),具有以上生长方式的病变最大径 ≥ 5mm时方可诊断。

图2微乳头亚型浆液性交界性囊腺瘤(×10)
引自:林巧稚妇科肿瘤学(第5版).第5版.ISBN:978-7-117-38491-9.主编:
虽然SBT不是恶性,但约50%的病例常伴有卵巢外扩散。最常见的扩散部位包括盆、腹腔腹膜及淋巴结,大多数病例预后较好,WHO将此种扩散现象称为“种植”,可分为浸润性种植及非浸润性种植。发生浸润性种植时即为低级别浆液性癌,表现为不规则的插入性浸润和微乳头结构;极少数可能伴有高级别癌转化。非浸润性种植可表现为附着在腹膜表面或见于间皮下囊腔内的乳头状结构,常见砂粒体。
SBT可伴有微小浸润或微小浸润性癌形成。微小浸润是指病理形态上在间质内含有嗜酸性胞质的小细胞簇或单个细胞,微小浸润无明显纤维间质反应。如果SBT的间质内出现微乳头状结构,微乳头状结构位于无被覆上皮的腔隙内,且细胞形态学类似低级别浆液性癌(low-grade serous carcinoma,LGSC),病变范围 < 5mm,应将肿瘤归类为SBT伴有微小浸润癌。
通常阳性表达PAX8、CK7、ER/PR、WT1,阴 性 表 达 CK20、HNF1B、napsin A。p53野生型表达,p16呈斑驳阳性。
肿瘤最常见的基因改变为体细胞性KRAS或BRAF突变,BRAF突变更常见于临床Ⅰ期的肿瘤患者组织标本中。



