作者
沈丹华
概述
神经内分泌肿瘤(neuroendocrine neoplasm,NEN)是女性生殖道比较罕见的一类肿瘤,子宫颈是最常见的原发部位。子宫颈神经内分泌肿瘤占所有宫颈癌的不到2%,分为神经内分泌瘤(neuroendocrine tumor,NET)和神经内分泌癌(neuroendocrine carcinoma,NEC)。NET形态学温和,分化较好,包括类癌和非典型类癌,但是在子宫颈极其罕见。NEC异型性明显,包括大细胞神经内分泌癌和小细胞神经内分泌癌,是侵袭性极强的肿瘤,极易累及淋巴结并发远处转移。
病理生理
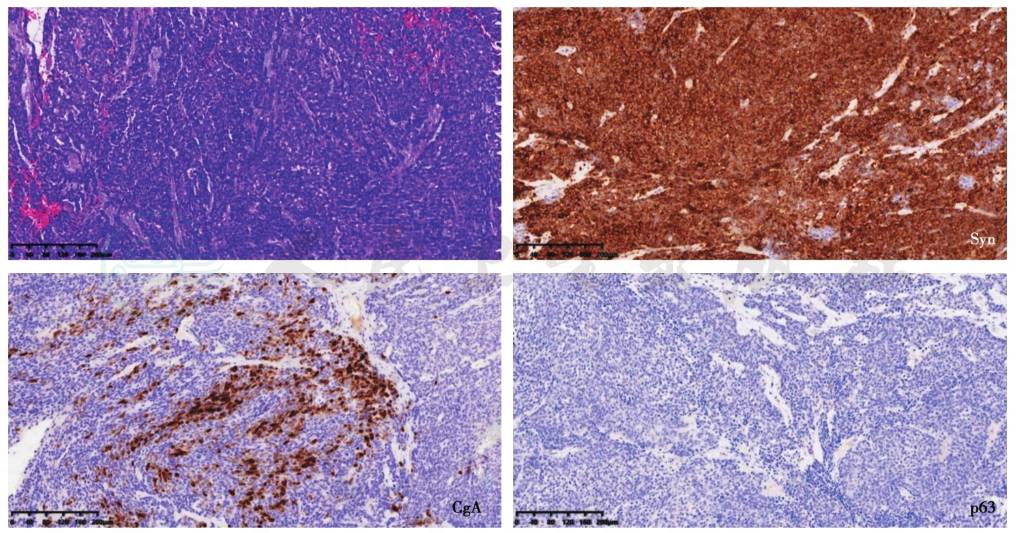
其组织形态学特征与胃肠道和肺的神经内分泌肿瘤相同。具有不同程度的器官样或梁状结构,细胞均匀一致,细胞核体积小至中等大(图1),免疫组织化学示神经内分泌标记Syn、CgA或/和CD56阳性。研究表明,宫颈神经内分泌癌与HPV有关,尤其HPV18,而且p16免疫组织化学染色一般呈阳性。PIK3CA、KRAS和TP53是其最常见的基因突变。

图1子宫颈神经内分泌癌
来源



