宫颈浸润性腺癌约占宫颈癌的15%~25%,80%的病例有异常子宫出血,部分病例会出现阴道排液及疼痛表现。细胞学检查,一些病例可以发现异常。
大体检查时,80%的病例可以在阴道镜下看到宫颈肿物,肿物可以是息肉状,也可以是溃疡性的,少部分病例在宫颈上看不到明确的肿物,但宫颈管壁弥漫性增厚。
组织学上,2003年版WHO分类将宫颈浸润性腺癌分为以下组织学类型(表1)
表1宫颈浸润性腺癌组织学类型(2003年版WHO分类)

1.腺癌,非特殊类型
这型腺癌细胞黏液分泌不明显,腺体结构类似于宫颈内膜腺体的腺癌,称为宫颈内膜腺癌。
2.黏液性腺癌
黏液腺癌是指肿瘤细胞中含有中等到大量胞浆内黏液,腺腔内也可出现明显的黏液,并可进一步分为以下亚型

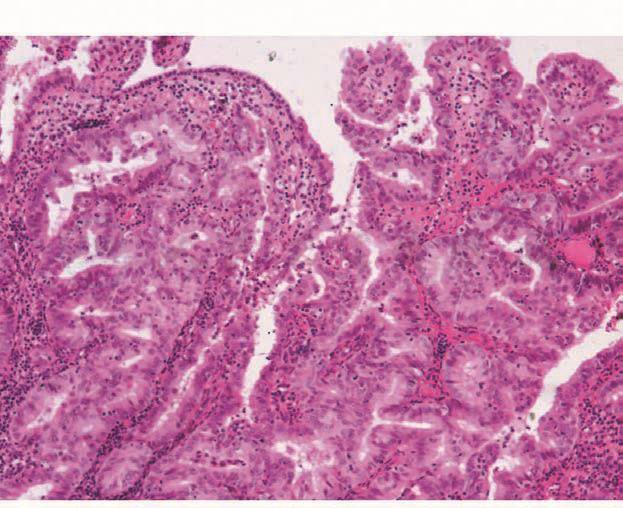
图1宫颈浸润性黏液腺癌
由类似于宫颈黏液腺体组成,细胞胞浆富于黏液,异型腺体浸润宫颈管壁
(1)宫颈型腺癌
是最为常见的腺癌,约占宫颈腺癌的70%。大多数肿瘤中到高度分化,腺体类似于宫颈腺体,细胞胞浆富于黏液,间质中也可出现多少不等的黏液,并可以形成黏液湖(图1)。
(2)肠型腺癌
由类似于结肠腺癌的肿瘤细胞构成,杯状细胞是其特征性的表现,偶有神经内分泌细胞和Paneth细胞。此型黏液腺癌应与结肠腺癌转移到宫颈相鉴别。
(3)印戒细胞癌
宫颈原发性印戒细胞癌非常少见,通常印戒细胞腺癌只是低分化黏液腺癌和腺鳞癌的局部表现。在宫颈发现印戒细胞腺癌首先要除外转移癌。
(4)微偏性腺癌
又称恶性腺瘤(adenoma malignum)。由于细胞分化极好,活检时极易漏诊。
大体上,宫颈质地变硬韧,黏膜表面可出血、质脆及黏液状。切面呈黄色或灰白色。偶尔,囊腔很明显。
显微镜下,大部分区域肿瘤分化极好,与正常宫颈腺体几乎无法区别,核分裂象罕见。但腺体的大小及形状不规整,排列杂乱无章,一些腺体可以呈囊性或在囊腔内有折叠的乳头形成(图2)。部分腺体中有具有一定异型性的上皮细胞。病变腺体侵犯的深度对于诊断至关重要,腺体超出子宫颈正常腺体所在的范围(>8mm)。如果能发现深部的血管和神经周围受到累及,则是诊断微偏性腺癌的重要依据。

图2宫颈微偏性腺癌
显示在宫颈管壁中,出现一些分支状的腺体成分,腺体的大小及形状不规整,排列紊乱
(5)绒毛腺管状腺癌
肿瘤的外观及组织学表现类似于结肠的绒毛状腺瘤。肿瘤由具有纤细的纤维轴心的乳头组成,表面被覆单层或复层的柱状上皮细胞,细胞一般分化较好,核分裂象少见,浸润病灶较为表浅。
3.子宫内膜样腺癌
原发于子宫颈的子宫内膜样腺癌较为罕见。临床、肉眼检查以及组织学形态与普通类型的子宫颈腺癌相似。
诊断原发于子宫颈的子宫内膜样腺癌,应该首先排除子宫体发生的内膜样腺癌侵犯宫颈。
4.透明细胞腺癌
子宫颈的透明细胞腺癌较为少见,部分患者有己烯雌酚(DES)的接触史。与DES相关的透明细胞腺癌,患者较为年轻,可同时伴有阴道腺病和生殖道畸形。肿瘤多发生在子宫颈的外口。而与DES无关的透明细胞腺癌,其大体、临床表现及预后情况与普通型子宫颈腺癌相似。显微镜下,无论是哪一型,子宫颈透明细胞腺癌与女性生殖道其他部位发生的透明细胞腺癌的组织学表现相似。
5.浆液性腺癌(serous adenocarcinoma)
肿瘤的组织形态学表现与发生在卵巢或子宫的浆液性腺癌相同。
由于原发于子宫颈的浆液性腺癌非常少见,因此诊断时一定要除外卵巢、输卵管及子宫原发浆液性腺癌播散至宫颈。
6.中肾腺癌
子宫颈中肾腺癌起源于宫颈壁深部的中肾残件。肿瘤常常发生在宫颈后壁的两侧。显微镜下,肿瘤形态多样。最常见的形态是形成背靠背的小管状结构,管腔内可见嗜酸性或玻璃样的分泌物。此外,还可出现实性、乳头状、裂隙状或筛状结构。



