英文名称 :Squamous cell carcinoma
结膜鳞状细胞癌(Squamous cell carcinoma)是结膜上皮发生的最常见的恶性肿瘤,有统计报告称眼球表面490例恶性肿瘤中,鳞状细胞癌占400例(81.6%),本病多发生于老年人,但亦可见于年轻人,尤其是AIDS患者。部分鳞状细胞癌是由于结膜上皮内瘤变或日光性角化病恶变所致。有些肿瘤伴有人类乳头状瘤病毒16型感染。
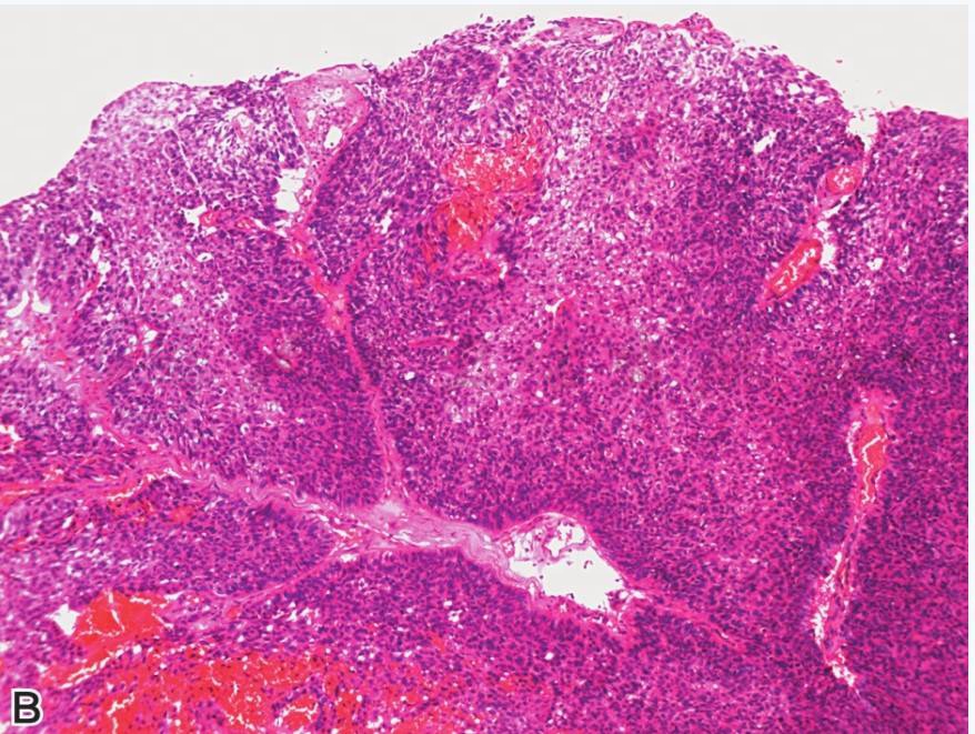
根据肿瘤生长方式,结膜鳞状细胞癌分为乳头状和浸润性鳞状细胞癌两种类型。乳头状鳞状细胞癌比较常见,癌细胞向角结膜表面和结膜囊内生长,形成大小不一的乳头状肿物。浸润性鳞状细胞癌除原位癌改变外,癌细胞突破上皮层基底膜,在结膜上皮下组织中形成大小不一的癌巢、条索或片状肿块。内、外眦部或穹隆部结膜鳞状细胞癌容易向眼眶内蔓延。有些病例癌细胞可通过角巩膜缘侵入眼内生长,有些癌细胞呈梭形,排列紊乱,易误诊为纤维肉瘤或横纹肌肉瘤(图1)。


图1 结膜鳞癌
A.内眦部结膜鳞状上皮细胞癌,肿物呈草莓状,突出眼球表面;B.低分化性鳞状上皮细胞癌HE×200
切除物送病理检查,明确诊断。
手术切除是治疗结膜鳞状细胞癌的主要方法,早期表浅病变,术前裂隙灯检查确定上皮改变和血管充血的部位,术时充分切除肿瘤,若未能完全切除,术后可行冷冻或丝链霉素C局部治疗。对癌组织范围广、浸润部位较深的病例,除做癌组织广泛切除外,必要时作巩膜和角膜浅中层切除,再作角巩膜板层移植。对多次复发的病例,癌组织已累及眼球和眼眶应作眼眶内容物摘除。手术切除后约有53%的病例复发,均由不完全切除所致。对肿瘤边界不清楚,可用冰冻切片监视肿块切除的边缘,以利切除完全,防止复发。
放射治疗可作为辅助疗法,总剂量40~50Gy,可收到良好效果,但可引起放射性结角膜炎和白内障等并发症。



