英文名称 :seborrheic keratosis
中文别名 :基底细胞乳头状瘤;皮脂溢性疣;老年疣
脂溢性角化病曾经称为基底细胞乳头瘤(basal cell papilloma)、老年疣(verruca senilis)或皮脂溢疣(seborrheic warts)。通常是多个淡褐到黑色疣状损害,表面有油脂状鳞屑痂,最常发生于中年以上尤其老人的面部、颈部、胸部、背部及手背等处,但不发生于掌跖部位。有时损害较大,呈圆顶形并有色素,或是表面有脑回状沟纹且损害直径可以大达数厘米。
本病常有家族史,被认为常染色体显性基因所决定的先天性疾病,而出现不一定很晚,一般发生于30~40岁以后。另有人认为本病是一种错构瘤,永久存在而不恶变,可认为是一种良性肿瘤,但极少数患者可伴有纤维-上皮型基底细胞癌。
主要的病理组织变化是表皮过度角化,棘细胞层不规则地肥厚及乳头瘤性增生,但表皮下界整齐,和附近正常表皮的下界几乎在同一平面上。增生的表皮细胞除为正常的棘细胞外,还有类似基底细胞但较小的基底样细胞(basaloid cells)。
组织病理变化可以分为角化型、棘层肥厚型及腺样型,不止一型的组织变化往往存在于同一处损害内。
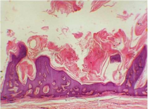
角化型:有明显的角化过度及乳头瘤样增生。增多的角质填塞在表皮扭曲的凹陷部分,有时在切片中呈角质囊肿状,被称为假角质囊肿。大部分表皮细胞是外观正常的棘细胞(鳞状细胞),少数是散在的小群基底样细胞(图1)。

图1脂溢性角化病病理(一)
引自:朱德生皮肤病学.第5版.ISBN:978-7-117-29665-6.主编:
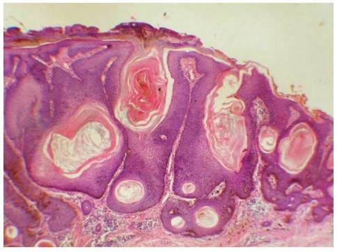
棘层肥厚型:角化过度及乳头瘤性增生的程度较轻,而表皮显著肥厚,增大变长的表皮突间有狭窄的乳头。多数表皮细胞是基底样细胞,有的为鳞状细胞环绕而成细胞巢。假角质囊肿往往不少,表皮内甚至有完全角化的真正角质囊肿(图2)。

图2脂溢性角化病病理(二)
引自:朱德生皮肤病学.第5版.ISBN:978-7-117-29665-6.主编:
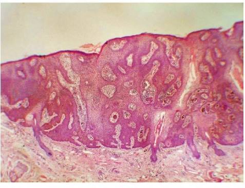
腺样型:表皮细胞束呈细长的枝条状,由两行基底样细胞构成的表皮细胞束,可像腺体。如果腺样型与棘层肥厚型混合存在,则可见到角质囊肿及假角质囊肿(图3)。

图3脂溢性角化病病理(三)
引自:朱德生皮肤病学.第5版.ISBN:978-7-117-29665-6.主编:
各型的黑色素数量不定,以腺样型的色素沉着最显著。
受刺激的脂溢性角化病有特殊的组织变化,不仅在真皮常见淋巴细胞样细胞浸润,而且因鳞状涡常见,曾经被称为基底鳞状细胞性棘皮瘤(basosquamous cell acanthoma),有的组织病理学家认为它是内翻性毛囊角化病。
灰泥角化病的组织学变化为显著角化过度,棘层肥厚的表皮呈教堂塔尖样(山峰)。但脂溢性角化病的角质假囊肿及基底细胞样细胞等特征表现,在本病可不明显或不存在。
激光、电干燥法或液氮的冷冻疗法都可应用,皮损浅薄时可用化学腐蚀剂如三氯醋酸等,或在氯乙烷表面麻醉下施行刮术,损害巨大而明显时可以切除。



