基本信息
英文名称 :acute megakaryoblastic leukemia
作者
许小平
概述
急性原始巨核细胞白血病是指原始巨核细胞≥50%的A ML亚型,即FAB分型中的M7,约占A ML的3%~5%。
病理学
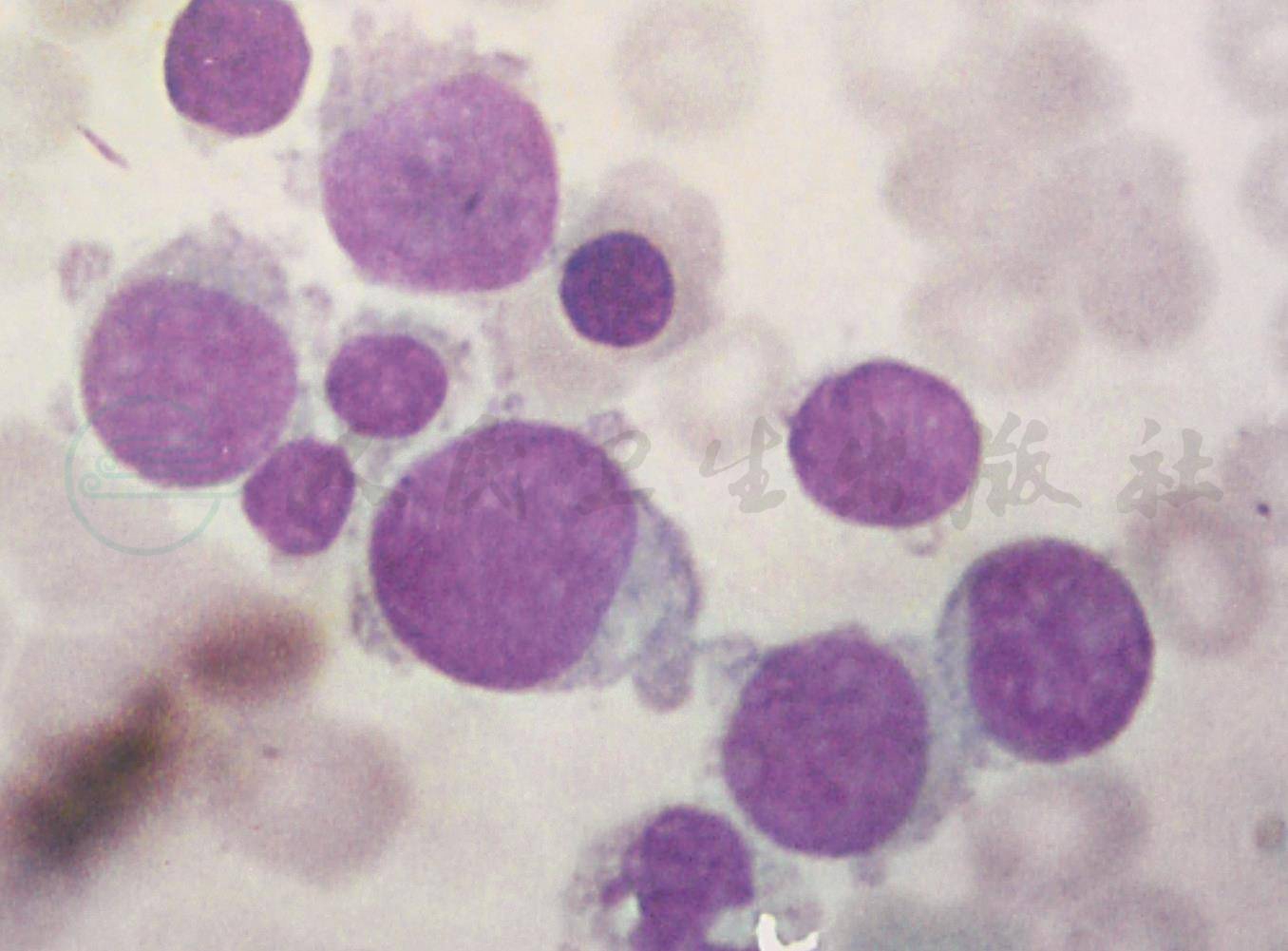
血象(彩图1)
常见全血细胞减少,少数病例血小板正常。血片可见原始巨核细胞、小巨核细胞,易见畸形血小板和巨型血小板,可见幼红细胞。

引自:袖珍血液学图谱.第1版.ISBN:978-7-117-19275-0.主编:
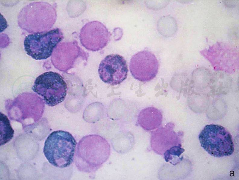
骨髓象(彩图2)
有核细胞增生明显活跃。巨核细胞异常增生,原始细胞≥20%,其中原始巨核细胞>50%。通常原始巨核细胞占有核细胞分类的50%以上。成熟型巨核细胞常见减少,可见小巨核细胞和巨核细胞分裂象,血小板易见,畸形明显,颗粒较多。

引自:袖珍血液学图谱.第1版.ISBN:978-7-117-19275-0.主编:
其他(彩图3)
原始巨核细胞POX(彩图211a)、SBB和CE染色阴性,NAE可呈阳性反应,PAS阳性。细胞免疫化学CD41或CD61染色阳性(彩图211b)。

引自:袖珍血液学图谱.第1版.ISBN:978-7-117-19275-0.主编:
此内容为收费内容
此内容为收费内容
此内容为收费内容
来源
实用内科学,第13版,978-7-117-11864-4,2009.09



