英文名称 :unilateral hyperlucent lung syndrome
中文别名 :Swyer‐james‐Macleod综合征;单侧透明肺
单侧透明肺综合征(unilateralhyperlucentlung syndrome),简称单侧透明肺,也称为Swyer-James-Macleod综合征,是一种少见的独立疾病。临床上以胸部影像学呈某一肺叶或单侧肺有呼气相气体潴留、肺血管纹理稀少、肺体积减少为主要特征。1953年由Swyer和James首先报告,1954年Macleod再次报道了类似患者而得名。
目前单侧透明肺的发病机制尚不清楚,有三种学说。
(一)感染因素
多数学者认为患儿在幼年时期受感染及理化因素刺激,如腺病毒肺炎、麻疹、百日咳、结核,导致细支气管炎、闭塞性细支气管炎,气道闭塞,影响肺泡发育的结果。
(二)先天发育畸形
有学者认为是在先天性肺动脉发育不全基础上,继发支气管和肺部感染,发生闭塞性细支气管炎,进而形成阻塞性肺气肿。由于肺动脉发育不全和肺气肿两种因素使肺透亮度增加。
(三)其他
也有学者认为特发性单侧透明肺的患儿,肺动脉、支气管和肺组织三者均有发育障碍,在此基础上再继发感染后形成。
主要是闭塞性细支气管炎的改变。气道内不同程度的慢性炎症,纤维化损害支气管树,导致远端小气道结构破坏和扩张,肺泡数量减少,肺泡气肿,气体潴留;肺泡间隔的纤维化导致肺微血管床闭塞,毛细血管减少,血管床面积减少,肺血流灌注不足,肺动脉发育受限。由于幼年发病时患肺尚未发育成熟,导致患肺全肺或局部肺泡数量减少,肺血管发育障碍,患肺体积往往较小,甚至形成毁损肺。
(一)X线检查
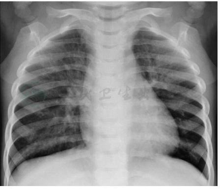
胸部X线片(图1)是本病的主要诊断手段。胸部X线片显示患肺或肺段透光度增加,肺野和肺门偏小,肺纹理稀疏、纤细,有不同程度的支气管扩张。重症患者纵隔向患侧移位。

图1单侧透明肺的胸部X线片
(二)肺部透视
呼吸时患侧肺体积不变或较健侧缩小,同时伴有纵隔摆动。呼气时患侧肺透光度明显大于健侧,肺纹理稀疏,肺野缩小不明显甚至增大,纵隔向健侧移位,提示呼气相气体潴留。
(三)CT检查
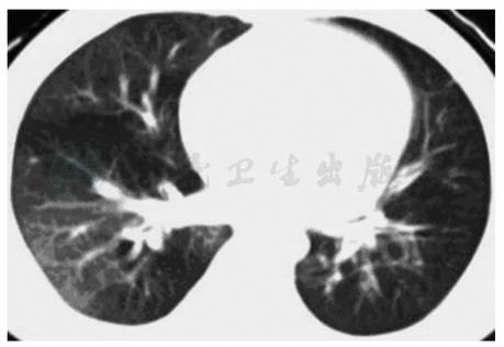
患侧胸廓狭小,表现为胸廓轻度塌陷,肋间隙略窄,纵隔气管轻度偏向患侧。患侧肺透亮度增高,中内带非血管性纹理增强、紊乱,外带纹理稀少,界限分明。患侧肺血管纹理细小、稀少。可有支气管扩张、“马赛克”征等表现(图2)。

图2单侧透明肺的CT表现
(四)放射性核素检查
患侧明显灌注不足,通气显像核素稀疏且排空延迟。
(五)肺动脉造影
患侧肺肺动脉主干细小,周围分支细而小。
(六)肺功能
阻塞性通气功能障碍。
主要决定于临床表现。对一般支气管感染和少量咯血者,主张内科治疗。对感染反复加重或引起重症感染或大咯血时,如仅局限于1~2个肺叶损毁,可考虑肺叶切除术;如仅为大咯血,可行急诊支气管动脉栓塞术治疗。



