英文名称 :congenital aplasia of lung;congenital hypoplasia of lung
先天性肺发育不全(congenital hypoplasia of lung,CPH)是胚胎发育障碍所致的先天性肺、支气管、肺血管发育不良。轻型症状出现较迟,预后较好,重型于生后数小时出现症状,预后差。
病因未完全清楚,可能与父母遗传因素、宫内病毒感染(特别是风疹病毒)、母亲维生素A缺乏、羊水过少、胸腔占位病变等有关。
先天性肺发育不全可发生在全肺、一侧肺或一叶肺。分为三类:①肺不发生(pulmonary agenesis):支气管及肺完全缺如;②肺未发育(pulmonary aplasia):支气管已发生,但未发育,只有退化的支气管,而无肺组织和血管;③肺发育不良(pulmonary hypoplasia):支气管已发育,但较正常小,肺组织和血管也发育不良。
肺未发生表现为肺实质、支气管和肺血管缺如[10]。肺未发育表现为支气管已发生,但未发育,呈囊状结构,并有黏液潴留囊腔内,对侧肺呈代偿性扩张,肺泡数量增加。
肺发育不全表现为不同程度的肺容积缩小,重量减轻,支气管分支和肺泡数量减少,肺动脉系统异常表现为管壁弹性组织减少,肌层增生。可伴有胸廓发育不良,脊柱侧突和膈疝。亦可伴有其他畸形如心血管和肾脏发育不全。
1.胸X线平片
先天性肺未发生或未发育不良在X线平片上类似于肺切除后表现,肺未发育侧胸腔呈均匀一致的致密影,致密影中缺乏充气的肺组织、支气管及血管纹理的痕迹(图1,图2)。剩余的肺呈过度通气伴有心脏及纵隔向患侧移位。同侧膈影不易看到,可借助充气的胃泡影来确定右侧。健侧肺有不同程度的代偿性肺气肿,严重者可形成纵隔疝。
如同时发现有半椎体畸形更有助于先天性肺发育不全的诊断。
部分肺发育不全的胸部平片表现肺野不同程度的充气不良。可见患侧肺容积明显缩小,肺野透光度减低,胸廓塌陷,患侧膈位置上抬,纵隔向患侧移位,而健侧肺过度膨胀。

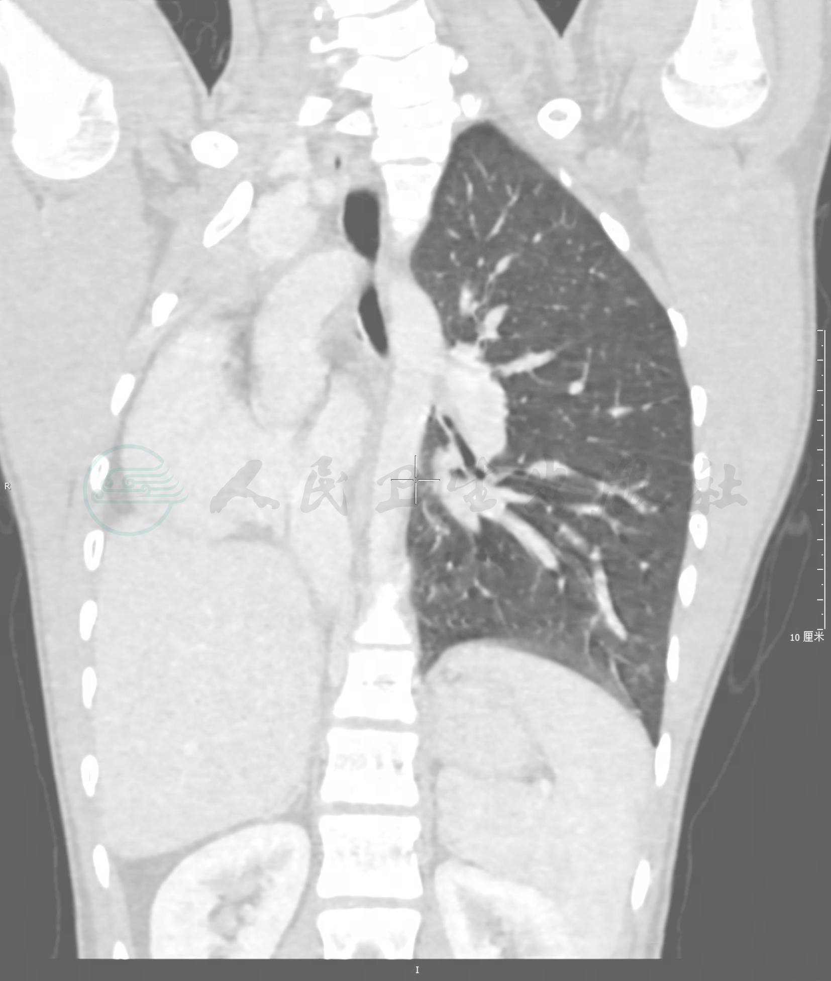
图1肺未发生
患儿男,15岁,以胸壁畸形就诊,右侧胸廓略小,右侧胸腔未见明确右肺组织,右侧肺动静脉均未见显示,右主支气管及分支未见显示,心影纵隔明显右移,心影不大,心脏旋转
引自:实用小儿呼吸病学(第2版).第2版.ISBN:978-7-117-29425-6.主编:

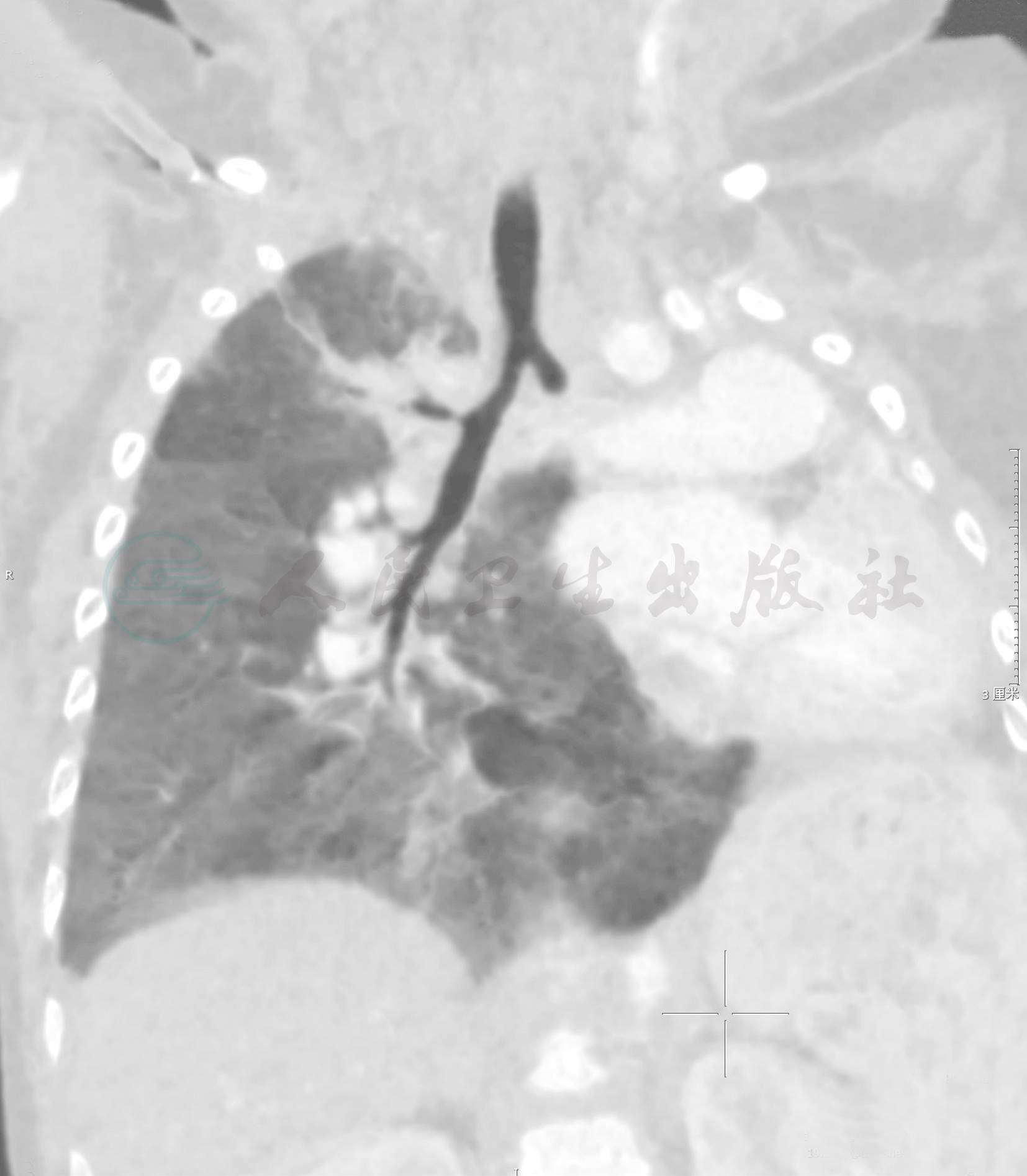
图2肺未发育型
患儿男,7个月,嗓子“呼噜”23天。左侧胸廓较对侧小,未见含气左肺组织影,左主支气管起始处可见,远端呈盲端
引自:实用小儿呼吸病学(第2版).第2版.ISBN:978-7-117-29425-6.主编:
2.肺CT
肺CT及三维成像术可示患侧主支气管缺如或呈盲管状畸形(见图15-4-5)。可以发现轻度的支气管发育不良,有分支缺少畸形。肺增强CT血管造影和心脏彩超可帮助观察肺血管畸形。
3.肺动脉造影
示患侧肺动脉主干缺如或发育不良。
4.肺功能
肺功能显示限制性通气功能障碍,肺顺应性减低和气道阻力增加。
5.血气分析
显示低氧血症而二氧化碳分压正常。
6.支气管镜检查
可发现支气管异常和阻塞。
主要是对症治疗,吸氧、机械通气,或手术治疗。



